人们说到癌症就会“谈癌色变”,很多医生也都遇到过不少癌症家庭,都说癌症是一个家庭事件,人们现在也逐渐意识到癌症作为一个威胁生命的疾病,为个人和家庭带来了巨大的心理压力。

很多人说到癌症,就知道无论从情感,认知和行为上都会影响到整个家庭,常常能改变整个家庭的生活,计划,感受,经济以及社会性损失,甚至拖垮一个家庭,造成家庭的破碎不堪,以及对家庭成员造成了巨大心理和生活上的压力。
癌症是不是都由炎症引起的?

一般来说,不是所有的癌症都是由炎症引起的,炎症通常情况下是对身体有益的,这是身体抵抗外敌,抵抗病毒和细菌的一种手段。
但有的炎症会损害身体,比如过度炎症和炎症风暴,比如新冠病毒肺炎后的炎症风暴,导致肺部,肝脏和肾脏的器官严重受损。癌症是一种增殖,侵袭和转移失控的恶性细胞,炎症性病变和癌症是两个完全不同的概念。

从“炎症”到“癌症”要用多久?
一般情况下,炎症发展成癌症的过程是比较长的,往往需要10~15年的时间。
但随着社会的快节奏发展,人们承受着巨大的生活压力,经常易怒,生气。从长远时间来考虑,炎症病变的时间会缩短,炎症可能在3~5年内癌变。
很多慢性炎症的过程中,修复再生需细胞增殖,由于细胞分裂较多,使得DNA复制易出错,从而以产生癌细胞,随着微小细胞逐渐积累而产生恶性肿瘤。

而炎症也分为急性和慢性的,急性是身体对有害物质作出的应激反应,只要及时清除炎症物质,身体功能就能恢复正常,慢性的发生跟病毒和微生物感染有关,如果没有及时处理就会发展肠癌变。
哪三种炎症容易发生癌变?要尽早治疗
1、肝炎
当身体出现慢性肝炎之后,比如丙肝或者乙肝,如果没有进行抗病毒的治疗,很有可能就会发展为肝癌,这是一个慢性的过程,有时候是几年,有时候是十几年才会发生癌变。

很多肝炎在进行癌变的时候是病情慢慢恶化,发展到肝硬化,肝脏的损伤在不断加大的时候慢慢产生肝炎,如果病人在肝炎初期引起重视,早点治疗和控制,是避免肝炎癌变的重要措施。
一旦出现肝癌病情就比较重,治疗也相对棘手,死亡率也很高。而肝炎是由很多原因导致的,常见的是病毒性肝炎,比如乙型病毒性肝炎和丙型病毒性肝炎,都有可能会导致肝癌。

所以一定要定期检查患者肝功能和肝炎病毒抗体,还有病毒定量等等,如果出现肝功能异常,就要进一步检查肝脏的影像学。
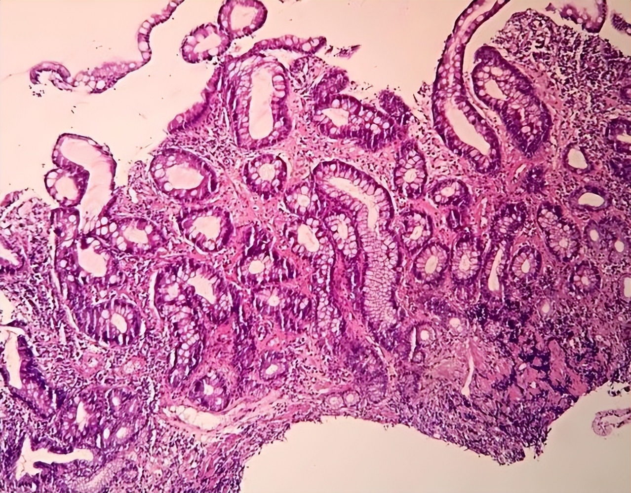
2、胃炎
其实胃炎有很多不同的分类,一般出现的浅表性胃炎,糜烂性胃炎等不会变成胃癌。但是要警惕一种被称为慢性萎缩性胃炎的疾病,这是胃癌的一种危险因素,这种胃炎很容易出现癌变,进化成胃癌。

在日常生活中,很多人不注意自己的饮食卫生生活习惯,就有可能会导致胃部发生胃炎。而萎缩性胃炎是一种特殊形式的胃炎,具有演变成胃癌的风险。
萎缩性胃炎是一种特殊形式的胃炎,它具有演变成胃癌的风险,这种胃炎及组织变化形式是由于胃黏膜组织出现了萎缩性变化,极易导致胃黏膜细胞的突变,从而演变成胃癌。

这种胃炎,萎缩的程度越高和持续时间越长,发展成肿瘤的机会就会越高,萎缩性胃炎有时候会伴随胃黏膜肠上皮化生,这更增加了患胃癌的风险。
萎缩性胃炎很多情况下都没有特殊的症状,症状都非常隐秘,给大夫诊治判断也造成了困难,导致病情在不知不觉中发生变化。虽然大多数种类的胃炎不会变成癌,但一定要注意检查,发生萎缩性胃炎时应及时治疗,防止疾病进一步演化。

3、胰腺炎
胰腺炎大多数都分为急性胰腺炎和慢性胰腺炎。急性胰腺炎通常不会癌变,但是急性胰腺炎反复发作,可能会变成慢性胰腺炎,比如酗酒等可能导致慢性胰腺炎,有一定癌变几率。

通常慢性胰腺炎为迁延性疾病,病情不断加重,导致胰腺纤维化程度不断加深。现在的医学所能做的仅仅是延缓慢性胰腺的进程,慢性胰腺炎随着病情的发展有可能会变成胰腺癌。

有些资料曾经报道过,慢性胰腺炎9年后变成胰腺癌的几率约为1.4%,虽然是大概率还没有明确,但慢性胰腺炎有一定几率癌变,即是胰腺癌高危因素。