最近我有一个很苦恼的问题,7月22日那次拔牙后,智齿处就留下了一颗洞,每天吃东西时,都会有食物残渣掉进去,非常痛苦,刷牙也刷不到。

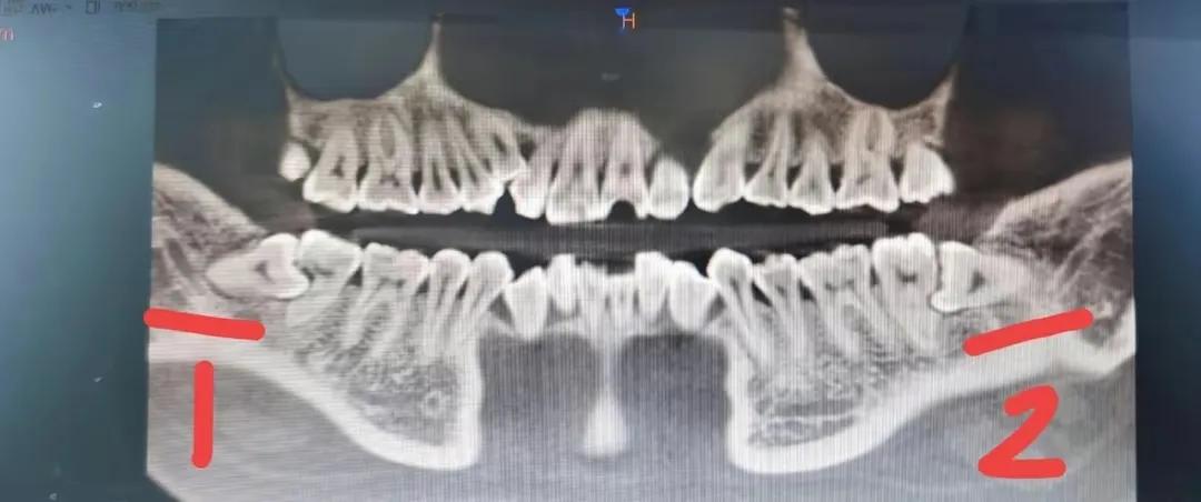
拔牙后留下的洞
最开始我其实没有注意到这个问题,都是拔牙一周过后,有一次啃鸡爪,觉得有一个东西卡在了牙齿上,然后就对着镜子看,不看不知道,一看吓一跳,居然牙齿的根部有一个洞,鸡爪的筋就卡在那个洞那!刚开始以为是那颗大牙的洞,但是后来仔细一看才发现应该是拔智齿后留下的洞。因为我第一次拔牙根本就没有留下洞。

5月份的第一次拔牙
那次那颗牙齿很难拔,还用了超声骨刀,削了一坨骨头,并且用刀片划了两刀,最后拔完牙过后是缝了针的,十天过后还去医院拆线了的,所以就没有留下洞,我估计可能是因为缝针的原因。

五月份那次拔的“1”,没有留下洞
但这一次拔牙,医生采用的方法是智齿有多大,伤口就有多大,并不会去用刀片划开其他的地方,所以第二次拔牙脸没有肿,当天晚上就能吃饭了,刚开始我还很庆幸,觉得选对了医生,一周后才发现更大的麻烦来了。那颗智齿拔开后,就剩下一个洞,吃任何东西都会落进那个洞里面,我实在是不放心,因为没有经历过,所以我决定去找医生看看。

跟诊所的医生沟通
去到诊所后,医生很耐心的帮我查看,然后说没什么问题,要好好刷牙。我说关键是太深的地方,根本就刷不到那个洞,于是医生给了我一个神器。

诊所给的针管
现在我只要吃了东西都会用针管冲一下。但随之而来,有另外一个问题就是那个洞旁边的那颗大牙非常的不舒服,四川话说就是有点qin,我不知道你们懂不懂那个意思[捂脸]。
医生说正常情况下,3到6个月那个牙坑就会自动愈合。希望早日愈合,我也不用每天吃完东西过后就在那洗那个洞[捂脸]而且因为最近洗那个洞太频繁,那个洞的旁边都开始长溃疡了,我真是很无奈啊!
有相同经历的朋友吗?你们是怎么处理那个洞的呢?有更好的方法吗?
#头条创作挑战赛#