文章转载自: Clinic門诊腔内血管 原创 《门诊》杂志
专家简介:胡佳,博士,教授,博士生导师,华西医院心脏大血管外科副主任。主要从事心脏大血管外科临床医疗工作,诊治各类复杂重症成人心脏外科疾病经验较为丰富,并致力于新技术的探索和实施,在心脏瓣膜外科,房颤外科治疗和冠心病外科治疗方面颇有建树,擅长微创胸腔镜瓣膜手术。
升主动脉近端手术后,弓部、远端新发病变再次手术风险依旧存在。2021年1月10日,第十二届阜外主动脉病变治疗研讨会上,来自四川大学华西医院心脏大血管外科胡佳教授针对这一问题,结合文献与病例深入解析。

概 述
A型夹层近端置换术后,约有20%~30%患者主动脉弓部出现瘤样扩张[1]。不过,国外以升主动脉或半弓置换为主,而国内以全弓或象鼻支架为主。就我院治疗情况来看,术后瘤样扩张的发生率在5%~10%,远低于国外的发生率。相关Meta分析[2]也显示,升主动脉置换术后,主动脉再手术率约为2.4/人年。另外,既往心脏开胸手术是发生各类主动脉夹层的重要危险因素[3]。
对于升主动脉近端手术后新发弓部病变的治疗方式,主要包括:传统开胸手术、杂交手术以及全腔内治疗。下文就从这几方面,进行深入探讨。
传统开胸手术
传统开放手术后,再次手术会发现心包粘连分界不清。而且再次开胸手术,术中血管损失风险较大。总之,升主动脉置换术后新发弓部病变传统开放手术风险极大。
复合主动脉弓修复(Hybrid Aortio Repair, HAR)
现如今,较热门的杂交手术(开放手术+介入治疗)可以避免低温停循环/减少体外循环时间;有助于降低脏器、凝血系统功能障碍的风险;主动脉弓部重建更简便;有利于主动脉远端良性重塑。
2020年发表的《杂交技术治疗累及弓部主动脉病变中国专家共识》[4],细化了Hybrid技术分型。其中,Ⅰ/Ⅱ/Ⅲ型杂交同样需要再次开胸。对于二次手术患者,不能降低开胸带来的风险。Ⅳa型还是需要开胸;Ⅳb型可采用杂交手术,避免再次开胸。

图1. Hybird技术分型
全腔内修复
采用全腔内技术重建弓上分支,可采用烟囱支架技术、原位开窗技术或者体外开窗/开槽技术。但这样,可能由于自身升主动脉直径、质量问题,缺乏耐久性稳定的近端锚定区,支架近端也存在逆撕风险。而在升主动脉置换术后,人工血管充当近端稳定,成为可靠的支架近端锚定区。
所以,全腔内修复的优势在于:避免体外循环及神低温停循环;手术创伤小,术中出血少;手术操作简单,手术时间短;近端置换人工血管后安全的锚定区。同样,也存在一定的风险:弹性回直力;弓上分支重建方式,包括:预开窗、原位开窗、烟囱支架,各有缺点和技术难点。
病例分享
病例1(男性,67岁)
主诉:眩晕1月余,胸闷加重10天余。
既往史:高血压、糖尿病。
手术史:28年前行“胰腺坏死组织清除术”;19年前因“升主动脉瘤+AI(重度)”行Wheat手术;10年前行冠状动脉支架植入术。
查体及实验室检查:无特殊。
心脏彩超:(-)。

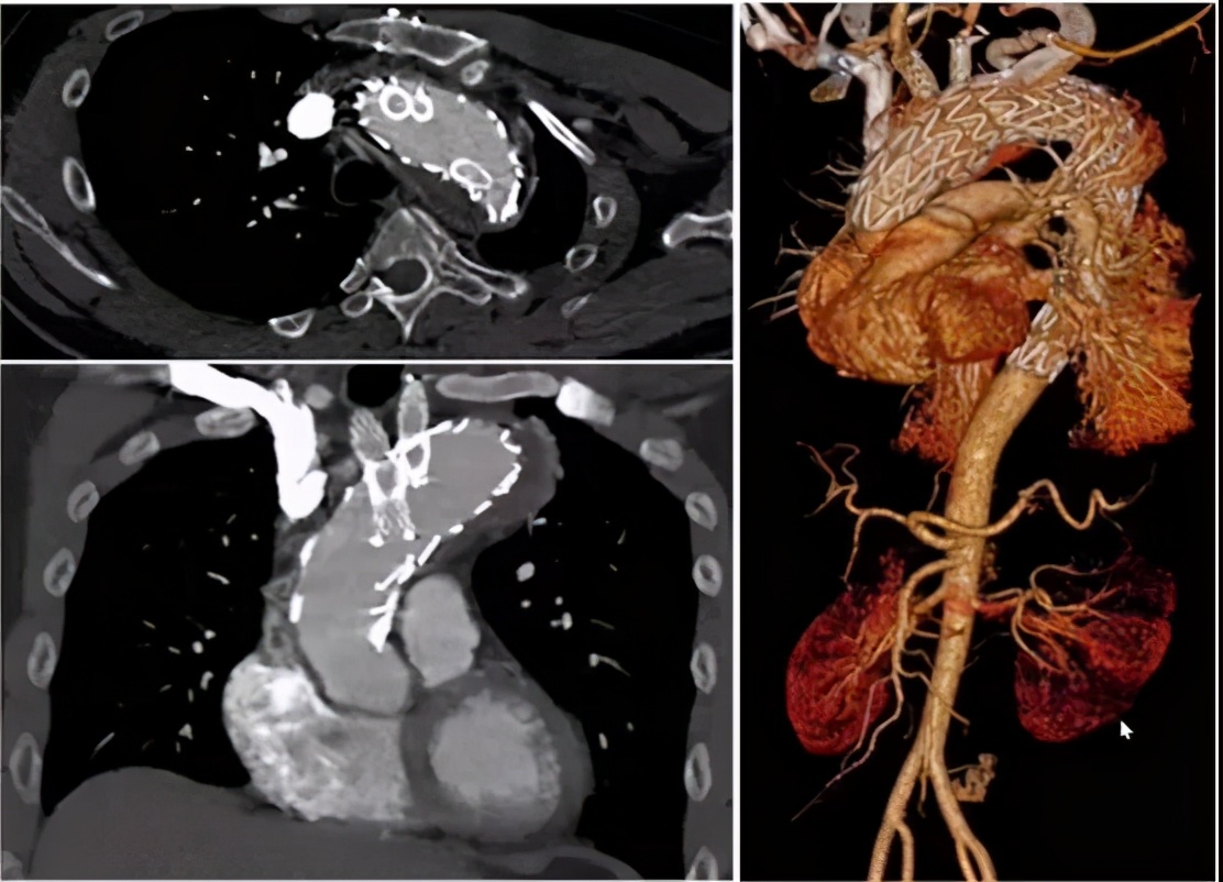
手术策略:弓上三分支原位开窗+主动脉腔内修复术。
手术步骤:股-颈动脉转流;释放远端限制性支架+近端主体支架;无名动脉原位开窗+支架植入;左颈总动脉原位开窗+支架植入;左锁骨下动脉原位开窗+支架植入。

手术要点:注意支架直径的选择与人工血管直径及预计锚定位置的关系;近端锚定区位置判断及预估裸支架位置与人工血管皱褶、冠脉开口的关系;术中超硬导丝的走行,支架输送鞘tip头长度、右冠吻合口及人工瓣膜的保护。
病例2(男性,66岁)
主诉:急性胸背痛1天余。
既往史:高血压。
手术史:5年前因Debakey Ⅱ型夹层行升主动脉置换术。
查体及实验室检查:血肌酐196 umol/L。
心脏彩超:(-)。

手术关注点:弓部动脉瘤原位开窗操作难度大,术中存在较大风险;而如果使用烟囱支架,则内漏风险大。所以,决定行预开窗+体外缝制内分支,增加重建弓上分支成功率,降低术中缺血风险、内漏风险。
手术方法:弓上三分支预开窗+内分支+主动脉腔内修复术。

手术步骤:弓上分支体外预开窗+内分支缝合;释放远端限制支架+近端主体支架;弓上分支支架植入。

病例3(男性,70岁)
主诉:发现主动脉弓部瘤1天。
既往史:高血压。
手术史:16年前因“升主动脉瘤+AI(重度)”行Bentall手术;6月前行白内障手术。
查体及实验室检查:无特殊。
心脏彩超:(-)。

手术关注点:病变部位邻近LCCA,单纯覆盖LSA锚定区不足。IA、LCCA共干,如何重建?避免远期裸支架损失升主动脉壁的风险。
手术方法:IA、LCCA预开窗+LSA原位开窗+主动脉腔内修复术(锚定于升主动脉人工血管内)。
手术步骤:无名动脉、左颈总动脉体外预开窗;释放远端限制支架+近端主体支架;LSA原位开窗+支架植入。

病例4(男性,33岁)
主诉:急性胸背痛3小时。
既往史:高血压、糖尿病、马凡综合征。
手术史:3年前因“升主动脉瘤+AI(重度)”行Bentall手术。
查体:无明确灌注缺血综合征。
实验室检查:无特殊。
心脏彩超:(-)。

手术方法:IA烟囱+LCCA三明治+LSA封堵+LCCA-LSA搭桥+主动脉腔内修复术。
手术步骤:左颈总动脉-左锁骨下动脉搭桥;胸降主动脉支架(Ⅱ)释放到位;无名动脉“烟囱”支架+左颈总动脉支架放置到位,不释放;近心端主动脉支架(Ⅰ)近段+无名动脉“烟囱”支架释放;升主动脉支架(Ⅰ)远端+左颈总动脉“三明治”支架释放;左锁骨下动脉起始部封堵。

术后:全腔内&平行支架技术是否适用于马凡综合征患者的主动脉弓部病变,目前远期效果仍存疑。术后5年随访显示弓部形态良好,远端胸降主动脉&腹主动脉存在扩张趋势。

后期问题
对于这类马凡综合征患者,近端开放/腔内修复术后,术后远端残余夹层率65.2%~77.8%。术后患者主动脉直径及长度逐年增加,原发夹层部位主动脉增速加剧(1~7 mm/年)。10年内再次手术干预率为15%~35.5%。所以,对于这类患者后期,处理好弓部之后,还需要密切关注远端是否发生瘤样扩张,一旦发生积极干预。目前,新的技术还可实现从弓部到胸主动脉远端一体修复(全腔内主动脉修复一体化支架植入)。
结 论
升主动脉近端手术后,弓部、远端新发病变需要再次手术的风险依旧存在。再次开胸手术风险较高,如:心包粘连、血管损失等。已置换的人工血管为全腔内修复提供了理想的近端锚定条件,灵活合理利用现有器械各自特点选用不同技术重建弓上分支。同时,新器械的开发应用使得近远端主动脉一体化治疗成为可能。