肿瘤免疫治疗--一个高速发展而充满了“重磅*弹炸**”的领域?
魏则西事件回顾
2016年4月,一个不幸的癌症患者魏则西因为使用不正规的细胞免疫疗法而不幸去世,也让细胞治疗进入公众视野,这一领域的灰色利益纠葛、监管缺位,让整个行业付出了代价。

那么,旨在调动机体的免疫系统,增强抗肿瘤免疫力,*伤杀**肿瘤细胞的细胞免疫疗法究竟是谋财害命的医疗*局骗**还是暨手术、放化疗之外的新兴治疗方式呢?
细胞免疫治疗的全球研发进展
放眼全球,针对患者自身免疫系统的癌症免疫疗法一直被认为是“治愈”癌症的新希望。近来来,美国、日本、德国等医疗水平领先的国家,都在癌症的细胞免疫治疗方面取得了突破性的进展。
美国
2013年,美国《科学》杂志将癌症免疫治疗评为“年度十大科学突破”之首!

近两年,美国细胞免疫取得最大突破的就是CAR-T疗法,2017年8月,全球第一款细胞免疫疗法CAR-T(Kymriah)获得FDA批准震撼上市,这在癌症治疗史上具有里程碑式的意义。

▲2012年首个接受CAR-T治疗的儿童患者Emily,至今已临床治愈(图片来源:Washington Post)
此外,世界著名的癌症学和免疫学专家Steven A. Rosenberg教授近期研究的TIL (肿瘤浸润淋巴细胞)疗法备受瞩目。到目前为止,TIL疗法有效率达到56%,包括22%的晚期病人被“临床治愈”。

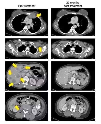
这名被治愈的晚期乳腺癌患者叫朱迪·珀金斯(Judy Perkins),是一名结构工程师,家住佛罗里达州的圣露西港 ,至今她已经摆脱疾病两年。

22个月后,这名患者的肿瘤(黄色箭头)消失得无影无踪(图片来源:《Nature Medicine》)

另外一位患者Melinda Bachini,在09年确诊为晚期胆管癌肝转移的患者,术后出现双肺多发转移,她曾尝试过毒副作用很大的化疗方案,头发掉光了,头和脚部的神经严重受损,但是病情没有得到任何控制,甚至恶化了。回输两周之后,困扰了Melinda很久的慢性咳嗽开始缓解了。第二次回输后,效果真的惊人!她全身肿瘤开始迅速缩小,体力恢复很快。治疗后仅仅一个月,她已经和家人去高山滑雪了!
日本
除了美国,日本在免疫细胞治疗领域也处于全球领先地位,日本政府卫生部门对于免疫细胞治疗积极支持,临床上出现了大量创新疗法及成功的案例。
比如,最新一代Alpha-Beta T细胞疗法,可以使对癌细胞具有攻击力的T细胞全面恢复。接着通过树突状细胞疫苗疗法,将癌细胞的攻击标记提示给T细胞,使其能够精确打击癌细胞。此外,还会通过繁殖/激活具备最强细胞*伤杀**力的NK细胞,以提升对癌细胞的攻击力。
此外,巨噬细胞免疫疗法已获得专利,并在临床试验中取得显著效果。
巨噬细胞活性化疗法是一种把人体内沉睡的免疫细胞(巨噬细胞)激活后的治疗方法。巨噬细胞也称为大胃细胞、贪食细胞,能够起到NK细胞的功能,能吃掉癌细胞、病毒,和细菌的细胞;起到树突状细胞的作用, 通过辅助T细胞、B淋巴球提示吞噬的癌细胞、病毒、细菌;起到血管新生抑制作用,对癌细胞的血管新生有抑制作用。可以说是同时兼备了NK细胞疗法+树状细胞疗法的治疗方法。
目前,日本近期进行的前瞻性研究,突破性的将活化自身免疫的树突细胞疫苗与解除免疫刹车抑制的PD-1联合使用,能够最大限度唤醒癌症患者自身的免疫系统攻击癌细胞,其临床效果值得期待。
德国
德国LDG Labor国家级实验室是目前唯一一所持有德国政府颁发的DC细胞制备资质的实验室,也是德国政府唯一授权的两家国家生物实验室之一,近两年研发的先进的树突细胞治疗技术--LANEX-DC问世!应用一系列的细胞因子进行诱导,可获得高纯度非树突状细胞,再利用肿瘤抗原免疫刺激树突状细胞,可激发特异性的抗肿瘤细胞免疫反应,消灭癌细胞!
临床已证实对人类已知的恶性肿瘤,如肺癌、肝癌、肾癌、乳腺癌、皮肤癌等多种实体肿瘤有效。

肺癌患者接受德国树突细胞治疗后,病灶几乎消失。

今年49岁的Daniel曾在2012年诊断为多形性成胶质細胞瘤 WHO Ⅳ級 ,并进行手术治疗。

2013复发后,手术+化疗
2014复发后 ,LANEX-DC (2/6/9) 治疗
2015年病情稳定,接受LANEX-DC治疗(1/5/8/10)
2016年完全响应,LANEX-DC (1/5/8/10)
2017年病情完全缓解
国内细胞免疫治疗最新进展
事实上,在魏则西事件之前,国内各大肿瘤医院,如北京大学肿瘤医院,301,中科院肿瘤医院等都在进行免疫细胞治疗的临床试验,魏则西事件全面爆发之后,整个细胞免疫行业销声匿迹,但这个事件好的一面是国家卫计委重申禁令,叫停了全国范围内不同医院正在开展的所有免疫细胞治疗,违规医院受到整治,一些不符合规范的细胞免疫治疗企业彻底退出。魏则西事件成为国内细胞免疫治疗的一个标志性节点。在国内行业乱象逐渐厘清之后,真正让患者获益的正规前沿技术闪现光芒!
目前国内已有相关实验室正在正规的进行前沿细胞免疫治疗技术研发,比如曾被央视多次报道的清华细胞研究所张明徽教授团队研发的NKT细胞免疫治疗技术,以及目前正在中国医学科学院肿瘤医院进行二期临床试验的多靶点复合抗原肽生物免疫治疗技术,这是第五代也是全新一代细胞免疫治疗技术,可优化DC活化方法,以增强免疫细胞对肿瘤细胞的*伤杀**作用,将真正的让癌症患者受益!
细胞免疫治疗的客观分析
细胞免疫疗法简单说就是抽取患者体内的免疫细胞,把肿瘤的特征“告诉”免疫细胞,在体外诱导出可能具有*伤杀**肿瘤能力的细胞,再输回患者体内进行“战斗”。此类疗法包括LAK,DC,CIK,DC-CIK,CAR-T,TCR-T,NK,CAR-NK,肿瘤浸润性淋巴细胞(TILs)等等。
细胞免疫治疗技术是一种复杂的医疗技术,细胞提取、扩增、回输说来简单,但实际上每一步都需要严格的质量控制,并且每位患者的情况不同要采用不同细胞,不同的输注剂量和不同的治疗方案。如果细胞质量和数量能做到很好的质控,往往能取得满意的效果,免疫疗法与常规疗法结合使用效果最理想。
细胞免疫疗法的优势显而易见,由于这种疗法是从患者外周血提取免疫细胞,体外培养扩增后回输,因此相比手术、放化疗,这是一种安全、无毒副作用的治疗技术。如果患者接受正规的细胞免疫治疗,能够:
- 减少放化疗的毒副作用
- 有效防止复发和转移
- 提高机体免疫功能
细胞免疫治疗作为一种辅助疗法,与手术、放化疗协同治疗效果更好:

然而,细胞免疫治疗的理论虽然听起来并不复杂,但是实际上应用的技术却相当复杂。目前国内及全球范围内开展的细胞免疫疗法有多家机构,运用的疗法也差异很大,比如有:TCR-T、CAR-T、AK、CIK、NK、NKT等疗法,但真正有效的细胞治疗方法并不多,对于大部分知其然不知其所以然的癌症患者来说,很容易轻信广告宣传而选择既救不了命也害不死人的无效疗法,作为专注于肿瘤领域5年的癌症患者诊疗服务平台,全球肿瘤医生网做了大量研究和调查,总结了六大癌症患者考虑细胞免疫治疗之前一定要了解的问题,希望癌症患者能够客观理性选择:
1、细胞免疫治疗技术对癌症有效吗?为什么会发生魏则西事件?
细胞免疫治疗对癌症有效吗?答案是肯定的。
肿瘤免疫疗法是一项正在迅猛发展的技术,未来它将会是癌症治疗的一个重要方向。
因为最强大的抗癌力量,不是来自药物,也不是手术或者放疗,而是我们自身!我们的免疫细胞每天都在吞噬癌细胞,只不过有时候它们被狡猾的癌细胞蒙蔽。近几年国际上最新的研究发现,只要通过抗原递呈,让免疫细胞能够记忆癌细胞特性,它就可以再次大口大口吞噬癌细胞,只要这样的细胞足够多,活性足够强,它们吞噬能力就足够强,癌细胞最终被消灭,从而不能形成新的病灶,或者使原来的病灶缩小、消失。


免疫细胞吞噬癌细胞
■ ■■■■
然而,此前由于大环境的因素,国内医药产业界鱼目混珠、泥沙俱下的事情实在太多。各种打着“肿瘤免疫治疗”、“肿瘤生物治疗”、“肿瘤基因治疗”的幌子,天价兜售一些欧美已于上个世纪就淘汰的所谓“新技术”,这其中,有的治疗,可能只是“谋财不害命”;有的治疗,则不仅贻误治疗时机,还可能本身成为“夺命杀手”。此外,细胞免疫疗法并不是适合所有的癌症患者,像魏则西所患的肉瘤,本身就是恶性程度很高的罕见肿瘤,全球目前都没有很好的治疗方法,所以,细胞免疫疗法自然也是不适合的。因此,请保证你自己、家人以及患者朋友远离网上的虚假信息,选择接受治疗前一定先经过正规、权威肿瘤医院的专家进行评估,结合家庭经济条件慎重选择,这一点非常重要!
2、哪些患者适合细胞免疫疗法?
细胞免疫疗法理论上可以对应任何阶段的癌症,比如:
- 肿瘤手术前体质较差,术后恢复慢,且害怕隐匿性癌细胞没有被彻底根除的患者。
- 放疗、化疗后,免疫力低下,副作用反应明显(如食欲减退、恶心、脱发、皮肤炎症等),期望增加化放化疗效果的患者。
- 由于害怕放化疗的毒副作用,希望利用各种治疗手段实现治疗效果的患者。
- 肿瘤晚期癌细胞已经全身扩散,但常规治疗方法已无能为力,期望延长生存期,提高生活质量的患者。
需要注意的是,细胞免疫疗法对于晚期癌症患者肿瘤的缩小效果不明显,针对晚期癌症的患者在保持生活品质的同时有延长寿命的效果;作为术后的辅助治疗法可以抑制复发,治疗效果可维持较长时间;与化疗、靶向药、PD1*制剂抑**等其它疗法联合治疗,效果会更佳。
主要适用于实体肿瘤:头颈部肿瘤、食道癌、肺癌、胃癌、乳腺癌、肝癌、胰腺癌、结直肠癌、卵巢癌、子宫癌、肾癌、前列腺 癌、恶性黑色素瘤、肉瘤、部分恶性淋巴瘤。
※以下的人能不能接受治疗
HIV抗体阳性的人
接受内脏器官或骨髓移植的人
※另外,以下患者只能接受树状形细胞疫苗疗法
部分白血病患者,恶性T细胞淋巴瘤患者
HTLV - 1抗体阳性的人
3、肿瘤患者应该什么时间使用细胞免疫疗法?
上文中已经提到,细胞免疫治疗对于早期的癌症患者,协同手术、放化疗的治疗效果最好,因此,最好是在化疗前抽血,在化疗后,第二周期化疗前给予细胞回输,这样能够降低副作用,增加疗效。
4、细胞免疫治疗技术种类很多,肿瘤患者该如何选择最适合自己的?
目前国内及全球范围内开展的细胞免疫疗法有多家机构,运用的疗法也差异很大,比如有:TCR-T、CAR-T、AK、CIK、NK、NKT等,肿瘤患者在如何选择适合自己的疗法呢?
首先,每个肿瘤患者体内的免疫细胞水平和状态都是不同的,在接受细胞免疫治疗之前,应该先进行免疫细胞检测,了解体内PD-1、NK、*伤杀**性T细胞等免疫细胞水平,从而掌握体内的免疫储备及反应情况,在此基础上,制定细胞治疗的种类和方案。
其次,从前的细胞免疫治疗效果并不理想,原因很简单,癌细胞很狡猾,我们体内的免疫细胞无法识别并消灭它,单纯提取免疫细胞,扩增,回输,输再多,这些免疫细胞也发挥不了作用,就好比两军交战,现在甲方兵力不足,需要100人,结果来了100个盲人,根本看不到敌军在哪,只能是打酱油甚至是被敌军迅速干掉。近几年国际上最新的研究发现,只要通过抗原递呈,让免疫细胞能够大量识别、记忆癌细胞特性,它就可以再次大口大口吞噬癌细胞,只要这样的细胞足够多,活性足够强,它们吞噬能力就足够强,癌细胞最终被消灭,从而不能形成新的病灶,或者使原来的病灶缩小、消失。因此,目前前沿的肿瘤细胞免疫治疗会添加特异性肿瘤抗原来刺激树突细胞来识别并杀灭癌细胞,但是具体添加哪些抗原就是每家机构的独门“秘方”,不会轻易透露。
最后,就是细胞培养的数量和质量,通常,细胞培养的数量要保证在100亿个有效的活细胞,才能保证回输到体内的效果。肿瘤患者在选择不同机构的治疗技术时要综合以上几点详细咨询。
5、各类细胞免疫治疗的费用是多少?
癌症患者除了关心技术的效果,最关注的应该就是费用了,因为机构较多,价格高低不齐,我们将质量过关的几类技术的价格在此公开,供患者参考,和所有的癌症治疗技术一样,细胞免疫治疗技术在国内的治疗费用相对较低。以下是各国细胞免疫治疗的大致费用:
美国
Car-t
47.5万美元
日本
Alpha-Beta T细胞疗法
380~390万日元/8次(1个疗程)
德国
LANEX-DC疗法
80~90万元(1个疗程)
中国
MTCA-CTL疗法
62500元/3次(一个疗程)
6、细胞免疫治疗的流程?
- 治疗开始前的检查
- 为了选择适合的治疗法,患者要进行免疫功能检查和免疫组织化学染色检查等各种检查。实施哪项检查,患者要跟医生商量之后再决定。
- 癌细胞的性质检查——免疫组织化学染色检查(※提供手术切除癌细胞进行检查。)
- 免疫细胞的状态检查/ HLA检查(※抽血检查。)
- 治疗开始
- 采血
- 首先进行第一次采血。采血的量和方法,根据治疗内容而不同。
- 细胞的培养、加工
- 免疫细胞点滴・注射
- 治疗结果确认。一疗程结束后,通过影像诊断和肿瘤标志物,免疫功能检查等,确认治疗效果,决定之后的治疗方案。
全球肿瘤医生网推荐的细胞免疫治疗技术
文章开始已经总结了目前国际上备受推崇也是被认可的几大细胞免疫治疗技术,但对于普通的癌症患者来说,有些技术既遥远又昂贵,真正能够获益的细胞免疫疗法有哪些?作为国内专注于癌症患者的诊疗服务平台,全球肿瘤医生网与国内外正规前沿的免疫治疗技术对接,下面,Rossy为大家推荐两种无论从权威性还是价格都相对合理的技术。
一、MTCA-CTL(多靶点复合抗原自体免疫细胞疗法)

目前正在中国医学科学院肿瘤医院进行二期临床试验的多靶点复合抗原肽生物免疫治疗技术,是第五代也是全新一代细胞免疫治疗技术,可优化DC活化方法,以增强免疫细胞对肿瘤细胞的*伤杀**作用,目前已取得很好的临床效果,相信将真正的让癌症患者受益!


治疗不可切除胃癌(来自中国医科院肿瘤医院GCP中心)
中位无进展生存期延长135天 中位生存期延长120天
■ ■■■■
二、日本Alpha-Beta T细胞免疫疗法
日本最新一代个性化的精准复合细胞免疫疗法。通过对患者的癌组织进行免疫组织化学染色,以及流式细胞定量检测分析,判定不同患者具体采用以下哪几种疗法的组合:αβ T细胞疗法、树突细胞疫苗疗法、NK细胞疗法、 γΔT细胞疗法等,相当于个性化定制。有超过2万名癌症患者的治疗经验。
此外,该技术由日本大学医院和癌症专科医院经验丰富的癌症免疫治疗进行接诊和治疗,临床统计了肺、胃、大肠,肝、胰、乳,子宫,卵巢的1 198癌病例,约半数以上的患者在治疗有效,在治疗后癌症缩小,或者再一定期间癌症的发展被抑制。
随着全球医疗界对细胞免疫疗法的新研究、新突破、新认识,其身份正在从“非主流”向“标准疗法的辅助”过渡,许多大型医疗机构都开始接纳它、研究它、应用它,细胞免疫疗法成为继PD1*制剂抑**后的“新宠”,在人类抗癌进程的春天里百花齐放,方兴未艾。相信细胞免疫疗法将打开一扇窗,为国内肿瘤患者康复求生新开一条路。
最后全球肿瘤医生网提醒广大癌症患者,虽然医学水平不断发展,治疗技术也在不断创新,但是至今为止,仍没有一种手段可以治愈肿瘤,肿瘤的治疗一定是依托于权威医院及权威专家的正规治疗,在采取常规治疗手段(手术、放疗、化疗)治疗后,根据自身的经济情况,辅助免疫治疗技术等综合疗法,达到巩固治疗,预防复发,提高生活治疗,延长生存期的目的。
想进一步了解细胞免疫疗法的患者可以加入细胞免疫医患交流群了解更多抗癌信息!
更多抗癌技术和资讯请致电400-666-7998或登录全球肿瘤医生网。
全球肿瘤医生网是由医生组建的专业肿瘤患者服务平台,是国内权威国际诊疗服务机构之一,与国内外知名医院保持密切的会诊和转诊合作关系,可以帮助癌症患者在全球范围内选择适合的医院、专家、技术、药物、临床实验进行治疗,可以为患者提供终身的病情追踪和抗癌服务。