在很多人的心里,医生大概是不生病的,因为他们天天待在医院,对什么都清楚,自然知道什么时候要生病,也自然知道如何预防。
就像前两天笔者感冒发烧的时候,一朋友打电话来让帮忙找人看病,听到我虚弱无力,欲死欲仙的声音,很奇怪的问:医生也会感冒?
“嗯,医生还会吃饭、睡觉”
一样。。。。。。

但今天要讲的故事,就没有感冒这么轻松了。
一位年轻的外科医生,不到40岁,正在手术中,突然左肾区痛的厉害,直冒冷汗,护士看出医生额头的汗,问:没事吧?
“腰痛,可能是结石,没事,手术完了再去”。
3个小时后手术结束了,腰痛貌似又没那么厉害了,加上年轻医生要在术后处理很多病人的相关事宜。第二天还要继续手术,一直拖到第三天。腰部一直隐隐作痛,这才在出完门诊后来放射科做了CT。
平扫的CT,并没有发现结石。幸运的是,放射科医生直接建议做了增强扫描。
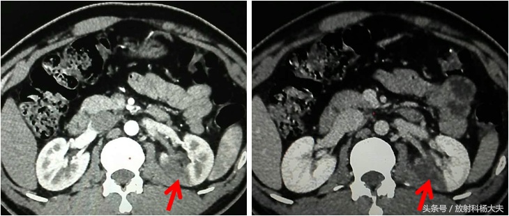
可以看到下图,增强扫描可以看到楔形的低强化区,累及到了肾脏的皮质和髓质,相应区域肾静脉属支也充盈的晚。

看到这些表现,只能想到两种情况。第一种可能是肾盂肾炎,多见于女性,除了肾脏改变,还有肾盂壁增厚,而且肾实质的强化程度不会这么低。第二种可能是:肾梗死。发生在某个小分支动脉因为各种原因堵住了,相应区域的肾实质因为没有血供而发生了坏死。
幸运的是,这位年轻大夫的梗死范围不大,不幸的,已经三天了,这块梗死的肾区域,将来会失去功能。

肾梗死,大家听到的比较少。但脑梗死和心肌梗死,相比大家都很了解。因为那玩意容易致命。
肾梗死,从机理上跟心肌梗死是一样的,供血的动脉堵住了,供血区的组织(在心脏为肌肉,在肾脏为肾实质)因为没有供血,没有氧,就会发生坏死。在心脏,往往表现很凶险,甚至可以致命。而肾脏,一来不太容易发生大的梗死(血供丰富),二来肾脏代偿能力很强,小的梗死也不容易出现问题。在临床上发现的机会就比较少。
什么人容易出现肾梗死呢?
跟心梗类似,比如:房颤、高血压、高血脂等基础病,但也有部分梗死是查不到原因的。