临床工作中,我们经常会遇到“两难问题”,当病人出现某种病症,不处理可能有生命威胁和严重后果,但处理之后一个问题解决之后,可能会产生另一个问题需要纠正和处理,而新问题往往被我们忽略或者没有充分认识。因此在我们做决策的时候,还是要慎重选择,但有时候问题来了猝不及防没有时间给我们选择,那就需要我们对生命的复杂性给予充分的理解。接下来给大家讲一个最近我们遇到的一位老年患者连续遇到了两个“两难问题,但还好问题一一解决了,老爷子也终于健康地出院了。
患者是一个91岁的男性,因为“胸闷气急伴咳嗽2月”入院。2个月前患者因为突发黑蒙晕厥送到某三甲医院,心电图显示房颤伴快慢综合征,因此安装了起搏器。但奇怪的事是装完起搏器后没多久,患者出现了胸闷和气急症状,以及咳嗽、咯白痰,但患者没有在意,也没有及时就诊。在此次入院前一周患者受凉后出现发热,胸闷气急症状加重,胃口差进食减少,患者自行服用头孢抗菌素无效,精神状态变差,被其家人送入急诊。患者既往有高血压病史数十余年,服用“络活喜 1片 QD”,血压控制不详。入院查体:体温37.6℃,血压:157/80mmhg,心率108次/分,R:24次/分,精神软,表情淡漠,口唇紫绀,全身皮肤粘膜未见黄染,浅表淋巴结未及肿大,颈静脉充盈轻度怒张。两下肺叩诊实音,两肺可闻及散在湿啰音。心率112次/分,律不齐,未闻及病理性杂音。腹平软,无明显压痛及跳痛及肌紧张,腹部移动性浊音阴性,双下肢中度水肿,左下肢较剧。神经系统检查无异常。
入院后完善检查,血常规:白细胞 13.7*109/L,中性粒细胞 90.2%,淋巴细胞 6.9%,超敏C反应蛋白 215mg/L;生化:总蛋白64.9g/L,白蛋白26.8g/L,总胆红素 23.5μmol/L,尿素 10.23mmol/L,肌酐 119μmol/L,葡萄糖 6.81mmol/L,钠 159mmol/L,氯 113mmol/L;胸水总蛋白18.4g/L,葡萄糖8.46mmol/L,101U/L;N端脑钠肽前体(NT-proBNP)8510pg/ml。血气分析示酸碱度7.5,二氧化碳分压42.3mmHg,氧分压78.0mmHg,实际碳酸氢根32.7mmol/L,标准碳酸氢根.32.4mmol/L。
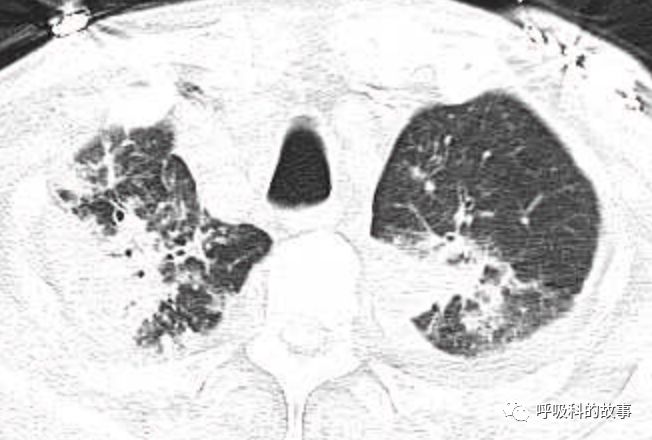
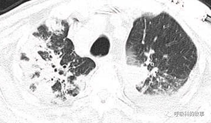
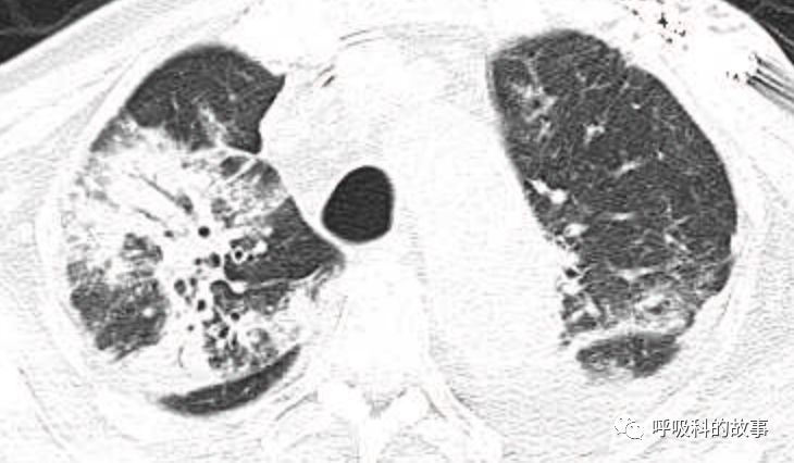
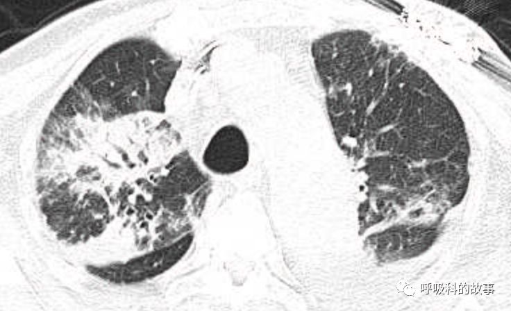
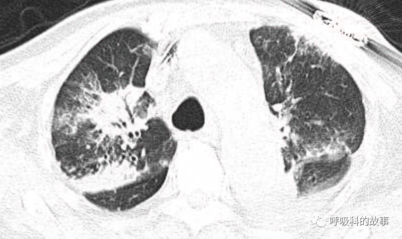
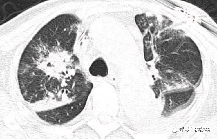
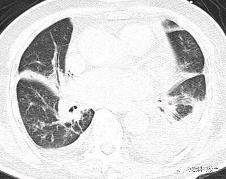
肺部CT如下:


















以上的CT给我第一眼的感觉是肺炎,再结合患者有发热和血炎症指标明显增高,肺炎的诊断应该没有问题,但是胸水又是漏出液,结合脑钠肽增高和患者有胸闷气急的症状,心功能不全的诊断也能成立。在某些层面,肺部实变影以内中带为主,还要考虑肺水肿的诊断。入院后给予患者美罗培南抗感染、托拉塞米利尿治疗,以及化痰、雾化处理,患者体温在入院后三天就正常了,入院第五天复查NT-proBNP3390pg/ml;血常规示白细胞 13.5*10^9/L,中性粒细胞81.8%,淋巴细胞13.2%,超敏C-反应蛋白 25mg/L;电解质示钠 160mmol/L,氯 111mmol/L 。虽然炎症指标和心功能指标均有好转,但患者却仍旧精神差,每次查房时仍然表现嗜睡状,家属也反映患者不论白天还是夜晚多数时间不是太清醒。那么问题出在哪里呢?
在认真分析病情后,我们发现患者血钠入院以后一直偏高,而高钠血症也同样会引起精神症状,原因是高钠血症时细胞外液渗透压增高,水从细胞内向细胞外转移,造成细胞内脱水和细胞皱缩。原本钠可以向细胞内转移,但是细胞膜上的钠离子-钾离子泵限制了细胞内钠离子进一步增高。这就导致了细胞严重脱水,这反映在脑细胞上更加明显。因此高钠血症的主要表现是神经系统异常,表现为嗜睡、易激动,随后还会出现震颤和共济失调。
问题又来了,什么原因导致患者的高钠血症呢?我们要如何处理呢?
高钠血症的原因可以分为低容性高钠血症、等容性高钠血症和高容性高钠血症,详见下图:

针对本患者,因为肺炎导致进食和饮水减少可能是主要原因,其次是因为心功能不全给予了襻利尿剂(托拉塞米),导致排水多于排钠。患者入院后尿量在1500-2500ml之间,而补液量控制在1000ml以内。为了明确原因,我们也进行了尿电解的检查,测定尿钾 34.94mmol/L,尿钠 92mmol/L;而同时为了排除原发性醛固酮增多症,又查了ACTH、皮质醇和醛固酮,均正常。因此我们除了嘱咐患者要多饮水以外,也将静脉托拉塞米停用,改口服速尿片20mg qd,改用葡萄糖水输注。经过五天处理后,患者的血钠终于降到正常范围内,患者也从嗜睡状态到精气神十足,以至于吵闹着要出院。
这位患者因为严重的心律失常而采取了起搏器植入术,但是又因此产生起搏器综合征,这可能与起搏时QRS波增宽,心室收缩不协调有关,这是第一个“两难”。在患者出现肺炎后诱发出心衰,心衰治疗利尿剂是首选药物,但由于患者饮水少,利尿加重了高钠血症的发生,这是第二个“两难”。好在我们通过分析病情,逐个解决了这些“地雷”,让病人康复出院。