


今天和大家分享一篇来自Fish and Shellfish Immunology上的文章:Chitooligosaccharide supplementation in lowfish meal diets for Pacific white shrimp (Litopenaeus vannamei): Effects on growth, innate immunity, gut histology, and immune-related genes expression(《低鱼粉饲料中添加壳寡糖对南美白对虾生长、免疫性能、肠道形态和免疫相关基因表达的影响》),文章引用信息如下:

南美白对虾是全球养殖最丰富的对虾品种之一,为了支持对虾养殖业的逐步发展,发展营养充足、经济有效的饲料是很必要的。水产饲料中最贵也最重要的就是蛋白质。鱼粉因为具有均衡的氨基酸结构、易消化、富含维生素、矿物质和必需的多不饱和脂肪酸,所以长期以来一直作为水产饲料中的主要蛋白来源。目前市场上的对虾商业饲料一般含有25-50%的鱼粉,这使得对虾养殖业成为鱼粉的最大消费者之一。然而,鱼粉的价格在最近几十年大幅飙升,如何减少对鱼粉的依赖以及用更便宜和更丰富的可用蛋白来替代鱼粉是对虾养殖可持续发展的必然要求。在此背景下,用植物蛋白替代鱼粉的趋势越来越明显。然而,许多相关的研究结果表明,饲料中的植物蛋白成分过高会对对虾的生长、摄食、抗氧化活性、肠道健康和免疫反应等造成一定的负面影响。目前越来越多的研究都是以确定一种最佳的植物蛋白含量为主,不仅可以给虾苗补充营养,又可以提供基本营养元素。
自1859年,法国人Rouget首先得到壳聚糖后,这种天然高分子的生物*能官**性和相容性、血液相容性、安全性、微生物降解性等优良性能被各行各业广泛关注,在医药、食品、化工、化妆品、水处理、金属提取及回收、生化和生物医学工程等诸多领域的应用研究取得了重大进展。但由于其较差的溶解度,在饲料中的应用受到一定的限制。壳聚糖经化学反应和酶解后产生壳寡糖,壳寡糖的分子量小、溶解度高,而且比壳聚糖具有更高的活性和更多的生理功能。有相关的研究表明,饲料中添加壳寡糖对养殖动物的生长、消化率和小肠形态具有有益的影响。因此,本文通过8周的南美白对虾饲养实验,介绍低鱼粉饲料中添加壳寡糖对南美白对虾的生长、非特异性免疫反应、抗氧化能力、肠道和肝脏的影响以及应激作用和免疫相关基因表达的影响。
实验结果如下:
1、壳寡糖对南美白对虾生长的影响
表1 南美白对虾生长性能、饲料利用率及存活率。HFM组的饲料鱼粉占30%,植物蛋白占29%;LFM组的饲料鱼粉占15%,植物蛋白占42.5%;COS3、COS6、COS9、COS12和COS15组饲料基于LFM组的基础上添加了不同浓度的壳聚糖,分别为0, 0.3, 0.6, 0.9, 1.2 or1.5 g /kg。下同。

结果表明,无论是添加鱼粉还是添加壳寡糖,南美白对虾的生长指标和饲料利用率都没有显著的差异。在实验期间,对虾的成活率在95%到98%之间,实验组之间也没有显著差异。
2、血液生化指标
表2 南美白对虾的血清生化指标测定。

高鱼粉组(HFM)的胆固醇浓度明显高于其他组,并且其他组血清中碱性磷酸酶活性活性显著低于高鱼粉组。从低鱼粉组(LFM、COS3、COS6、COS9、COS12和COS15组)可以发现低,饲料中补充0.3g/ kg 的壳寡糖可增强血清中酸性磷酸酶的活性。
3、免疫功能和抗氧化能力
表3 南美白对虾血清免疫和抗氧化指标测定。

从表3可以发现,当用植物蛋白替代鱼粉后,南美白对虾血清中的溶菌酶活性显著降低,而添加了0.3g/ kg和0.6g/ kg的壳寡糖的饲料组溶菌酶活性均有显著改善。血清中的一氧化氮合酶活性也有相似的趋势,但添加壳寡糖后无明显变化。酚氧化酶、超氧化物歧化酶活性及总抗氧化能力水平均无显著性差异。
4、免疫相关、炎症和应激反应基因的表达

图1 南美白对虾肝胰腺中免疫相关基因的相对表达
从图1可以发现高鱼粉组与低鱼粉组以及添加了壳寡糖组的免疫相关基因:crustine(抗菌肽),Pen3(一种变位酶)和proPO(酚氧化酶原)在南美白对虾肝胰腺中的表达水平有显著的差异。

图2 TNF、AIF、HSP70和TGF-β基因在南美白对虾肠道中的相对表达水平。

图3 TNF、AIF、HSP70和TGF-β基因在南美白对虾肝胰腺中的相对表达水平。
从图2和图3可以看见低鱼粉组的TNF(肿瘤坏死因子), AIF(细胞凋亡诱导因子)and HSP70(热休克蛋白)在肠道和肝胰腺的表达显著升高,而添加一定浓度的壳寡糖可以抑制这些基因的表达水平。相反的是,低鱼粉组的TGF-β(转化生长因子-β)基因在肠道和肝胰腺的表达显著降低,添加一定浓度的壳寡糖可以提高TGF-β的表达水平。
5、肝胰腺和肠的组织切片

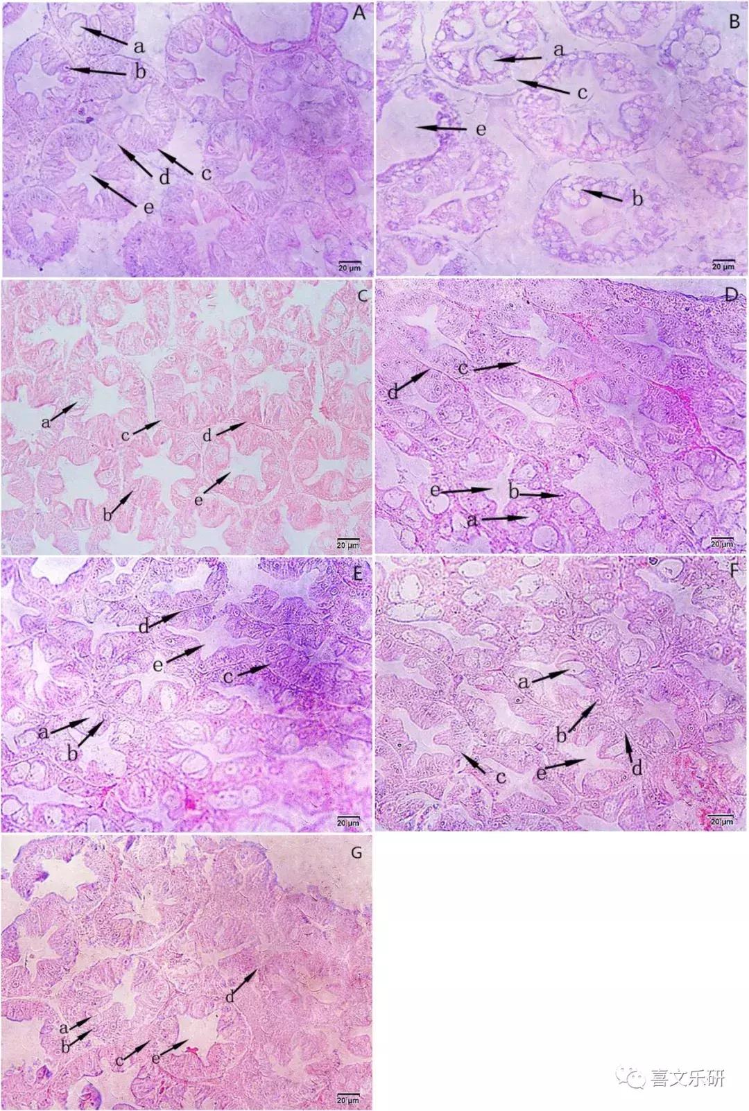
图4 南美白对虾肝胰腺组织切片(a: B细胞分泌细胞,b: E细胞胚胎细胞,c:肝胰腺小管,d:基底膜,e:肝胰腺小管腔)(A: HFM, B: LFM, C: COS3, D: COS6, E: COS9, F: COS12, G: COS15)。
从图4可以看见,相对于低鱼粉组,高鱼粉组和添加了壳寡糖组的南美白对虾肝胰腺小管都有大量的E细胞,而且高鱼粉组的B细胞数量也比低鱼粉组少。高鱼粉组的肝胰腺小管排列紧密,基底膜完整,而低鱼粉和添加壳寡糖组的肝胰腺小管间间隙较大。另外,低鱼粉组的肝胰腺内可见大量小液泡。

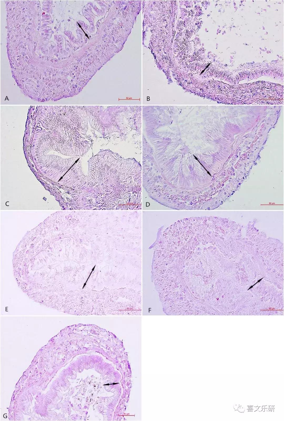
图5 南美白对虾肠道组织切片A: HFM, B: LFM, C: COS3, D: COS6,E: COS9, F: COS12, G: COS15(箭头表示实验组肠道褶皱高度的变化)。

图6 南美白对虾的肠褶皱高度。
图5和图6可以看出,与高鱼粉组相比,低鱼粉组中的饲料添加过高的植物蛋白对南美白对虾的肠道形态有不利影响,低鱼粉组的肠道褶皱高度显著降低,并且结构被破坏。而壳寡糖组在添加较低浓度的壳寡糖时,可以显著改善肠道褶皱高度,而过高浓度的壳寡糖也会对南美白对虾的肠道褶皱高度有不利的影响。
以上结果清楚地表明,在南美白对虾的饲料中添加壳寡糖可以增强抗氧化能力和免疫功能,并对肠道和肝脏的健康有益。
小结:
这个实验结构完整,内容较多,给做类似实验的研究人员提供了一个很好的榜样。但是从所得结果来看,对于壳寡糖用于生产中的最佳浓度还需要做进一步的实验验证。