
大多数人都经历过头痛,却没有多少人在意,但如果您突然出现剧烈的头痛,这个时候就要小心了,很有可能是你脑子里的“不定时*弹炸**”爆炸了!请尽快就医!
那这颗“不定时*弹炸**”究竟是什么?今天,我们就以近日的三例典型病例为大家详细讲讲。
病例1:脑动脉瘤“不是肿瘤,
却比肿瘤更凶险”!
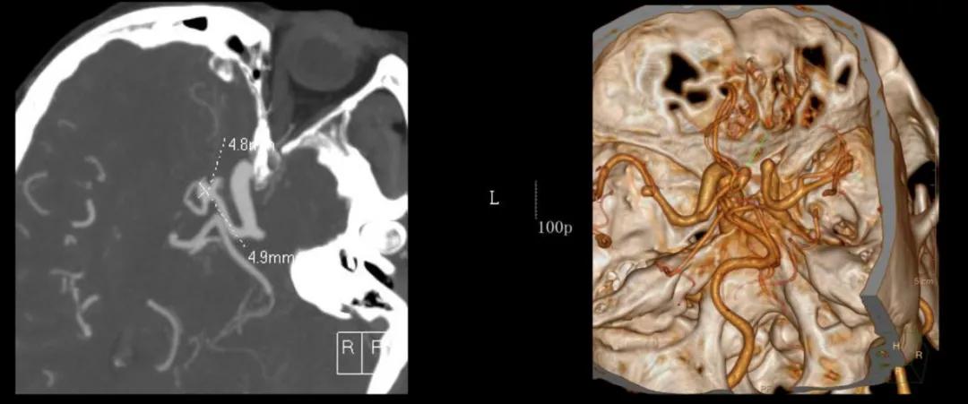
49岁的包女士(化名),因“突发头痛伴呕吐6小时”紧急送往西安医学院第二附属神经外科,入院急诊行头颅CT检查提示蛛网膜下腔出血,进一步做头颅CTA检查,确定为右侧大脑中动脉瘤破裂出血所致。
术前影像学资料:

“什么?脑动脉瘤破裂!这是什么脑肿瘤?”得知这个结果,家属们都一脸茫然。
其实,脑动脉瘤的名字中有个“瘤”字,但是它和脑肿瘤并没有关系。脑动脉瘤是一种脑血管疾病,虽然没有脑肿瘤那么“出名”,但也是神经外科非常常见的一种疾病。它是由于脑动脉壁先天性缺陷和血管腔内压力增高,造成动脉壁如气球样膨起,形似瘤状,故称动脉瘤。

虽然不是脑肿瘤,但是它的危害一点也不小。它就像车胎局部有磨损,轮胎壁就会变薄,充气时便会在磨损处鼓出一个包,容易造成爆胎。脑动脉瘤也是这样,如果脑动脉发生“爆胎”,10%左右的患者等不及救治就已死亡,30%的患者即使送到医院,也很难救治,即使患者有幸存活,脑动脉瘤也极有可能发生再次破裂出现二次出血,严重危害患者的生命健康!
由赵海康副院长、袁致海副主任医师和赵江涛医师紧急组成专家组,与家属沟通后,急诊行开颅动脉瘤夹闭术,手术过程顺利。
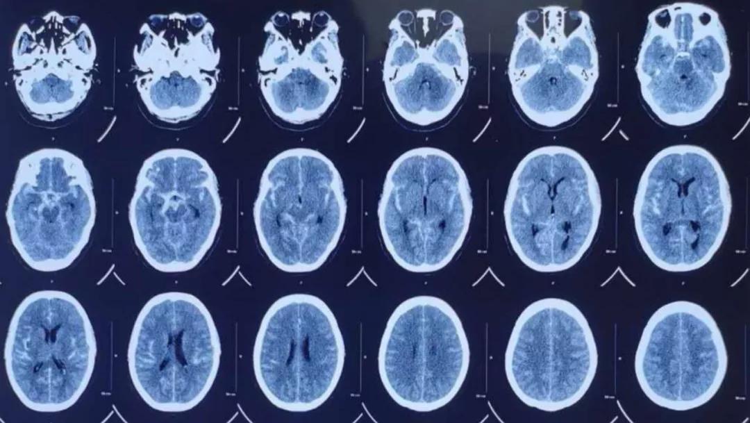
术后影像学资料:

术后复查头颅CT示,包女士无继发出血及大面积脑梗塞等并发症,并且意识清楚,四肢活动良好,无明显神经功能缺损。患者和家属对治疗效果都十分满意。
病例2:脑内不定时*弹炸**爆炸,
最典型的症状就是突发性剧烈头痛!
65岁的林奶奶(化名)平时身体康健,某日和别人交谈时突然发生剧烈头痛,被家人紧急送往西安医学院第二附属医院神经外科,并以“突发头痛4小时”收治入院。行头颅CT检查提示蛛网膜下腔出血,完善脑血管检查后提示左侧大脑中动脉动脉瘤和前交通动脉瘤。
术前影像学资料:

林奶奶一家怎么也没想到,突然头痛怎么就查出来脑动脉瘤了。其实,脑动脉瘤最典型的症状就是突发性剧烈头痛。
我们把脑动脉瘤也叫做脑内“不定时*弹炸**”,除了它的危害性极大,还有它破裂的不可预测性。很多情况下是静息的,没有任何症状,但在情绪激动、便秘、劳累、血压增高等情况下会突然发生破裂。大多数的患者往往没有任何前兆突然发病,此时最典型的症状是 突发性剧烈头痛 ,患者会有种被棍子狠狠击打一下的感觉,或者像钳子紧紧夹在头部一样,疼痛难忍,还会出现意识障碍或视力障碍,并伴有恶心、呕吐、颈部强直,部分患者甚至会出现抽搐,大小便*禁失**,偏瘫,失语等症状。所以,大家在出现类似的突发性头疼一定要高度警惕脑动脉瘤,尽快去正规医院神经外科就诊。

至于林奶奶的情况,在告知家属病情、风险和可选治疗方案后,最终选择行开颅动脉瘤夹闭术。赵海康副院长、袁致海副主任医师和王悦医师根据CTA所示动脉瘤的位置及瘤颈方位,制定的手术方案为左侧翼点入路左侧大脑中动脉动脉瘤、前交通动脉瘤夹闭术,在手术团队的共同努力下,手术顺利完成。
术后影像学资料:

术后复查头颅CT动脉瘤夹闭术后,动脉瘤已成功夹闭,没有出现大面积脑梗塞及再出血等并发症。林奶奶意识逐渐清楚,四肢活动良好,无神经功能缺损,两周后痊愈出院。
病例3:夹闭or栓塞,
脑动脉瘤手术怎么选?
44岁的熊女士(化名)在家中突然晕倒,醒后感到剧烈头疼并伴有恶心,家人赶紧把她送往当地医院治疗,行头颅CT提示:蛛网膜下腔出血,动脉瘤破裂可能性大。但是当地医院不具备治疗条件,这让熊女士的丈夫焦急万分,赶紧把熊女士送到西安医学院第二附属医院神经外科,这时她已经出现四肢不自主活动、神志呈嗜睡状、反应差、不言语、烦躁不安,情况危急!
进入我科后,首先安排行头颅CTA检查,明确蛛网膜下腔出血是由于右侧颈内动脉末端动脉瘤破裂引起。动脉瘤生长在颈内动脉后交通段,位于后交通动脉对侧血管壁上,属于血泡样动脉瘤。(血泡样动脉瘤占所有动脉瘤的0.4%-2.7%,占破裂动脉瘤的6.6%,比较少见,但它非常容易再出血,死亡率极高,治疗也非常困难。)
术前影像学资料:


熊女士的脑动脉瘤随时都有可能再次破裂出血,危及生命,需要紧急手术,但家属在手术选择上却出现了犹豫。 脑动脉瘤的治疗一般会通过两类手术方法,一种是开颅手术夹闭动脉瘤,另一种是介入栓塞动脉瘤,这两种手术也是西安医学院第二附属医院神经外科特色技术。 至于这两种手术该如何选择,就要根据患者动脉瘤的位置、形态、数目、大小、以及与周围组织和血管的关系、患者年龄和身体一般情况、患者及家属的经济状况等情况决定。

最终和家属反复沟通病情后,决定给熊女士行“颅内动脉瘤介入栓塞术”。术中在两枚支架辅助下,应用4枚弹簧圈栓塞动脉瘤。手术顺利结束,术后熊女士神志清楚,生命体征平稳,头痛好转,无神经功能障碍。
术后影像学资料:

术后2个月来院复查,熊女士自行步入诊室,精神状态良好,头颅CT 显示颅内情况稳定。
一般来说,脑动脉瘤最常发生于40~60岁的人群,就像上述三个病例,但现在也有许多年轻人患脑动脉瘤,他们通常有高血压、生活作息不规律、长期大量吸烟、酗酒,或有动脉瘤家族史。
最后, 在这里提醒大家: 保持健康生活方式,并定时体检。尤其是年过40岁、烟龄长,高血压、糖尿病等血管疾病和有脑血管病家族史的人群,可在一般体检的基础上,加做脑部CTA(CT血管造影)或MRA(磁共振血管造影)。