引用本文:中国中西医结合学会皮肤性病学专业委员会皮肤影像学组,国家远程医疗与互联网医学中心皮肤科专委会,国家皮肤与免疫疾病临床医学研究中心,等.炎症性皮肤病反射式共聚焦显微镜诊断特征专家共识[J].中国医学前沿杂志(电子版),2019,11(8):34-40.
共识PDF全文*载下**链接:
http://www.yixueqianyan.cn/CN/Y2019/V11/I8/34
相关阅读(点击标题即可查看)
10大权威组织联合发布:中国远程皮肤病学质量控制专家共识
常见的炎症性皮肤病根据其炎症浸润模式主要分为以下9类:①浅层血管周围皮炎;②浅层及深层血管周围皮炎;③血管炎;④界面皮炎;⑤结节性和弥漫性皮炎;⑥间质性皮炎;⑦毛囊炎;⑧水疱性皮炎;⑨脂膜炎。反射式共聚焦显微镜(reflectance confocal microscopy,RCM)评估炎症性皮肤病,减少了传统活检标本因太大、太小或不同疾病阶段对病理诊断的影响,特别是RCM具有轴向扫描、无创、应用方便、动态观察的特点,对炎症性皮肤病的诊断具有一定辅助作用。
炎症性皮肤病在RCM下主要有4种炎症模式:①海绵水肿性皮炎(变态反应性和刺激性接触性皮炎);②角质层和表皮棘层增厚(如银屑病、脂溢性皮炎);③界面改变的疾病(如红斑狼疮、扁平苔藓及变异型皮肌炎等);④非肿瘤性色素性皮肤病(如白癜风和炎症后色素沉着)。炎症性皮肤病可通过RCM特征的主要标准和次要标准进行诊断,其RCM特征与光学显微镜下特征(如海绵水肿、界面改变、棘层肥厚、角化过度及黑素的数量和分布的改变)有高度的一致性。
1 RCM的4种主要炎症模式标准
1.1 海绵水肿 角质形成细胞间距增大、体积变大,伴圆形-多角形低折光细胞(炎性细胞外渗),与周围棘细胞相比折光更暗,表皮有界限清晰的圆形或多房性暗区,中度折光的炎性细胞游入(图1)。

1.2 角质层和表皮棘层增厚 测量表皮角质层顶部零点至真表皮交界处(dermal-epidermal junction,DEJ)的厚度,厚度>60~90 μm(根据解剖部位不同)即为棘层肥厚;测量角质层的最浅层至表皮的第一层细胞层的厚度,总厚度>20~40 μm(根据解剖部位不同)即为角化过度(图2)。

1.3 界面改变 正常DEJ环状结构消失或部分消失,真皮与表皮界限不清,DEJ见圆形-多角形、中低折光的细胞,单个或成簇,局灶或全层,常伴真皮浅层高折光噬色素细胞和中低折光的炎性细胞浸润(图3)。

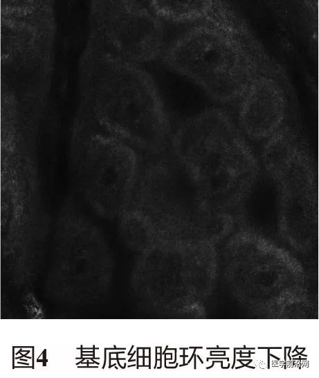
1.4 黑素细胞活性和定量 因黑素细胞损伤,基底细胞环的亮度下降(如界面皮炎)或消失(如白癜风),或因黑素细胞的黑素小体向角质形成细胞转运减少,DEJ和棘细胞层的亮度消失或减少(图4)。

通过评估角质形成细胞的亮度和基底细胞环的亮度评价黑素细胞的活性(图5),但必须在同一深度层面和同一功率水平的基础上比较(色素性皮肤病的改变另做专述)。

2 炎症性皮肤病RCM次要标准
2.1 角质层角化不全 角质层中有中高折光,圆形、卵圆形和/或多边形结构,排列均匀,但单个细胞折光度不均匀。
2.2 颗粒层/棘细胞层
2.2.1 颗粒层变薄/增厚 角质层下方深色核中有明亮的颗粒、较正常角质形成细胞大,蜂窝状结构的细胞层数减少或增加。
2.2.2 表皮萎缩 从表皮角质层顶部零点至DEJ的厚度<60~90 μm(取决于解剖学部位)。
2.2.3 表皮结构不清 棘细胞/颗粒层细胞正常蜂窝状表皮的结构缺失。
2.2.4 坏死角质形成细胞 中度折光,多角形结构,较周围角质形成细胞体积大,看似依附于上皮,位于棘细胞层中,常呈“帽状”。
2.2.5 细胞外渗 棘细胞层中单个或成簇的圆形-多角形低折光细胞。
2.2.6 假上皮瘤样增生 真皮乳头的数量和密度增加,DEJ乳头间皮嵴延长,直径>80 μm。
2.2.7 明亮的鹅卵石 DEJ上丰满的、明亮的角质形成细胞。
2.3 真表皮交界处
2.3.1 无基底细胞环的乳头 DEJ有明确的真皮乳头结构,但无明亮的基底细胞环。
2.3.2 无明确的真皮乳头 无明确可辨的真皮乳头,乳头环不完整、不规则或缺如。
2.3.3 真皮乳头扩张 真皮乳头的直径增大。
2.4 真皮浅层
2.4.1 血管扩张 在DEJ或真皮浅层中明显的圆形至卵圆形黑色区域,其周围轻度折光,薄壁、扩张的管腔,内有白细胞和红细胞流动。
2.4.2 血管新生 薄壁的或细小的线状或匍形性小管腔样结构,内有单个白细胞或红细胞呈线状排列。
2.4.3 真皮炎症 真皮内单个、聚集或弥漫性圆形-多角形低折光细胞。
2.4.4 血管周围炎症 真皮内血管周围圆形-多角形中低折光细胞。
2.4.5 噬色素细胞 真皮内多角形色素颗粒沉积,较炎性细胞大的明亮结构,有时呈短树突状,一般在血管周围,噬色素细胞表现高折光有核的圆盘状细胞,体积偏大。
2.5 附属器炎症
2.5.1 附属器炎症 附属器上皮内和周围见圆形-多角形低折光细胞。
2.5.2 扩张的毛囊漏斗部结构 真皮中低折光的圆形或卵圆形腔,直径增宽至140~190 μm(正常附属器漏斗部直径45~80 μm),RCM切向剖面管腔增大。
2.5.3 毛囊角化过度 附属器漏斗部可见高折光物质。
2.6 真皮纤维增厚 真皮纤维增厚和增加。
3 常见炎症性皮肤病的RCM图像特征
3.1 寻常型银屑病
3.1.1 角质层和颗粒层 角化不全(图6);角质层厚度>20~40 μm,见Munro微脓肿(图7)。颗粒层消失或减少。


3.1.2 棘层 不同程度的棘层肥厚,厚度可达100~300 μm。伴程度较轻的灶性海绵水肿,可见Kogoj微脓肿及真皮乳头上顶(图8)。

3.1.3 DEJ 见成簇分布的、显著扩大的真皮乳头(图9)。
不同时期银屑病的RCM图像特征不同:
(1)进展期:棘层和真皮浅层炎性细胞浸润数量更多,Munro和Kogoj微脓肿数量增多;真皮乳头扩张显著,迂曲的血管管径更大,管腔内可见流动的、高折光、分叶核细胞。
(2)稳定期:角化不全面积缩小;棘层较周围正常皮肤肥厚;真皮乳头较周围正常皮肤扩大,毛细血管迂曲扩张程度减轻,炎性细胞浸润减少(图10)。
(3)消退期:炎症基本消退,见色素减退或沉着(图11)。



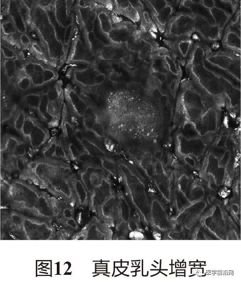
3.2 光泽苔藓 表皮萎缩变薄,真皮乳头增宽(图12),基底细胞环模糊(图13),中央可见不等量高折光的噬黑素细胞及其他较为致密的中低折光混合炎性细胞浸润(图14)。



3.3 硬化性苔藓 毛囊漏斗部扩张,内含高折光角化性物质(图15);角质层增厚(图16);表皮萎缩变薄,基底细胞环缺失,皮突变平;表皮与真皮界面模糊,DEJ、真皮浅层可见不等量高折光噬黑素细胞及低折光单一核细胞为主的炎性细胞浸润(图17~图19);真皮浅层胶原均质化(图20)。






3.4 扁平苔藓 角化过度,颗粒层局灶性楔形增厚(图21),棘细胞层不规则增厚。DEJ模糊,基底细胞液化变性,真皮乳头及浅层可见大量高折光的噬黑素细胞及以单一核细胞为主的中低折光的炎性细胞呈片状浸润(图22~图24)。




3.5 玫瑰糠疹 局灶性角化不全或无角化不全。棘细胞层轻度海绵水肿,可见明显的低折光区域。真皮浅层毛细血管周围折光度降低,稀疏低折光单一核炎性细胞浸润(图25)。

3.6 接触性皮炎 表皮轻度增厚,表皮蜂窝状结构低折光,棘层海绵水肿,有时可有表皮内水疱,水疱中可见中低折光的单一核炎性细胞移入,真皮浅层血管扩张充血,血管周围低折光的炎性细胞浸润(图26)。

3.7 盘状红斑狼疮 DEJ界限模糊,毛囊漏斗部-真皮界限模糊(图27、图28)。真皮浅深层血管及其附属器周围可见不等量高折光的噬黑素细胞及中低折光的单一核细胞为主的炎性细胞浸润(图29~图31)。急性期可见真皮乳头水肿,黏蛋白沉积(真皮病变处折光性低于正常皮处)等。慢性期见毛囊漏斗部扩张,内含高折光角化性物质,表皮萎缩,表皮厚度低于正常皮。





4 小结
根据RCM成像原理,炎症性皮肤病主要的4种模式中RCM的主要标准和次要标准与其相对应的组织病理改变有较好的一致性,其实时、动态、无创的特点对临床中最常见的炎症性皮肤病的鉴别诊断和病情评估具有较高的临床应用价值,可以结合皮损、病史等综合判断和评估病情。
参与共识编写人员(按姓氏笔画排序):
刘 洁 中国医学科学院北京协和医院
刘华绪 山东省皮肤病性病防治研究所,山东第一医科大学
李 航 北京大学第一医院
邹先彪 中国人民解放军总医院第四医学中心
辛琳琳 山东第一医科大学第一附属医院(山东省千佛山医院)
陈红英 武汉市第一医院
陈柳青 武汉市第一医院
孟如松 中国人民解放军空军特*医色**学中心皮肤病医院
姜 倩 武汉市第一医院
顾 军 海军军医大学长海医院
陶 娟 华中科技大学同济医学院附属协和医院
崔 勇 中日友好医院
温 海 海军军医大学长征医院
执笔人:陈柳青 姜 倩
参考文献(略)