中期妊娠过程中胎儿脊柱的显示较早期妊娠检查显示的更加明显和典型。
胎儿多通过矢状面和横断面检查,沿胎儿长轴脊柱矢状面追踪扫查,由头端向胎儿尾部移动探头可显示完整的脊柱矢状面;旋转探头自头端向尾端或反方向连续平行扫查显示脊柱横断面;显示胸椎时在其两侧可以显示肋骨;三维或四维检查显示脊柱、椎管、肋骨的冠状面。检查过程中注意观察脊柱的排列、曲度、椎骨的回声、形态、椎管的回声等。
一、脊柱矢状切面
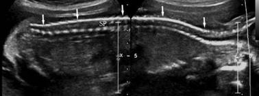
矢状面扫查可显示出脊柱的全长及其表面皮肤的覆盖情况。脊柱显示为排列整齐的串珠状平行带状强回声,自颈椎至腰椎显示为自然弓背向后的曲度,骶尾部略向后翘并逐渐变细,最后融合在一起;腹侧的带状强回声由椎体形成,背侧的带状强回声由椎弓形成,二者之间的冠状回声为椎管,颈段椎管和腰段椎管稍增宽,胸段椎管宽度基本一致(图1)。

图1胎儿脊柱失状切面声像图(右为头端,左为尾端)
14孕周~24孕周胎儿脊柱长度(SL)与孕周(GW)关系:SL (mm) = -47.2 + 7.16 × GW。
二、脊柱横切面
不同水平的脊柱横断面显示的回声不同。在胸部和腰部横断面显示典型的脊柱回声由三个点状强回声组成,呈V或∧字形排列,背侧的两个强回声由两侧椎弓骨化中心形成,腹侧的一个较大的强回声由椎体骨化中心形成,三者之间为椎管;颅底部第一颈椎环椎横切面为四边形环状回声,而骶椎显示为扁平状回声。
三、脊柱冠状切面
不同水平的冠状面显示的图像差异很大。胸腰部冠状面扫查可显示典型的脊柱冠状面图像,在近腹侧经椎体的冠状切面上显示为串珠状强回声。超声检查无法在一个平面上显示自然屈曲的脊柱冠状切回声,位于图像中央区域的椎体比较大,向边缘区域椎体逐渐变小;可显示中间的椎体回声和双侧的椎弓回声所形成的三条带状回声,显示双侧椎弓时仅可见由双侧椎弓形成的带状回声,中央的椎体骨化中心不显示。
上述脊柱冠状面图像在脊柱的三维超声检查时显示的更为典型,并通过三维图像可以比较明确的计数椎体的数目(图2A),并且可以在胸部显示肋骨回声和数目(图2B)。

图2 胎儿脊柱(SP)和肋骨(R)三维显示
检查时要注意脊柱回声的形态、排列的一致性,并注意观察脊柱背侧浅表组织的层次和皮肤的连续性,以排除脊柱裂的存在。
四、肋骨
胎儿胸部脊柱两侧可显示肋骨回声。由于肋骨斜向走行且不在一个平面上,纵切面及横切面上均难显示其全貌。横向扫查时在胸壁内肋骨显示为椭圆形或扁圆形强回声,有时可以显示一段肋骨回声或在一个切面上显示多条肋骨回声,深部伴声影;纵向检查时肋骨显示为圆形点状强回声,多个肋骨的点状回声并排,在其深部可见篱笆状的声影。
五、四肢
胎儿四肢骨骼容易显示,因其与周围的软组织具有明显的对比,在早期妊娠的晚期以后就能辨认上肢骨及下肢骨;胎儿股骨长度(FL)的测量也是胎儿发育评估和孕龄预测以及胎儿骨发育异常的常规测量参数之一;在中晚期妊娠中尤其是在某些涉及骨发育异常的疾病中,也常需要对肱骨长度(HL)进行测量评估。在四肢骨检查中应注意长骨长度、形态、骨骼回声强度、骨的连接或骨与骨关系和排列。一般认为,超声检查胎儿肢体畸形检出率为22.9%~87.2%,多数为长骨的形态学异常;肢端骨的异常,包括腕、踝、掌、跖、指、趾等骨骼的形态及数量的异常以及髂骨的形态超声检查无法准确显示和评价,但某些部位的异常,如小指中节指骨发育短小、凉鞋足、髂翼形态异常等可能与染色体的异常有关。
(一)上肢骨
显示胎儿颈部下方横切面、胸廓上部脊柱两侧前方各有一近似“S”形的强回声向外方展开,此为锁骨回声;在胸廓后方显示为三角形的强回声为肩胛骨(图2 SC);肩胛骨上方外侧在肩峰处与锁骨接近;以此为中心旋转探头即可显示出肱骨(humerus)回声(图3A);沿肱骨追踪扫查即能显示尺骨(ulna)和桡骨(radius)(图3B)。尺骨较长,上粗下细,与小指相连;而桡骨则相反,上细下粗,与大拇指相连。尺桡骨可显示出交叉现象。沿尺桡骨向下扫查,即可见胎儿手部,正常时胎手姿势自然呈握拳状,活动时,五指伸开时可显示手指数目及姿势。

图3 胎儿上肢骨声像图
(二)下肢骨
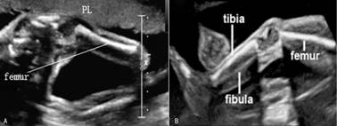
在胎儿膀胱两侧可显示骼骨,在髂骨外下侧可以显示股骨近端,旋转探头可显示股骨(femur)长轴,或显示胎儿脊柱下端的骶骨后向一侧倾斜探头即可显示股骨近端,转动探头可显示股骨长轴。正常股骨显示为典型的长骨回声,后方有明显的声影(图4A);股骨冠状面显示时可显示股骨稍有弯曲,一般无临床意义。确认股骨后沿股骨向下显示膝部,膝部下方即为胫骨(tibia)与腓骨(fibula)(图4B)。内侧的胫骨显示较粗,尤其以近端粗大,声影明显;外侧的腓骨细小,回声较弱,声影也远不如胫骨明显。与尺骨和挠骨不同的是胫骨与腓骨平行排列,不会出现交叉现象。

图4 胎儿下肢骨声像图
股骨远端骨骺显示为圆形或椭圆形的强回声,在第28孕周~30孕周时显示率为11.25%,到37孕周时显示率可以达到100%;当股骨FL>50mm时,股骨远端骨骺的显示率为38.5%,大于60mm时显示率为72%,大于65mm时显示率可以达到100%。
(有专业需求的可参考《实用胎儿电子监护学》,人民卫生出版社,2016)