牙齿根管治疗后牙冠是怎样的 (一颗牙根管治疗后单冠修复多少钱)

许多市民朋友总是不理解,在根管治疗后,牙齿都不疼了,补上就可以,为什么还要做全冠保护呢?西安市红会医院口腔科高艾玲主任为您讲解其中的三个原因。

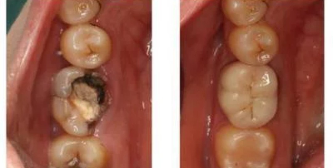
一、 保护变得脆弱的牙齿: 在根管治疗后,没有牙髓提供营养的牙齿会变暗、变脆,剩余的牙冠部分很容易折断、劈裂,失去正常的功能,这会导致牙齿使用寿命减少,因此根管治疗后需做全冠对其进行保护。

根管治疗后牙齿一直不舒服,根管治疗后牙齿需要全冠吗

二、 预防牙齿感染: 做过根管治疗的牙齿会成为一个空壳,对细菌病毒的抵抗力大幅下降,容易受到各种食物的影响或是感染细菌,因此做牙冠的牙齿更不易受感染。

三、 保护牙齿不易变色: 根管治疗后的牙齿缺少必要的保护,其抗氧化能力也会明显下降,受到各种影响后,更容易氧化变色,显得非常不美观。

未做冠修复的牙齿使用情况

根管治疗后牙齿一直不舒服,根管治疗后牙齿需要全冠吗

据统计,一年后约有20%的牙齿劈裂,3年后约有45%的牙齿劈裂,5年后约有55%的牙齿劈裂,且多为冠根联合劈裂,无法保留患牙,只能拔除。

做过冠修复的牙齿 使用情况

根管治疗后牙齿一直不舒服,根管治疗后牙齿需要全冠吗

根管治疗后,做冠保护得当的牙齿,10年后有85%的患牙仍在使用,15年后仍有72%的患牙行使功能。

科室简介

根管治疗后牙齿一直不舒服,根管治疗后牙齿需要全冠吗

西安市红会医院口腔科概况:现有医务人员 13名,西安市红会医院 6名,阎良院区7名。其中,副主任医师 2名,主治医师5 名,医师 5名,护师1名,分别毕业于各大院校,且进修学习于第四军医大学及西安交通大学等各个口腔专业医院。

科室现拥有各种先进口腔医疗设备,种植机,根管测量仪,光固化机,洁牙机,喷砂机等仪器。引进了口腔CT及X线数字成像系统,在口腔内就可拍摄医学影像资料。口腔科器械消毒符合国家标准,保证“一人一机”,有效杜绝医源*交性**叉感染的发生。一流的消毒设备,严格的消毒程序,可靠的消毒效果是您放心就诊的安全保证

诊疗范围

口腔内科,口腔颌面外科,口腔修复,口腔正畸,口腔种植等业务。包括牙体牙髓治疗,全瓷冠修复,烤瓷冠修复,各类可摘局部义齿修复,桩核冠修复,全口吸附性义齿,牙周龈下刮治,成人及青少年牙齿固定及隐形矫正,儿童成长发育期错颌畸形功能矫治等。