如果你发现小宝宝吃奶困难、大宝宝说话口齿不清,而且舌头前伸时为“W”的形状,那你就该引起注意了。因为,这很有可能是舌系带出了问题。

什么是舌系带过短?
人们常常在发现自己说话不清楚之后,进而发现自己"舌头短"。其实"舌头短"是舌系带太短,舌头活动受到限制的一种通俗说法,在医学临床上相当常见,被称为"舌系带过短"。

在我们出生前,舌系带就存在了,它位于口腔的正中,引导整个口腔结构的发育。在照镜子的时候,很容易在舌头下方看到和感受到舌系带,它是在舌和口底之间的一个薄条状组织。有的人的比较薄,有的则比较厚。

我们出生之后,舌头继续发育增长,给人一种舌系带会随着年龄增长不断后退且拉长的印象。实际上,只有舌头长长了,舌系带则不会。
"短舌头"则是由于舌系带特别的短,牵拉着舌尖,限制了它的运动,使舌头看起来比较短。
舌系带过短会带来什么问题?
正常:儿童会随着发育,舌尖逐渐远离舌系带,甚至有些是因为一些轻微的小撕裂拉长了舌系带。
异常:但也有少数发育异常的儿童会出现舌系带过短,如果不进行纠正,其带来的负面影响会伴随孩子一生。
舌是说话和咀嚼中最重要的肌肉,所以舌系带过短会导致:
- 进食问题——在大一点的孩子中,舌系带过短可能会造成吞咽异常,引起进食困难,并且异常的舌头位置和用力方式,还会导致将来牙齿排列不齐。
- 语言能力受损——不过我们的发音系统非常复杂,一些孩子即使舌系带非常短,附着靠近舌尖,也可以通过发音系统其他部位的代偿,从而正常发音和说话。但也有很多孩子并不那么幸运,尤其在发 l、r、t、 d、n、th、sh和z的音时,会不那么准确,说话快时就更显得含含糊糊。
- 呼吸问题——在某些个案中可能非常严重。当舌头被舌系带牵拉,难以前伸而固定在口腔较后的位置时,可能会阻挡气道,从而引起睡眠障碍性呼吸。
- 舌头的位置对于儿童的颌骨和面部发育也非常重要。
- 婴幼儿的舌系带过短会引起哺乳问题,包括引起母亲的乳头疼痛和受伤,还有孩子的喂养不足。
- 新生儿舌系带过短会造成婴儿含乳头和吮吸困难,还可能会引起体重增长不足。
- 婴儿流口水过多、胃食管反流、呕吐、便秘以及难以安抚都可能与此相关。
- 舌系带过短会增高龋齿和牙周病的发病率,因为不灵活的舌头不能很好地做舔牙等动作来帮助清除食物残渣和涂布口水。
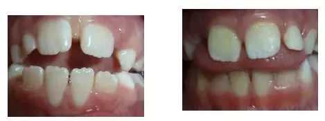
- 舌系带过短还会造成下门牙之间的牙缝,以及开合、深覆合、牙齿紊乱等很多严重的牙齿发育问题。
- 开颌:当孩子闭上嘴时,上下牙齿是打开的。这是因为吞咽时过短的舌系带让舌头固定在上下牙齿之间,下巴不能很好地闭上,久而久之就形成了开合。

2.上颌牙齿拥挤或歪斜:因为舌头位置较低,上颌骨没有充分发育。甚至某些情况下,舌系带过短还是地包天的帮凶。

3. 深覆颌深覆盖:下颌骨的正常发育受到了限制。

日常如何发现舌系带过短?
如果孩子出现以下情况,家长就要特别注意是不是舌系带过短了:
- 舌头向外伸的时候,舌尖呈现"V"型,或者又厚又方,舌头不能舔到上牙的牙龈,或者不能舔到口腔上颚以及在嘴巴里不能灵活地左右移动。
- 家长可以让孩子伸舌头舔一个冰激凌或棒棒糖,作一个简单的小测验。如果存在困难,那么就要去看医生,看看是不是舌系带问题了。

舌系带过短需要处理吗?
如果孩子舌系带过短,而此类问题又比较严重,父母应该及时向儿科医生反映,并且请儿童牙医进行专业评估。
虽然在婴幼儿中舌系带过短的问题常常被忽略,但它却是造成喂养问题潜在原因之一,不仅影响孩子的健康,也使很多妈妈彻底放弃了母乳喂养。
纠正舌系带过短的手术我们称为"舌系带矫正术"或"舌系带延长术",是一个常见的简单手术,相对无痛,低风险。舌系带可能被剪开或者去除。
- 较小的婴幼儿(0—18个月)一般可以在门诊由外科或者口腔科医生完成。
- 较大的孩子特别不配合时,可能需要全身麻醉。但一般情况下,在口腔门诊实行局部麻醉就可以完成了。
舌系带延长术的最佳手术时机
1、婴儿出生后,如果舌系带过短无法包裹奶头影响吮乳动作,需修整舌系带
2、下前乳牙萌出后,舌系带与下前牙摩擦反复溃疡,需修整舌系带
3、舌系带过短,经舌肌功能训练后,舌体仍无法抬至上腭,影响颌骨发育,需修整舌系带
4、舌系带过短引起发音问题需修整舌系带
5、舌系带过短引起咀嚼吞咽异常需修整舌系带
6、舌系带过短引起下前牙排列异常,影响下颌骨发育,需修整舌系带
目前有多种舌系带延长的手术方式,比较先进的是激光无痛手术:安全,无痛,迅速(手术只需几分钟),几乎不用缝合,愈合速度较快,创面恢复较好。

舌系带延长术的注意事项
1、术前注意事项
哺乳期的婴儿可先给予哺乳或喂食,减少饥饿感,使宝宝情绪稳定 2、术后注意事项
— 术后2小时可进食温凉软食
— 不要反复吸吮碰触术区
— 术区1~2天内有少量血丝属正常现象,若出血过多或出血不止需及时就医。
— 定期复诊。
比起一时的手术不适,舌系带矫正术可以防止舌系带过短带来的很多发音和发育问题,甚至为孩子带来一个完全不同的世界,而且它相对简单,所以家长应该积极考虑一下。
对照看看,你家孩子的舌系带短吗?
如果觉得这篇文章不错,就请收藏或分享给好友吧。添加雅悦齿科为好友,学习更多爱牙护齿科学方法。公众号:yyck2001