来源:jxradiology

Diagram of normal bursae surrounding the shoulder joint:
(1) subacromial-subdeltoid bursa,
(2) superior subscapularis recess,
(3) subcoracoid bursa,
(4) coracoclavicular bursa,
(5) supra-acromial bursa
(6) medial extension of subacromial-subdeltoid bursa
肩关节周围的滑囊:
(1)肩峰下 - 三角肌下滑囊,
(2)肩胛下肌上隐窝(滑囊),
(3)喙突下滑囊,
(4)喙锁滑囊,
(5)肩峰上滑囊,
(6)肩峰下 - 三角肌下滑囊内侧延伸。
详解图片:
图1:肩峰下 - 三角肌下滑囊(subacromial-subdeltoid bursa)



图2:肩胛下肌上隐窝(滑囊)( superior subscapularis recess)和
喙突下滑囊(subcoracoid bursa)

SSR(superior subscapularis recess):肩胛下肌上隐窝;
subcoracoid bursa:喙突下滑囊

SS:superior subscapularis :肩胛下肌上隐窝(*);
SC:subcoracoid bursa:喙突下滑囊

星号:superior subscapularis recess:肩胛下肌上隐窝
箭头:subcoracoid bursa:喙突下滑囊
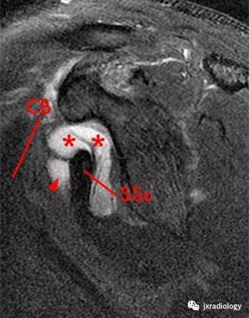
SSc:肩胛下肌腱

星号:superior subscapularis recess:肩胛下肌上隐窝
箭头:subcoracoid bursa:喙突下滑囊
小箭:middle glenohumeral ligament :盂肱中韧带
SSc:肩胛下肌腱

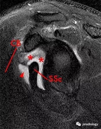
星号:superior subscapularis recess:肩胛下肌上隐窝
箭头:subcoracoid bursa:喙突下滑囊


星号:superior subscapularis recess:肩胛下肌上隐窝
箭头:subcoracoid bursa:喙突下滑囊
CB:喙肱肌和肌腱
SSc:肩胛下肌腱

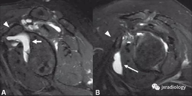
A图:(superior subscapularis recess):肩胛下肌上隐窝
B图:subcoracoid bursa:喙突下滑囊

箭头:subcoracoid bursa:喙突下滑囊积液
箭:退变和内侧脱位的肱二头肌长头肌腱
图3:喙锁滑囊(coracoclavicular bursa)

subacromial/subdeltoid (SbA/SD):肩峰下/三角肌下滑囊(SbA/SD),
subscapularis (SS):肩胛下肌上隐窝
subcoracoid (SC):喙突下滑囊
coracoclavicular (CC): 喙锁滑囊
supra-acromial (SpA): 肩峰上滑囊
图4:肩峰下 - 三角肌下滑囊内侧延伸

红箭:肩峰下 - 三角肌下滑囊内侧延伸
箭头:冈上肌肌腱撕裂
白箭:肩峰下 - 三角肌下滑囊
【版权声明】本平台属公益学习平台,转载系出于传递更多学习信息之目的,且已标明作者和出处,如不希望被传播的老师可与我们联系删除
更多影像内容请*载下**放射沙龙APP,免费读片线上交流学习