患者提问:蛀牙补过之后还能正常用吗?能用多久?(患者有两颗蛀牙)
回复:补过之后,是可以正常吃饭使用的,不过注意尽量少用这颗牙吃特别硬或者粘牙的东西,正确使用和保护之下,这颗牙还能使用很久。

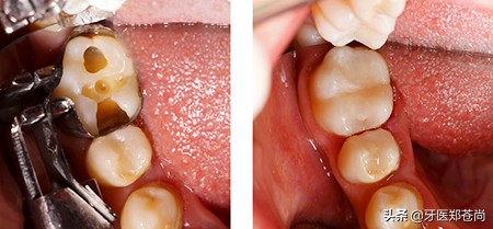
补牙过程
全面检查蛀牙,确定是可以补牙的程度。
消毒后,对蛀牙部分进行去腐,就是把龋坏的牙齿部分用器械清除掉,一般会比实际龋坏部分多清除一点,确保不留龋坏因子,制止龋坏再发展。
修整牙洞洞型后,消毒,方便后面填充补牙材料。
填充补牙材料,修型固化。

补牙后注意事项
刚补完的牙,不要一开始就吃特别硬的东西,让它慢慢适应一下。
坚持做好口腔卫生,补过的牙可以正常刷牙。
如果在使用中,使用不当导致补牙材料脱落了,一定要及时找医生再补上。

两个要点能帮你了解蛀牙
1、去腐、备洞、填充,按照正规操作补牙后的牙齿可以正常使用。
2、补过的牙,需要让它慢慢适应一段时间,然后谨遵医生的嘱咐,正确使用和保护它。