主诉:反酸伴呕吐咖啡色液体5年,加剧2月,再发1天。
现病史:男性,50岁,反酸伴呕吐咖啡色液体5年,加剧2月,再发1天。为非喷射性呕吐,呕吐中带咖啡色液体,1次/周,与进食无关,以晨起及夜间睡眠时明显,2月前呕吐咖啡色液体50ml左右,恶心、反酸加重,服用达喜后症状稍缓解,1天前上腹痛,伴呕吐咖啡色液体4次,量约400ml,伴出冷汗。自发病来食欲、睡眠可,近期体重未见明显变化。
既往史:3年前行胃镜示慢性胃窦炎伴糜烂,否认高血压、糖尿病等疾病。
个人史:吸烟史30余年,30支/天,饮酒史20年,每天100g白酒,戒酒10年。
家族史:无特殊
体格检查:无特殊
辅助检查:
血常规:WBC 14.85*10^9/l,N 77.3%,Hb 152.0g/l,RBC 4.9*10^12/l,PLT 250*10^12/l,CRP 0.5mg/L,ESR 4mm/h(外院)
初步诊断:
1.上消化道出血:消化性溃疡?胃食管反流?
2.慢性浅表性胃炎
入院第1天
患者入院查:电解质正常;血常规:WBC 15.64*10^9/L, N 11.18*10^9/L, N%71.4%,PLT 238.0*10^9/L,RBC 4.97*10^12/L,Hb 153.0g/L;心电图提示:窦性心动过缓,左心室高电压,ST段-T波异常。
第1天处理:给与禁食、耐信(埃索美拉唑钠)40mg 2/日 静滴、口服凝血酶*干粉冻**止血治疗以及补液支持等治疗。
入院第2天
入院第二天安排患者做了胃镜、入院常规的血液化验和心脏超声。
结果回报:
①DIC筛查示:D-二聚体3.78,而正常值是0.55;
②第二天复查的血常规示:WBC 17.79*10^9/L, N 13.44*10^9/L , N% 75.5% , RBC4.77*10^12/L ,PLT 232.0*10^9/L , Hb 148.0g/L ,ESR 15mm/H;
③肿瘤标志物、肝肾功能和心脏超声:正常;
④胃镜示:两条红色的糜烂带,考虑反流性食管炎、食管裂孔疝、慢性浅表性胃窦炎,因此给患者加了达喜(铝碳酸镁)1.0g 3/日 口服。
入院第3天
第三天继续抗酸治疗,给患者做了腹部B超。腹部B超提示:没有肝硬化,只是一些脂肪肝、双肾囊肿、前列腺增生并钙化可能。
入院第4天
虽然住院期间进行积极的抑酸和保护胃黏膜的治疗,而且患者入院反复解了2-3次大便后,查大便隐血仍然持续阳性,有3个“+”号。但是胃镜仅仅提示一个反流性食管炎,似乎不能用反流性食管炎来解释消化道出血,因此进一步安排患者做肠镜检查。
肠镜结果回报:正常;
患者住院期间经过补液支持治疗后,大便颜色转黄了,也没有呕吐咖啡色液体了,似乎出血也是停止了,做了胃镜、肠镜也没有太明显的活动性出血的表现。因此决定让患者择期出院了。出院诊断为胃食管反流病伴出血,似乎这个诊断也能解释患者出血的原因。
入院第5天
但是令人百思不得其解的是,就在患者今天准备出院的早晨出现突发全腹腹痛不适,呈绞痛,中上腹明显,伴腰背部放射,伴头晕、出冷汗,患者胸膝位能缓解症状。当时值班医生急查腹部立位平片,腹部立位平片正常,没有气液平面;复查血常规,还是白细胞和中性粒细胞升高,肝肾功能、电解质及淀粉酶都是正常;血糖3.9。给患者对症处理,用了匹维溴铵(得舒特)解痉治疗,但是解痉治疗后还是有腹痛,而且伴恶心呕吐1次,呕吐物为胃内容物,继续给与匹维溴铵,并加用促动力药莫沙必利等对症治疗。
入院第6天
今日早上患者腹痛有所缓解。
到晚上9:30的时候,患者又出现上腹部腹痛,而且腹痛呈持续性,伴恶心呕吐2次,呕吐呈非喷射状,呕吐物为胃内容物,解黄色水样便一次。夜班医生给与耐信(埃索美拉唑钠)抑酸,得舒特(匹维溴铵)解痉治疗,腹痛不能缓解。再次复查电解质+淀粉酶正常;血常规白细胞和中性粒细胞增高,其他正常。结合患者腹痛、恶心呕吐、水样便,症状很像急性胃肠炎,所以给与左氧氟沙星(左克)抗炎治疗,同时用654-2解痉等治疗。但是患者持续性腹痛没有明显缓解,第7天凌晨2:00夜班医生查体全腹部平软,但是上腹部有一点点轻压痛,无反跳痛,麦氏点无压痛,夜班医师给与654-2解痉处理,但是效果还是不满意。所以做了一个中上腹CT平扫示:肠系膜上动、静脉周围渗出性改变,建议增强扫描。
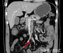
入院第7天
第7天凌晨2:00夜班医生查体全腹部平软,但是上腹部有一点点轻压痛,无反跳痛,麦氏点无压痛,夜班医师给与654-2解痉处理,但是效果还是不满意。所以做了一个中上腹CT平扫示:肠系膜上动、静脉周围渗出性改变,建议增强扫描。第7天早上10:00做中上腹增强CT示:肠系膜上动脉内低密度影,考虑附壁血栓形成,局部管腔重度狭窄。这个时候这个患者的诊断应该来说已经很明确了。于是请了相关科室的医生进行会诊,决定进行经皮选择性肠系膜动脉造影+肠系膜动脉溶栓术。患者溶栓导管行脉冲式注射尿激酶溶栓,患者术后24h出现便血4次,200ml/次。



入院第8-14天
第10天:患者便血量及每日次数逐渐减少,腹痛明显缓解
第12天复查:
大便隐血:(-);
血常规:WBC: 7.18*10^9/L,RBC 4.21*10^12/L,PLT 235.0*10^9/L,N 54.8%, 9/L,Hb 127.0g/L。
第14天:腹痛消失,无便血, 半流质饮食。