
孤立肾是指由于先天发育问题,患者自出生起只有一个肾脏,或者原本有两个肾脏,因为创伤、感染或肿瘤致使一个肾脏被切除或功能完全丧失的情况。肾脏组织不能再生,因此在孤立肾上发生的肾癌,将使医生和患者面对“两难选择”:保留肾功能则难以治疗肿瘤,彻底去除肿瘤可能会导致肾功能完全丧失,患者需要终生透析或肾移植。随着肿瘤微创治疗技术的发展,影像引导下的肾肿瘤热消融治疗为解决此难题提供了新的选择,收到了很好的临床效果。
近日,北京医院泌尿外科收治了一名中年女性,6年前因双肾同时发现肾癌,接受了左肾癌根治性切除术、右侧保留肾单位的肾部分切除术,术后规律复查,1月前 CT扫描发现右肾内出现可疑的肿瘤复发,进一步行磁共振检查发现3处可疑病灶,全身其他部位未见转移。考虑患者仅有一个不完整的肾,又复发了多个小的肾肿瘤,目前肾功能正常,若行根治性肾切除,则必然需要长期透析治疗,严重影响生活质量;若再次行肾肿瘤部分切除术,因为手术区域粘连,同时仅一处复发灶外凸明显,另两处病灶B超定位困难,手术难度极大,难以保证彻底消灭肿瘤。北京医院肿瘤微创治疗中心李晓光主任团队借助CT引导下精准定位技术,对这三处病灶实施一次性经皮穿刺活检同步微波消融治疗。患者仅需俯卧在CT检查床上保持不动,局部麻醉、只有几个穿刺针眼、不到一个小时就达到了彻底灭活3个肿瘤的目的。整个治疗过程中患者没有不适感觉,与医生自如交流,术后第二天,患者即顺利出院。

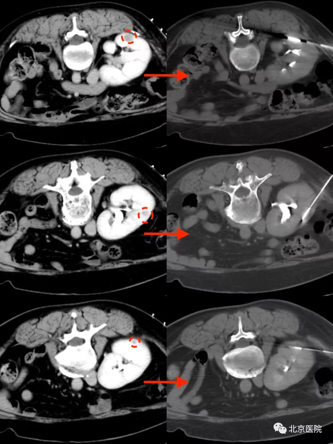
术前增强CT提示三处病灶(左)及术中穿刺定位(右)

消融后复查增强CT,肿瘤区域呈完全低密度显像,并且无增强
肾癌治疗目前仍以根治性切除为主,但手术创伤相对较大,术后肾功能的储备减少,对于晚期肾癌、双侧多发肾癌或孤立肾肾癌、年老体弱者并不适用。目前,无症状性小肾癌的治疗趋向于保留肾功能单位的治疗方法,但是术中也必须阻断肾脏的血管,造成一定时间的热缺血,对患者肾功能或多或少会产生一定的影响,且术后存在肿瘤残留、复发、切缘出血等风险。

理论上所有不超过4cm的小肾癌都适合消融治疗,此外,孤立肾肾癌,肾门部位肾癌、多发性小肾癌(VHL综合征)、年老体弱不能耐受大手术的肾癌患者也可以采用消融治疗。此外,对于血管平滑肌脂肪瘤等良性肾肿瘤,消融也是很好的治疗*器武**。

肾癌在我国泌尿生殖系统肿瘤中占第二位,仅次于膀胱肿瘤,占成人恶性肿瘤的2%~3%,其发病率随年龄增大而升高,有资料显示,肾癌的高发年龄在40~55岁,且目前有越来越年轻化的趋势.手术切除是治疗肾癌的主要方法,包括根治性肾切除术、保留肾单位的肾部分切除术。但本患者因双侧肾癌,已做过一侧肾全切、另一侧肾部分切除,六年后在残余的肾单位内又发现新的三处病灶且两处直径小于1厘米,B超很难定位,所以难以进行常规手术。在过去,只能将患者仅存的宝贵肾组织全部切除,其后半生将要靠永久透析或肾移植来维系。本患者是一中年女性,既是社会职场的中坚力量,更是家庭的中流砥柱。得知肿瘤复发的消息,患者的整个家庭无异于突然遭受了“晴天霹雳”,天空一下子暗淡了下来。通过与泌尿外科同仁深入沟通、制定周密的治疗方案、精心准备、精准操作,北京医院肿瘤微创治疗中心李晓光主任在CT引导下,仅用一根微波针,局麻下精准消灭三个肿瘤,保住了病人仅有的肾功能,还给患者一个“完整的家”。