很多人牙一疼,就想着去医院把牙拔了一了百了,但其实牙齿该不该拔,还得分情况而言。
牙齿疼痛可能是有多种因素引起的,比如 龋齿、牙龈炎、牙周炎 等,很多情况下患牙都是有机会被“拯救”的。

哪些情况下牙齿可以保留?哪些情况下牙齿需要拔除?今天我们就来一起看看吧~
一、哪些牙齿可以保留?
❶ 轻度龋齿
当牙齿有轻微的龋齿时,通常可以通过清洁和填充龋洞来恢复牙齿的健康。

❷ 轻度牙周病
在牙周病的早期阶段,通过定期的牙周治疗和良好的口腔卫生习惯,有可能恢复牙齿的健康。
❸ 轻微牙齿排列问题
对于轻微的牙齿排列问题,可以考虑使用矫正器或牙齿美白等方法来改善,而不是直接拔牙。
❹ 牙根依然稳固的牙齿
如果牙齿虽然摔断了,但牙根仍然稳固,没有出现松动或移位的情况,那么可能不需要拔牙。
在这种情况下,可以考虑进行根管治疗,保留牙根,然后在牙根上进行修复或安装牙冠,以恢复牙齿的功能和美观。
二、哪些牙齿需要拔除?
❶ 严重龋齿
当牙齿龋坏严重,无法通过填充来修复时,可能需要拔除患牙。
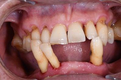
❷ 严重牙周病
当牙周病已经导致牙齿松动严重,无法通过治疗来稳固时,可能需要拔除患牙。

❸ 阻生牙
有些牙齿,如智齿,可能因为生长位置不正常,导致其他牙齿受到压迫或影响口腔健康,这时可能需要拔除。
❹ 反复发炎的牙齿
对于反复发炎、流脓的牙齿,如果无法通过治疗来控制炎症,可能需要考虑拔除。
❺ 严重损坏的 牙齿
如果牙齿摔断的情况比较严重,比如牙冠大部分脱落,或者牙齿出现了松动、移位等情况,这时可能需要进行拔牙。

因为严重损坏的牙齿可能无法进行有效的修复,而且可能会影响到其他牙齿的健康和口腔的正常功能。
需要注意的是,每个人的情况都是不同的,因此在拔牙之前,最好先咨询牙医,了解所有可能的治疗选项,并权衡拔牙的利弊。
三、牙齿频繁疼痛,需要拔牙吗?
这种情况不需要拔牙。
牙疼可能与天气、饮食习惯有关,也可能是由于口腔慢性疾病,如 慢性牙髓炎 导致的。在这种情况下,并不一定需要拔牙。

建议改变饮食习惯, 避免过热、过冷、辛辣等刺激性食物 ,以减少对牙齿的刺激。同时,保持口腔卫生,定期刷牙、使用牙线等,以预防口腔疾病的发生。
如果疼痛持续或加重,建议及时就医,寻求牙医的专业建议和治疗。牙医会根据具体情况,如牙齿疼痛的原因、牙齿的损坏程度等,给出合适的治疗方案。

治疗方式包括 药物治疗、根管治疗、牙齿修复 等,以尽可能保留牙齿并恢复其功能。
总之,大家如果遇到牙疼的情况,千万不要随便找个诊所就把牙拔了,还是得找正规靠谱的医院进行治疗哦!原生牙能保留就尽量保留!