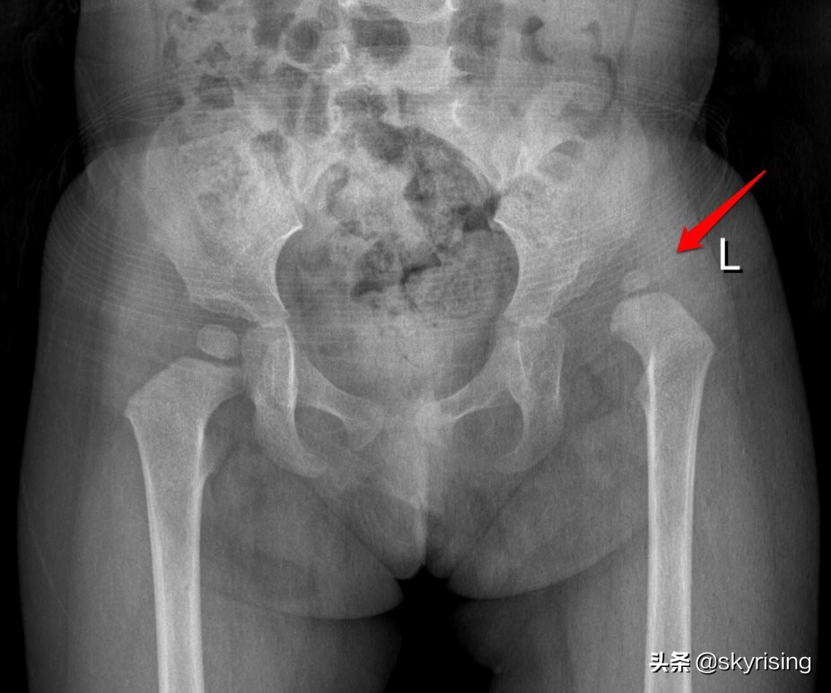
女性,11月,家人发现双下肢不对称就诊。DR影像如图:
左侧髋臼形态欠规整,髋臼角增大,红色箭头所示左侧股骨头骨骺较对侧细小,位于Perkin方格外上象限,沈通线及Calve线欠连续。提示左侧髋关节先天发育不良并脱位。
绿色箭头术后可见左侧髋臼植骨。黄色箭头左侧股骨内固定术后改变。


以下内容引自百度百科。
病理特点
①髂腰肌紧张、挛缩,压迫髋臼的入口;
②关节囊变形呈葫芦样;
③股骨头颈变形,主要有股骨头呈椭圆形,股骨颈短,股骨颈前倾角增大;
④髋臼变形,主要有髋臼窝浅小,呈三角形,髋臼指数增大,关节盂唇内卷;
⑤股圆韧带增粗变长,关节软骨变性等。
脱位分型
1、新生儿髋关节不稳定
2、髋关节发育不良:又称为髋关节不稳定,X线片常以髋臼指数增大为特点,多数采用髋关节外展位而随之自愈,约1/10将来发展为先天性髋脱位,还有少数病例持续存在髋臼发育不良,年长后出现症状。
3、髋关节半脱位:X线片有髋臼指数增大,髋臼覆盖着部分股骨头,这是一种独立的类型,可长期存在而不转化为全脱位。
4、髋关节全脱位:股骨头完全脱出髋臼,根据股肌头脱位的高低可分为四度:
Ⅰ度:股骨头仅向外方移位,位于髋臼同一水平;
Ⅱ度:股骨头向外、上方移位,相当于髋臼外上方水平;
Ⅲ脱出的股骨头位于髂骨翼的部位;
Ⅳ脱出的股骨头上移达骶髂关节水平。
2、临床症状
外观:大腿、小腿与对侧不对称(1-1,1-2),可表现为增粗变短或变细、外旋(单侧);臀部增宽(双侧)。
皮纹:臀部、腹股沟与大腿皮纹增多、增深和上移不对称(1-3,1-4)
肢体活动:患肢活动少,在换尿布时最易发现。
3、体征
患肢股动脉减弱或消失;
内收肌紧张痉挛;
Barlow试验阳性(仅适用于新生儿检查),因髋关节不稳定随月龄的增加而减少,相反外展受限随月龄的增加而增加。
Ortolani征或外展试验阳性,此法可靠。
Nelaton线征破坏。
4、X线检查
Von-Rosen位骨盆平片:正常延长线经髋臼外缘相交于腰5与骶1的平面以下;
骨盆平片:髋臼指数正常为20-25°,至12岁时基本恒定于15°,异常为>30°;
Perkin's方格 正常位于内下象限
Shenton氏线
测量 Hilgenereiner股骨干骺端顶点至水平线的距离为H,正常为10mm;股骨干骺端顶点至髋臼最内缘的距离为d,正常以12 mm为标准。当H值小于10 mm或d距离大于12 mm应怀疑髋发育不育。
Bertol测量法:(P30图4-4)正常上方间隙a为9.5 mm,内侧间隙b为4.3 mm。若a小于8.5 mm,b大于5.1 mm应怀疑髋脱位。若a小于7.5 mm,b大于6.1 mm可诊断为髋脱位。
5、 鉴别诊断
a、先天性髋内翻
b、病理性髋关节脱位
c、麻痹性与痉挛性髋关节脱位
d、佝偻病
6、新生儿及婴儿期先天性髋脱位的治疗
a、尿布枕
b、连衣挽具
c、Pavlik harness
d、Von-Rosen铝制夹板
e、持续牵引复位
f、内收肌切断闭合复位石膏固定+支架
Pavlik固定带图 应该使用3-4个月
二、幼儿及儿童期先天性髋脱位
1、临床症状
走路较晚,步态异常:开始走路时步态不稳呈蹒跚、摇摆或摇动步故态(单侧);双侧者为鸭行步态,肢体不等长,躯干呈代偿性侧弯
2、体征
Allis征阳性(单侧)
Ortolani征或外展试验阳性
Nelaton线征破坏
Trendelenburg征阳性
3、X线检查
髋臼指数
CE角:正常值4岁+15°以上,15岁为+20°以上
Perkin's方格
Shenton氏线
Sharp角:该角>40°即表示髋臼发育不良。
股骨颈前倾角的测量:X线双平片
头臼指数(AHI):由股骨头内缘到髋臼外缘的距离A比股骨头的横径B,表示股骨头的大小与髋臼深度不相称的状态。其特点是随年龄的增长而头臼指数随之下降,一般正常值在84-85左右。其计算公式为AHI=A/B×100。
髋关节间隙:与正常侧相比较,双侧患者与同年龄髋关节进行比较。测定股骨头最高点的面与髋臼软骨底面的距离,分为5级,4级为正常间隙,3级较正常窄1/4,2级较正常窄1/2,1级较正常窄3/4,0级关节间隙完全消失。用以判断有无创伤性关节炎的标准。
4、其它检查:关节造影、CT、MRI均能对先天性髋脱位有其诊断价值。
5、幼儿及儿童期先天性髋脱位的治疗
手术
1、保守治疗
自动复位法:以Pavlik harness固定带为代表。适用于6个月以内的患儿。
牵引复位法:适用于6个月以内的患儿,也有人用于1岁以内的患儿。
内收肌切断闭合复位法:本人主张用于2岁以内的患儿。
2、保守治疗的固定姿势:主张采用人位固定(Human Position)而不用Lorenz体系的蛙式位,其理由如下:
蛙式位是股骨头遭受髋臼压力最大的体位,尤其是对6个月以内的婴儿;
蛙式位时经过内收长肌与髂腰肌之间的旋股内侧动脉遭受压迫,将直接影响股骨头的血运;
蛙式位时,增大的盂唇可以压迫骺间沟,致使股骨头发育受到影响,甚至产生畸形。
3、影响复位的因素
髂腰肌的挛缩;
盂唇过大,阻塞了髋臼而影响股骨头的复位;
头、臼不称,通常是髋臼过小过浅;
其它:如髋臼内脂肪过多,圆韧带过长、增宽在臼内形成阻塞,关节囊的挛缩等。
4、复位后髋关节发育的观察
保持头、臼同心是髋关节发育的基本条件;
保守治疗一般头三个月用石膏固定,以后改用支架固定,保持髋关节的有限制动;固定时间一般为就诊月龄时间或加3个月,一般每三个月复查一次并复查骨盆平片进行监测;
Salter骨盆截骨术
1、手术适应症:年龄在1.5-6岁的先天性髋关节脱位患儿,髋臼指数在45°以下,股骨头大小与髋臼基本适应者。
2、手术前准备:必须进行牵引,可行皮牵引或骨牵引,牵引时间不应少于3-4周,必须使股骨头达到髋臼Y形软骨线水平。
3、手术方法:
4、术中注意事项:
5、术后治疗:
术后远用抗生素5-7天;
术后12-14天折线;
6-8周折石膏并可拔出固定钢针;
三个月后开始下地行走。
Pemberton髋臼成形术
1、手术适应征:
年龄在2岁以上,髋臼发育不良,髋臼角大于45°以上,头臼比例不适合髋臼不能包容股骨头者;手法或手术复位后,经一定时间观察,髋臼仍发育不佳或未发育,股骨头仍处于半脱位或全脱位;年龄超过7岁以上,耻骨联合软骨已愈合,虽髋臼指数未超过45°者也适应此术式。
2、术前准备:同Salter骨盆截骨术。
3、手术步骤:
4、术后治疗:
外展内旋位单髋人字石膏固定;
术后14天折线,术后6-8周折石膏;
术后3-6个月下地行走。
其它手术
Gill手术:
Steell三相髂骨截骨术:适用于7岁以上,髋臼发育极度不良者。
改良沙拉尼契克手术(Zahradnick):是一次性髋臼、股骨颈、股骨干成形术,使其恢复解剖关系和功能,这种手术适用于3-7岁手术法失败或发现较晚7岁以内的儿童。手术成功率是很高的,但其并发症有可能影响关节活动功能。应强调年龄越小手术效果越好,并发症越少。