

严虎
复旦大学儿科学博士
如果孩子发热伴口腔疱疹,你应该了解...
儿童部分常见病毒感染性疾病的流行有一定季节分布特点。
比如,病毒性胃肠炎(主要是轮状病毒感染)常在秋、冬季流行,流感常在冬、春季流行,而目前的春夏之交至夏季则是肠道病毒感染的高峰,可导致儿童患疱疹性咽峡炎和手足口病。
肠道病毒感染的特点是发热、口腔疱疹、溃疡,部分皮肤出现疱疹。
这些症状(比如发热,口腔疼痛)和体征(口腔疱疹、溃疡和皮肤疱疹)容易识别,诊断不难。
可是感染后的孩子症状往往较重(如反复发热、口腔疼痛、拒绝进食),极个别孩子会出现严重并发症(脑炎、心肌炎等),家长和医生十分担心,所以患这类自限性疾病的孩子往往被过度检查和治疗。
所以当孩子出现发热伴有口腔溃疡时,家长应该学会如何识别以及掌握家庭管理。
在此集中解答一些家长经常提出的关于这类疾病的疑问,借此希望家长能理性对待这类自限性疾病,重在平时预防,万一孩子患病,也要避免对患儿的过度干预,避免恐慌导致的二次伤害。
1 哪些疾病可以导致孩子出现发热和口腔溃疡?
常见的就是上述肠道病毒感染导致的疱疹性咽峡炎以及手足口病。
另外原发性单纯疱疹病毒感染也会导致发热、口腔黏膜溃疡,我们称之为疱疹性龈口炎。
2 这三种疾病都会出现发热和口腔溃疡,如何区别呢?
发热通常是它们共有的症状,而口腔病变有各自的特点。
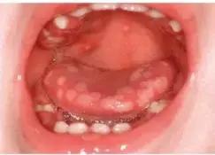
疱疹性咽峡炎患者的口腔疱疹和溃疡一般常位于腭舌弓、软腭、扁桃体和悬雍垂,疱疹数量通常不超过10个。少见情况下,疱疹也可见于硬腭、舌或颊黏膜。(如下图)▼


而手足口病的口腔溃疡位于腭弓前方、舌部和颊黏膜、少数位于唇龈沟和软腭及硬腭上,偶尔出现在悬雍垂、唇和扁桃体上。
(如下图)▼



另外,手足口病患者最显著的特点是手、足以及身体的其他部位(比如会阴部)会出现疱疹。▼



疱疹性龈口炎患者不仅仅出现口腔内以及口唇的疱疹和溃疡,而且牙龈往往会红肿。部分口周有水疱。▼



所以对这三种症状类似的疾病,根据患儿口腔病变特点以及有无皮肤疱疹,往往不难做出鉴别。
关注千聊儿科严医生,系统收听严医生微课堂《口腔溃疡专题》课程
3 流行高峰季,如何保护我们的孩子?
要想保护孩子避免被感染,就得先了解这三种疾病是如何传播的。
手足口病和疱疹性咽峡炎的肠道病毒常通过粪-口途径传播。所以对病儿的粪便管理以及手卫生非常重要。
然而,肠道病毒也可通过接触口腔和呼吸道分泌物(比如唾液和鼻涕)传播,引发手足口病的病毒还可通过接触皮肤疱疹里的水疱液传播。所以要和病儿要保持距离,而且要严格注意手卫生(因为健康人的手可通过接触患者的分泌物或者排泄物而携带病毒)。
要注意的是,手足口病患者在患病第1周传播的可能性最大。即使症状消退后,病毒仍可在患者体内存活数周甚至数月。所以这类孩子尽管没有症状,但他们的粪便仍然可能会播散病毒。
所以家长换尿布时务必小心,一是避免在公共场所更换尿布;另外,换好的尿布要封闭保存(塑料袋扎好,不要随便丢弃);最后,换后要严格洗手。
导致疱疹性龈口炎的单纯疱疹病毒可由直接接触受感染的口腔分泌物或口周水疱传播。
家人患口唇疱疹,如果不注意隔离,就可能导致此前没有感染单纯疱疹的孩子发生疱疹性龈口炎。
疱疹性龈口炎患儿通常能向外界排出单纯疱疹病毒至少1周,偶尔达数周。在他们的一生中可间歇出现无症状性病毒再激活和病毒排出,从而具有一定的传染性。
预防这三种疾病的方法:
目前除了接种手足口病疫苗可一定程度预防EV71型病毒感染导致的手足口病外,没有疫苗可预防其他类型病毒感染导致的手足口病、疱疹性咽峡炎以及疱疹性龈口炎。
理论上,避免接触患者以及患者的分泌物、排泄物等,就可避免被感染。但识别没有典型症状但具有传染性的患者非常困难(处于潜伏期或者恢复期)。
为了尽可能避免接触患者,建议在感染高峰季(比如春夏之交和夏季),尽量避免带孩子出入人群密集的场所,尤其前往儿童出入密集的早教机构以及游乐场所时务必小心。
尽量避免因为轻微疾病反复前往院感控制不力的医院就医。
病儿的家长,避免带孩子去人群密集的场所,需要家庭隔离(可以去空旷的户外)。
严格手卫生,外出回家后务必洗手液严格洗手。


关注千聊儿科严医生,系统收听严医生微课堂《疱疹性咽峡炎和手足口病》课程
4 有药物可以治疗这类疾病吗?
目前没有有效的药物能够对抗肠道病毒。所以疱疹性咽峡炎和手足口病不需要抗病毒治疗。
而疱疹性龈口炎是单纯疱疹病毒感染导致。对发病72-96小时内,免疫功能正常的疱疹性龈口炎患儿,若疼痛剧烈导致无法饮水和进食,可尝试口服阿昔洛韦治疗。
部分儿童因为口腔疼痛(以疱疹性咽峡炎和疱疹性龈口炎为甚)无法经口摄入足够的液体,存在脱水风险,可口服对乙酰氨基酚或布洛芬缓解疼痛后再尝试进食。(即使不发热,也可服用对乙酰氨基酚或布洛芬,服药剂量和服药间隔仍要符合说明书规定)
对于疱疹性龈口炎的孩子,可唇部涂抹医用凡士林防止溃破的创面发生粘连。
因为国内药品监管不力,很多无用的“药”充斥药房和医院,很多患儿都被给予了各种各样的所谓“药物”。
这些“药物”都缺乏足够的治疗依据,只会加重孩子的用药痛苦以及肝肾负担。

在此特别强调避免给患儿使用下列药物(仍有部分无用“药物”不在此列)
5 患病期间的孩子可以吃些什么?
因为口腔疱疹溃疡会伴随严重口腔疼痛,导致吞咽困难,所以患儿往往面临进食障碍。
其中疱疹性龈口炎的疼痛强度和持续时间最长,疱疹性咽峡炎次之,而手足口病的口腔疼痛症状虽有,但不严重。
避免吃会加重疼痛的酸食、热食以及需要长时间咀嚼的食物。
进食偏冷的食物(如低温饮料、棒冰和冰激凌)可能有助于缓解疼痛。▼

这些冷食不会加重病情,在这种极端情况下可以保证患儿有足够的液体、热卡和营养摄入。
如果因为口腔剧痛无法摄入足量液体、出现了明显脱水征,可以静脉输液。
6 孩子患病期间需要注意些什么?
尽管这些都是病毒感染导致的病程自限的疾病,尽管症状和体征通常可在7-10日内完全消退(疱疹性龈口炎的口腔症状可能会持续较长的时间)。但极少数患者可能发生严重并发症(涉及心脏、大脑和肺)。
所以观察患儿的日常表现非常重要。如果孩子精神状态良好,和家人互动良好,虽然有些不适和痛苦,但没有感染中毒症状,没有脱水,可以在家观察。

如果患儿年龄偏小、发热持续3日或以上,体温没有下降趋势、状态萎靡或烦躁(尤其是热退之后)、肤色苍白、频繁呕吐、行走不稳等现象,需要及时就医。