
牙缝越来越大,牙齿越来越松,这锅要让洗牙来背吗?


本文约5520字,阅读时间约10分钟
大家好,我是你们熟悉的牙医小姐姐。
很多人都希望自己的朋友圈里,有一个医生朋友。
作为一个牙医,我也很高兴朋友们能向我询问牙齿的问题,但有时候吧……职业病犯了,当我的朋友也会有点儿头疼(笑)。
比如前两天,我的好朋友蓝同学从北京来到了杭州,好久没见面,又在我的地盘,我自然是陪吃陪喝陪玩奉陪到底。两个人逛了一整天,聊得特别high。在咖啡店里,蓝同学愉快地点了一杯拿铁,正喝得开心,却看到我盯着她的牙齿左右端详,不禁有点发毛。
“喂,你干嘛呢?”
“你的牙缝……”我默默地比画了一下,“是不是有点大呀。”
蓝同学迅速闭上了嘴瞪着我,之后又伸手遮着嘴嚷嚷道:“喂喂喂,吕童鞋,从你上医学院开始,你就看我的牙缝不顺眼啦!我就是怕麻烦嘛,不整不整,不要看我!”
我乐了。还真是,在工作之外每次和人见面,我都会忍不住先观察对方的牙齿,要是对方的牙齿保护得很好,我就会在内心默默给他点个赞,要是对方的牙齿有问题,我就努力忍着不让自己直接说出来。但蓝同学和我实在太熟了,所以光是牙缝我就已经吐槽了好多年,也难怪她要抗议了。
于是,我转移了话题:“好的好的,不说牙缝的事儿~那你要不要体验一下你同学的特殊服务?让我帮你洗个牙?”
蓝童鞋又喝了一口拿铁,然后露出了贼贼的微笑。
“好呀,关于洗牙吧,我的确有一大堆的疑问……”
有疑问,没问题。作为包邮区的资深牙医,这个科普的任务我承包了。

“洗牙,是不是就是让牙医帮你刷牙呢?”
这是蓝同学的第一个问题。
洗牙还真不是刷牙,准确地说,这是由牙医或洁牙师进行的一项医疗操作,专业名词叫龈上洁治。顾名思义,龈就是牙龈,龈上洁治,就是把牙龈以上的部分进行清洁和治疗。平时我们刷牙的时候,也会对牙齿进行清洁,但和洗牙比起来,清洁的程度是相差很大的。

“洗牙”前,这里用一只鹌鹑蛋来示意洗牙的效果

“洗牙”后,一只白到发光的鹌鹑蛋
洗牙是用洁治器械除去龈上牙结石、菌斑和牙面上沉积的色素,并抛光牙面的过程。
这句话里包含了洗牙的四个目标:1、除去牙结石,2、除去菌斑,3、除去色素,4、抛光牙面。要了解洗牙的过程到底是怎么回事,就要从这四个目标一一说起。
简单来说,牙结石、菌斑和色素,都是食物残渣在牙齿上不同形式的残留。
第一个洗牙的目标,是除去牙结石。
牙结石又称牙石,是最为顽固的一类污垢。

它在刚形成的时候,是一种乳白色的软垢,如果用手抠动,是可以抠下来的。但它“藏匿”的地方比较偏僻,一般都在牙齿和牙床的衔接处,如下颌前牙的舌侧表面,上颌后牙的颊侧表面,以及口腔黏膜运动不到的牙齿表面等处。你可以试着用舌头找找这些位置,就会发现它们的确是我们平时容易忽视的藏污纳垢区。
所以,久而久之,牙结石就会因为逐渐钙化而变硬,并逐渐呈现出黄色、棕色或黑色。这时候,再简单用手抠,已经很难清除它们了。如果对它们放任不管,这些牙结石就会成为口腔中的隐患,给我们带来各种牙周疾病。
日常的刷牙,很难处理牙结石的问题,我们只能通过洗牙的器械去对它们进行定期的清除。
第二个洗牙的目标,是除去菌斑。
菌斑听起来就耳熟多了,因为很多牙膏的广告里都会提到“去除牙菌斑”这个关键词。
通俗点讲,菌斑是一群细菌的集合,我们肉眼是看不到细菌的,但因为这群细菌聚集在一起,在牙面上形成了一层薄膜,所以我们平时也是可以感受到菌斑的存在的——当你用舌头或者用手指触摸牙齿时,如果能感觉到有一层黏黏糊糊的东西,恭喜你,你找到了菌斑的藏身处。
菌斑和牙结石一样,都是牙周疾病的元凶,在这群细菌的作用下,我们的牙龈很容易出现炎症,出现红肿。幸运的是,这些菌斑不能被我们的口水冲走,却可以通过刷牙去除。
如果你正确刷牙后再去摸牙齿的表面,就会发现自己摸不到那层黏黏糊糊的东西了(但是注意摸之前要洗手啊,否则手上的脏东西也会带到口腔里哦)。
第三个洗牙的目标,是除去色素。
色素是最容易理解的。
我们吃的食物,在通过口腔时会留下“纪念品”,色素就是最容易被发现的“礼物”。
比如我们吃红心火龙果的时候,一张嘴就会看到满嘴牙齿都是紫红色的,如果吃完不漱口也不刷牙,这些颜色的残留就会更久一些。喜欢喝咖啡、浓茶的人,抽烟的人,服用某些药物的人,他们的牙齿都容易变黄或者变黑,这就是食物或药物色素附着于牙齿表面,导致的色素残留。
一般情况下,色素是可以通过勤刷牙去除的。
但如果不太注意日常的牙齿保养,色素沉淀久了,就不那么容易清除了。
第四个洗牙的目标,是抛光牙面。
这往往也是洗牙的最后一个步骤。“抛光牙面”是指在完成前面的去牙结石,去菌斑,去色素的过程中,牙齿表面上的污垢被去除后,会有一定程度的凹凸和粗糙感,通过最后的抛光进行处理,可以让牙齿表面更光滑,不易附着新的结石、菌斑和色素。
听到这里,蓝童鞋忍不住打断了我。
“等会儿,如果日常的刷牙也可以清洁完这些污垢,那我们为什么还要洗牙呢?”
如果刷牙真的能够刷得特别彻底,理论上的确不需要洗牙。
在实际的临床上,我们也的确见过牙齿维持得非常好的例子(除了刷牙,也要记得常用牙线啊)。
但一个人有28-32颗牙齿,每颗牙齿有5个面(把牙齿想象成一个长方体),我们每天都在使用这些牙齿,食物残渣会不同程度地黏附在这些牙齿的各个面上。即使我们每天吃完东西,都有认真地刷牙清理,总会有疏漏的地方。一般情况下,如果刷牙时能清洁到80%的牙面,就可以认为是合格的刷牙了。所以,牙齿上的污垢,每天都会有一定程度的遗留,逐渐累积就会形成肉眼可见的牙结石、菌斑和色素。
打个比方,如果把牙齿上的牙结石、色素和菌斑想象成是茶具上的茶垢,就算天天清洗茶具,也无法避免茶垢的产生,因此,洗牙的过程,是对平时刷牙过程中无法深度清洁部分的一个补充,就像是我们对口腔环境的一次大扫除。

“原来如此。”
蓝童鞋默默地抿了抿嘴,好像不打算继续喝她的拿铁了。
接着,她又狡黠地问了下一个问题:“既然洗牙是对牙齿的深度清洁,那这个过程会不会容易伤到牙齿呢?”
这是个好问题。
我知道她一直对牙医诊所里那套设备感到恐惧,正好可以趁机科普一下。我的诊所就在咖啡馆不远,于是我决定带她去“实地考察”一番。
洗牙是需要借助器械的,我们牙医称之为洁治器械。
洁治器械可以是手工器械,也可以是超声器械,目前临床上超声洁牙是主流(本文中若没有特殊说明,洗牙默认是超声波洁牙,因为只有一些特殊患者才会需要牙医进行手工操作,文章后面会讲到)。
超声清洁的原理是20k以上赫兹的超声波,作用于介质(这里是水),使液体中压力变化而产生无数微小真空泡,称之为“空穴效应”,当真空泡能量吸收到一定程度,气泡破裂会产生强大的能量,从而破坏牙结石、色素与牙面的结合,频率越高,这种能量越大,医生会根据牙结石的硬度和粘附的强度来调节设备的震动频率。
超声洁牙机上还带有喷水系统,在启动工作头超声振动时,喷水系统同时向工作头喷水,形成雾状,一方面起到冷却工作头的作用,另一方面协助超声空穴效应产生的清洁力,对牙石、菌斑等产生冲刷作用,并将震碎的牙石和血污冲走。
了解了洗牙器械的工作原理后,我们就可以得出这样的结论:规范的操作是不会对牙齿造成损害的。所以洗牙时,一定要选择正规的医院或者牙医诊所。
如果牙医的操作不规范,震动功率过高,或者器械使用不当,则会对牙面造成损害。在扫描电镜下可以观察到较宽的刻痕,患者也会感到不适,比如敏感。
必须要说明的是,并不是牙齿出现敏感,就一定是因为操作有问题,因为去除牙结石时,机械和水温的刺激同样会引起牙敏感,而且这种情况也较为常见。

“啊啊啊,说到敏感,我想起来了,我有几个朋友洗完牙,说自己的牙齿变敏感了!”
蓝同学听到这里,立刻弹了起来,然后又指指自己的门牙,幽幽地说道,“其实吧,我还有一个担心……洗牙不会让我的牙缝越来越大吧?”
“你看你看,早就跟你说过要矫正牙齿啦。”
我在内心默默吐槽。看来下回必须要科普科普正畸(箍牙)那些事了。
但今天还是先解决完洗牙的困扰。因为有蓝同学这种担心的人也不在少数,而且的确有些人洗完牙,牙缝是会变大的。
但是,敲黑板,重点来了。
牙缝变大的元凶并不是洗牙。
洗牙和牙缝变大,只是时间上的一个先后关系,并不存在因果的逻辑。
怎么理解这句话呢?我先给大家画个简单的示意图。

左边是洗牙前的牙齿。中间阴影的部分,是牙间隙,也就是我们所说的牙缝。
右边是洗牙后的牙齿。可以看到,阴影的部分的确增大了。这是为什么呢?
因为这些患者的牙齿,由于长期清理不到位,患了牙周炎,牙龈也因为发炎而变得肿胀起来,牙龈的位置也随之变高了。洗完牙后,一方面牙齿间隙中原有牙结石的空间释放出来了,另一方面,牙龈也消肿了,退缩到了正常的位置,释放出了一点空间,两者一结合,就出现了牙缝变大的结果。
所以,洗牙并不是造成牙缝变大的根本原因。根本原因,应该是牙周炎。

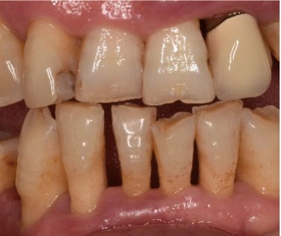
牙周炎可表现为牙床退缩、牙缝变大和牙齿移位
蓝同学似懂非懂,但已经学会举一反三了。
“所以……洗牙之后,牙齿外面的脏东西被去掉了,牙齿就赤裸裸地暴露在外面了对吧?这也是前面说的牙敏感的原因吗?”
看来她还真的是读了我之前写的那篇牙敏感的科普。
我们之前说过,因为清理不到位,出现牙周炎,会导致牙龈退缩,带来敏感问题,但这类的敏感问题一般可以逐渐恢复,或者在医生的指导下恢复,可千万不要因为怕洗完牙后敏感就不敢洗哦。因为通过洁牙,我们去除掉了牙齿上的菌斑、牙结石和色素,就好比把穿在牙齿上的一件破棉袄给脱掉了,牙齿本身突然暴露在口腔里,遇冷遇热就会有些不适应,但这种症状是会慢慢缓解的。
所以,结论就是,洗牙后出现的牙敏感是暂时的,不用担心。

聊到这里,蓝童鞋渐似乎已经对洗牙没有那么多的恐惧了。
她想了想,又问了个问题:“对了,洗牙是不是只适合年轻人呀?如果让我爸妈来洗牙,会不会让牙齿变松,直接把牙给洗掉了?”
人老了就会掉牙。
似乎大家在潜意识中都认同了这种“老掉牙”的说法。
但年老真的是掉牙的原因吗?其实并非如此。
大多数时候,牙齿脱落,是因为长期的慢性牙周炎导致的。
牙周炎是一种慢性疾病,一般是由牙菌斑导致的,表现为牙槽骨吸收。如果你听不明白什么是牙槽骨吸收,可以这么简单理解:如果把牙齿比作大树,牙槽骨就是固定树根的土壤,牙周炎就是水土流失,当水土流失到到一定程度的时候,树会倒,牙齿松动就是这个道理。
出现了牙槽骨吸收后,这种吸收是很难恢复的,所以,对牙周炎患者来说,治疗的目标是维持住现有的牙周水平,防止牙齿情况进一步恶化。
所以,*制抵**牙菌斑的侵袭,是牙周炎治疗中最为重要的一步。与有效的菌斑控制相结合的龈上洁治是牙周炎治疗中最重要的措施,用人话说,就是“好好刷牙,定期洁牙”。一般来说,正常人洗牙的频率,每半年到一年洗牙一次就已经足够了。在掌握了正确的自我菌斑控制方法,养成良好习惯之后,许多患者通过龈上洁治就可以保持牙龈的健康。
(什么是正确的自我菌斑控制方法?如果大家有兴趣,记得留言,牙医小姐姐会继续给大家填坑的~)
因此,结论就是,年纪大了,照样有必要洗牙。
这样才能更好地保护牙齿,抵御牙周炎,让牙齿更坚固。

即使是老了,也要保护好牙齿呀。图源:PEXELS
当然,也并不是所有人都可以采用超声波洁牙。
有呼吸系统疾病的患者不应使用超声洁牙机,如呼吸抑制的患者,患慢性肺病的患者等,超声治疗中的喷水、喷雾会给这些患者带来威胁;一般装有心脏起搏器的患者禁用超声洁牙机,以避免因干扰起搏器的工作而造成患者心律紊乱等症状。当然随着技术的更新,新型起搏器具有屏蔽功能,不受超声洁牙机工作的干扰。
还有一类患者,也是禁用超声洁牙机的。
那就是有传染病的患者,如结核,乙肝抗原阳性,HIV感染等。因为超声洁牙机所产生的带菌喷雾会污染操作区及周围的环境,引起疾病的传播。一般情况下,在就诊前医生会确认患者的病史,避免这种情况的发生。
经过这一次的科普,蓝同学终于放下了心,愉快地接受了我的洗牙服务。
在洗牙开始前,她悄悄问了我最后一个问题。
“对了,洗牙能不能让牙齿美白?就是……会blingbling的那种?”
对于大部分人来说,去除色素和结石后,牙齿整体的亮度会得到提升,恢复原本的颜色。但是如要进一步亮白牙齿,则需要进行专业的美白治疗或者贴面等修复治疗,光靠洗牙就想blingbling,恐怕就有点难啦。
最后,给今天阅读科普的小可爱们,提供一个自检是否有牙周问题的小窍门:
咬一口爽脆的苹果,如果上面有你的血牙印,不用犹豫,去牙科报到吧。
我知道看牙很贵,但拖着不看牙,更贵呀!
最后,再来检查一下大家今天有没有认真阅读科普~
提问:洗牙,会导致牙齿变松吗?导致牙齿变松的罪魁祸首到底是什么?
欢迎在评论区留下你的回答~
PS:阅读这篇文章的时候,你有没有偷偷检查自己的牙齿呢?
本期参考资料来源:
《临床牙周病学》,曹采方著,北京大学医学出版社
主稿人:杭州牙医吕佩红;编辑:包包、鲁鲁修;质检:笑言;排版:CC;题图:鲁鲁修
本文系【法医秦明】头条号原创文章,未经授权谢绝任何形式的转载