年仅4岁的京京(化名)因为发烧前往深圳市儿童医院就诊,结果发现,他的病没有那么简单,医生在他肚子里的囊肿里,取出了1000多毫升的含寄生虫液体。
带虫生活四年
发烧入院找出病因
最近,4岁的京京(化名)生病了:他反复发烧,胃口也不好,时不时还感到憋气、腹胀。看着孩子病怏怏的,家人连忙带着他来看医生。
刚走进诊室,他的肚子就引起了医生的注意。这也难怪:京京才这么点大,胸腔和肚子却高高鼓起,像怀胎6月的孕妇,肚皮上的血管也凸了起来。这不正常。
图片或会引起不适
谨慎选择查看
↓↓

小孩肿胀的胸腔和腹腔。通讯员供图
其实,最近一年以来,京京的爸妈也感觉到孩子的胸廓、肚子比同龄小孩大,但见孩子没有其他症状,以为孩子长身体,是吃撑了。
不过,京京的胃口并不好,时不时哭闹说肚子不舒服,但有时涂了“双飞人”药水,症状就缓解了。心大的家长,也就没太当回事。
详细询问了孩子的症状,检查过他的肚子后,医生心里有种不祥的感觉,当即开了一张CT检查单。
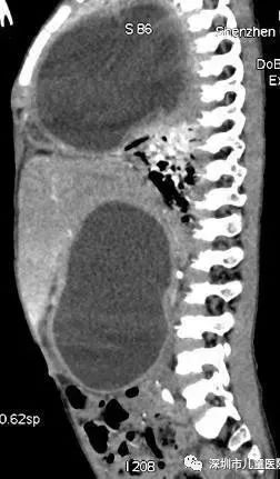
检查结果,让医生倒吸了一口凉气:京京右侧胸腔及右侧腹腔,各有一个巨型囊肿。

手术前,京京胸腹部CT侧面
两处黑色包块状阴影分别为胸腔、腹腔囊肿
图源:深圳市儿童医院
这就像,在他的肚子里塞进了两个“大气球”。正是由于“气球”压迫了肺部,他才会呼吸困难,随时都会有生命危险。
这两个吓人的囊肿,究竟是什么?
经过深圳市儿童医院9个科室的专家会诊,有了初步意见:通过手术清除两个囊肿,先胸部后腹部。但在手术前,要先查清对孩子是否有包虫病。
两个囊肿中抽取的寄生虫液
足足有1000多毫升
如果是包虫病(又称棘球蚴病),这台手术就棘手了。
这是因为,如果是包虫病,囊肿内必然有大量的棘球蚴幼虫。一旦囊壁破裂,囊液中含有的大量棘球蚴会造成胸腔、腹腔感染,同时可能引发过敏性休克,导致死亡。通过进一步的血液结果证实,京京得的就是包虫病。
京京妈妈介绍,孩子11个月大的时候,曾跟随奶奶到*疆新**的姑姑家生活了半年。
医生介绍,包虫病流行区域中,*疆新**地区就是其一。确诊了病情后,一场“恶战”不可避免。手术既要完整剥除包虫内囊,还要保证囊液不能有外渗。这就等于,要从一个鸡蛋里完整地取出蛋黄,还不能让蛋黄和蛋清混了。
这台手术的风险还在于:京京胸部的囊肿太大,一旦切除,纵膈摆动,会有心跳骤停的风险。这是深圳市儿童医院第一例包虫病手术,没有经验可循,手术难度可想而知。经过专家们反复讨论,手术方案最终形成。
做了充分的预案后,手术开始了。尽管有了心理准备,医生们还是“大开眼界”:从两个囊肿里抽取的囊液,竟然足足有1000多毫升。

从肝脏包囊中抽取的部分囊液(里面含大量幼虫)。通讯员供图
手术后,京京恢复良好,目前正进行规范的药物治疗。再过一两个星期,孩子就有望康复出院了。

手术后,从京京胸腔、腹腔囊肿中抽取的囊液被送检。图源:深圳市儿童医院
别小看这个寄生虫
它既能致残又能致命
对生活在内陆和沿海城市的人来说,包虫病并不常见。但在我国西北地区,这个病可谓是家喻户晓。
医生介绍,包虫病,是人感染棘球绦虫的幼虫(棘球蚴)所致的慢性寄生虫病。在整个传播链条中,家犬和狐狸等野生动物是主要传染源。犬因食入病畜内脏而感染。病犬排出的虫卵,污染牧场、水源等自然环境及羊毛等畜产品。人由于与家犬接触,或食入被虫卵污染的水、蔬菜或其他食物而感染。
可别小看这些小虫子。一旦在人体内“筑巢”,这些寄生虫就会在五脏六腑大搞破坏,甚至会在脑部“攻城略地”,向下则“侵略”输尿管、前列腺、卵巢等部位。
因寄生虫的虫种不同
在我国存在的包虫病
可分为两类:
囊型包虫病泡
型包虫病
刚做完手术的京京,得的就是囊型包虫病。一般来说,囊型包虫病的病程缓慢,潜伏期1——30年。多数病人常常没有明显的症状,在体检或因其他疾病手术时发现。
随着包虫囊肿逐渐长大,会开始挤压周围组织器官而出现症状;另机械压迫可使寄生部位周围组织发生萎缩和功能障碍,代谢产物被吸收后, 使周围组织发生炎症和全身过敏反应,严重可致死。
泡型包虫病就更可怕。这个病又被称为“虫癌”,可导致肝癌样病变,是高度致死的疾病。患者不经治疗,10年死亡率可达90%。
包虫病是个世界难题
小小包虫病,还是一个世界性难题。
包虫病呈世界性分布,严重影响家畜、人体的健康,是全球性的重要公共卫生问题。据WHO估计,每年与包虫病相关的治疗费用及对牲畜业造成的损失高达30亿美元。
包虫病有这么几种感染途径:
1、与病犬接触
病犬皮毛上虫卵,可能会污染手,并经口感染
2、食用了含虫卵的不洁食物
如果犬粪中的虫卵污染蔬菜或水源,尤其人畜共饮同一水源,也可造成间接感染;
3、经呼吸道感染
在干旱多风地区,虫卵随风飘扬,也有经呼吸道感染的可能。
不过,大家不用太紧张,包虫病不会造成人际间的传播,也就是说不会人传人。
要提醒的是,最近几年,陆续有养猫养狗者被发现患有包虫病。这可能与近年兴起的宠物热有关。
医生提醒
不过,包虫病是可以预防的,医生提醒,要注意做好这几点:
-
注意个人卫生,勤洗手,不喝生水,不吃未洗干净的水果蔬菜,不吃生肉(比如生食风干牛肉)。
-
避免与宠物之间过度的亲密行为,如嘴对嘴喂食、长期共眠等。
-
避免接触未驱虫的猫犬及其粪便,定期给家犬等宠物服药驱虫、打疫苗。
-
搞好狗狗的卫生管理,防止犬粪污染草场、饲料、水源。不给狗吃家畜的生内脏,肉应完全煮熟后再喂狗,以减少患病的危险。
爸妈们不仅要培养孩子
勤洗手、爱干净的好习惯
还要注意饮食卫生
家中有养猫狗的家长们
更要打理好家中的宠物卫生哦~
来源 南方都市报(nddaily)
新媒体编辑 李杰
版权归原作者所有 如有侵权联系删除
