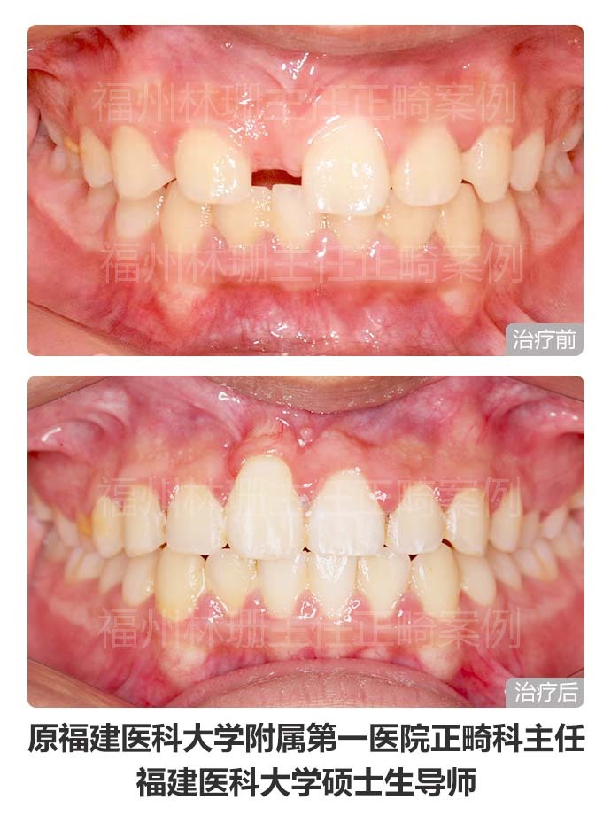
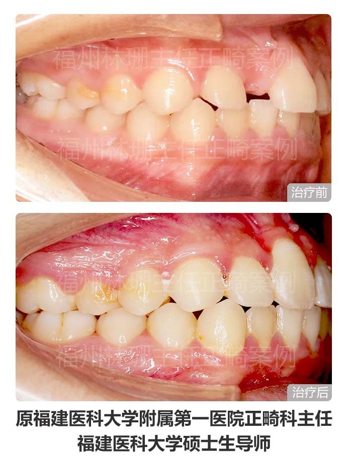
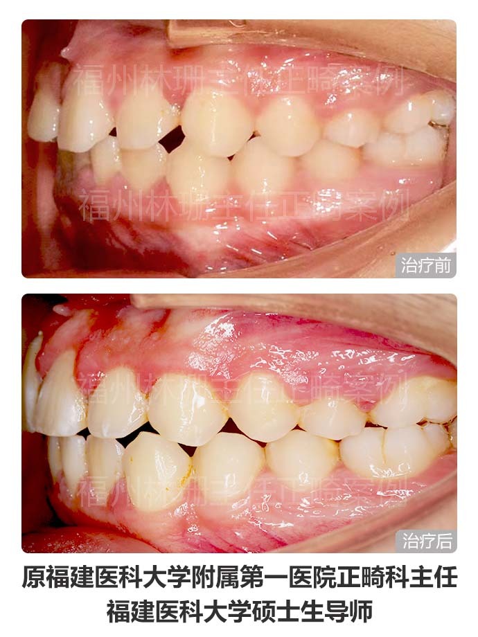
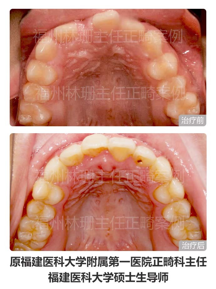
患者主诉替牙后发现上门牙未萌出,前来就诊。 检查双侧面部基本对称,侧貌直。口内检查示右上中切牙未萌出,右上侧切牙与左上中切牙存间隙。上牙列稍不齐。上中线右偏2mm,下中线正。cbct示:右上中切牙倒置阻生,合方见一多生牙。 考虑患者侧貌可,牙列拥挤度不大,且上牙列存有间隙,可通过适当扩弓拓展间隙。因此选择非拔牙矫正,利用扩弓提供的间隙牵引埋伏阻生的右上中切牙,排齐整平上下牙列,调整中线。 矫正后埋伏阻生的右上中切牙已牵引到位。上下牙列整齐,上下牙弓形态佳,上下牙弓匹配;上下前牙覆合覆盖良好,后牙咬合关系良好,上下中线正,同时维持良好侧貌。






关于牙齿矫正更多问题咨询,欢迎大家直接私信我了解更多正畸方面的知识。 #福州牙齿矫正##口腔科普#