近日,番禺区中医院呼吸内科(内三科)张卫东主任带领团队诊治一例临床罕见疾病——"肺泡性蛋白沉积症",顺利完成番禺区首例"大容量全肺灌洗术",让患者再获新生。

图说:医生详细阅读患者胸部CT影像
39岁的患者邓某是一位装修工人,已反复咳嗽咳痰3个月余,在多处医院就诊后症状仍未见好转,并逐渐出现气促,甚至不能步行上2楼。今年3月到番禺区中医院呼吸科门诊就诊,经胸部CT检查,结果显示双肺广泛病变,随后马上让其入呼吸内科(内三科)住院治疗,张卫东主任凭借丰富的临床经验,初步判断该患者并非普通肺炎,而是临床罕见的肺泡蛋白沉积症,以最短的时间行气管镜检查,顺利完成支气管肺泡灌洗液及活检,进一步行PAS染色证实,确诊为该病。

图说:气管镜获取标本明确诊断
据悉,肺泡蛋白沉积症非常罕见,全球预计发病率约为 0.2/100万,即500万人才有1人发病。该病病因不明,考虑可能和基因缺陷、感染、自身免疫力等多方面因素有关,由于磷脂蛋白在肺泡里不断地沉积,淤塞在肺泡和支气管,通气功能受阻,还特别容易发生感染。该病最突出的症状就是咳嗽、气喘,缺氧发生口唇和手指头发紫,严重时,吸氧效果也很差。

图说:在灌洗术中对灌洗进行严格把关
为了缓解患者痛苦,呼吸内科团队在充分评估患者肺功能情况下,决定为患者行"大容量全肺灌洗术",通俗的讲就是给肺洗个澡,这是治疗这种疾病的最有效的方法,然而番禺区内尚无类似病例。该手术在全身麻醉下行支气管肺泡灌洗,操作复杂,技术要求高,有一定的危险性,为此张主任特邀在这方面有丰富经验的樊勋教授进行指导,并组织院内呼吸团队联合麻醉科主任张理宾带领下的麻醉团队进行病历讨论,分析手术的可行性及可能风险,做到周密设计,保护患者安全。

图说:不同时期"牛奶样"灌洗液比较
在全麻下,双肺实施肺泡灌洗手术的难度较大,解决好以下问题是手术成功的关键,一是要有精确的双腔气管插管,通常选择左侧插管,这对麻醉师的技术要求非常高,差一厘米也不行,深了会影响呼吸侧肺的通气,浅了两侧肺隔离就得不到保障;二是双侧肺必须完全"气、水"隔离,如果隔离不彻底会导致清洗时双侧肺同时进水,发生意外,所以灌洗时必须保持一侧肺灌洗,而另一侧肺以呼吸机辅助呼吸,洗完一侧再换另一侧;三是洗完单侧肺后必须将血管外水分充分排除和吸收才能进行另一侧清洗,否则容易发生严重缺氧。

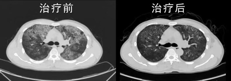
图说:治疗前后胸部CT比较
麻醉科张理宾主任团队为患者行两腔管肺隔离麻醉,将两腔气管导管准确插入患者左主支气管,施行麻醉后,张卫东主任开始肺灌洗术,通过自行设计的管道,将500mL的36度生理盐水向肺中灌入,然后抽吸出来,吸出来的水呈牛奶状,与此同时团队成员密切监测患者的生命体征及肺部情况,保证手术的安全,随着灌洗的推进,灌洗液逐渐转清,顺利完成右侧灌洗后,患者的缺氧状态明显改善,在再次充分评估后,随即进行了左侧肺的灌洗,此次双侧肺部灌洗花时约3小时,累计使用36000ml生理盐水,手术总用时4小时,被清洗出的"牛奶"样液体足足装满了盐水瓶(500毫升)72瓶。

图说:患者给我科医务人员的感谢信
术后患者生命体征平稳,第二天患者即可下地行走,自觉呼吸困难明显改善,尝试着从1楼步行上了10楼的呼吸内科,中途仅在6楼休息一次,身体状况转好。

图说:番禺区中医院呼吸团队与患者合影
张卫东主任指出,对于此例患者的罕见病我们采取大容量全肺灌洗是成功的,此类手术适用于包括煤工尘肺、矽肺、铸工尘肺、电焊工尘肺、水泥尘肺等各种无机粉尘所致的尘肺患者及肺内粉尘沉着症者,还有吸入性肺炎(含吸入粉末或液体异物)等,均可作为一种有效的治疗手段,“肺也可以像洗衣服一样洗干净。”
广州日报全媒体文字记者 肖桂来 通讯员 罗胜
广州日报全媒体图片记者 肖桂来 通讯员 罗胜
广州日报全媒体编辑 魏丽娜