很多患者,特别是肿瘤患者在化疗、放疗、以及许多其它抗肿瘤治疗过程中,都会出现白细胞减少。白细胞低该怎么办?升白针到底该不该打?什么时候打?今天肿瘤科医生来给大家科普一下。
什么是白细胞?

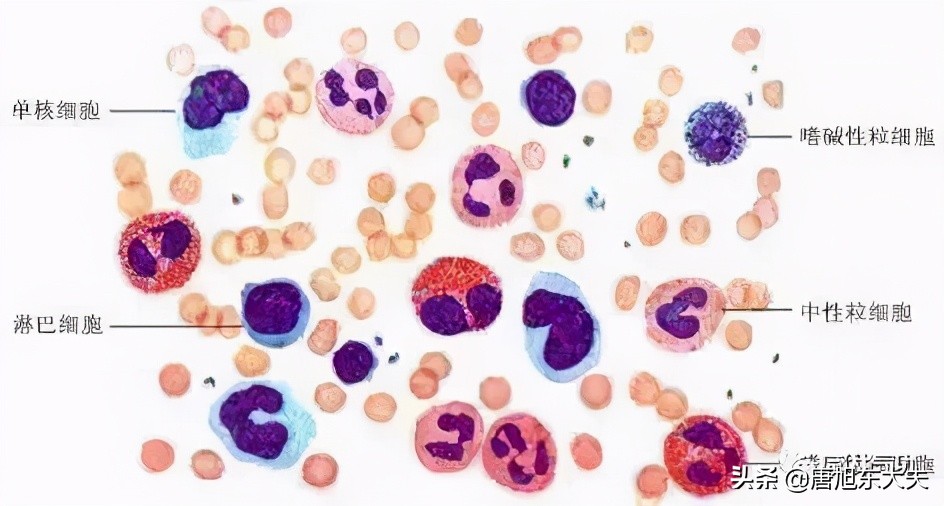
白细胞,是一类无色、球形、有核的血细胞,正常成人白细胞总数为 (4.0~10.0)×10^9/L,可因每日不同时间和机体不同的功能状态而在一定范围内变化。白细胞不是一个均一的细胞群,根据其形态、功能和来源部位可以分为三大类:粒细胞、单核细胞和淋巴细胞,其中粒细胞又可根据胞质中颗粒的染色性质不同,分为中性粒细胞、嗜酸粒细胞和嗜碱粒细胞三种。
正常人体内血细胞的寿命很短,常常需要不断更新补充,因此,作为血细胞前体的干细胞必须快速分裂。而化疗在*伤杀**肿瘤细胞的同时,也对干细胞产生了攻击,快速分裂的干细胞受到了伤害,骨髓的造血功能自然也受到了抑制,俗称 骨髓抑制 。
白细胞平均生存时间最短,约为6-8小时 ,骨髓抑制常最先表现为白细胞下降。白细胞可以提高身体的免疫力,帮助我们预防感染,这也就是为何化疗过后会出现脱发,恶心呕吐,食欲下降等免疫低下的症状。
所以当医生看到你白细胞低下时,会建议你口服升白药、打升白针,就是为了提升白细胞,增强免疫力,为接下去的治疗做准备。
白细胞低了怎么办?

白细胞减少常见的处理办法是, 立即吃上升白药(利血生、芪胶升白胶囊等)。若白细胞数值低于2×10^9/L,或者下个疗程即将开始,但白细胞还未升上来时,可以考虑 选择使用升白针。一般升白针要用到白细胞达到10×10^9/L才停止,因为骨髓抑制尚未恢复,白细胞数值尚不稳定,白细胞升得快降得也快,容易回落。
升白针,即重组人粒细胞集落刺激因子,通过促进患者骨髓里的尚未成熟的干细胞尽快成熟、分化、增殖,并且播散到外周血液里,以提高白细胞的数量。这就好比战场上,年富力强的战士牺牲了,赶紧把村里的少年军训练起来送上战场一样。升白针就能让少年军迅速成长,从而加入战斗。
由于升白针的应用,骨髓加速造血,干细胞快速增长,人体可能会感觉到明显不适,主要表现为全身骨骼、关节、肌肉酸胀疼痛。疼痛通常出现在双髋骨、双肩胛骨等骨髓造血活跃的地方,但 不用特别担心,也不需要止痛治疗,这种感觉在停药后2-3天后会逐渐缓解。
升白细胞吃啥好?

1.荤食类:牛肉、牛肚、黄鳝、海参、鸡肉、鸡蛋、动物肝脏、牛羊猪骨髓等高蛋白食物类。
2.蔬菜类:菠菜、大蒜、洋葱、香菇、银耳、猴头菇、山药、银耳、大枣等高维生素食物类。
3.水果类:木瓜、香蕉、山楂、苹果等各种新鲜的水果及干果。
五红汤:枸杞20粒、红枣5粒、红豆20粒、红皮花生米20粒、红糖半勺(红糖根据个人喜好酌情)、用一个两杯水大的陶罐清洗干净,放适当的水后加盖,然后把陶罐放到有水的锅里蒸煮,等锅里水开后再用小火蒸20分钟即可。
香菇牛肉粥:香菇60克切丝,牛肉30克切丁,粳米50克,加水1000ml,煮到粥熟,再以食油,盐,味精等调料后煮3分钟即可食。适用于白细胞减少伴有体弱倦怠、纳差者。