血管内皮生长因子 (VEGF) 是一种已知参与许多生理和病理事件的自身糖蛋白。该分子是用于癌症治疗的抗血管生成的主要靶标。第一个针对促血管生成因子的治疗产品是一种人源化的抗VEGF mAb,称为贝伐珠单抗。
1.概述 研究历史记录抗贝伐珠单抗的独特型mAb,10.D7,它能促使血管内皮生长因子和抗体结合,并在肿瘤小鼠模型中显示出相当的治疗潜力。2022年12月8日,圣保罗联邦大学的Tábata Almeida Silva团队在Nature上发表一篇名为《Potential of an anti-bevacizumab idiotype scFv DNA-based immunization to elicit VEGF-binding antibody response》的文章,旨在评估10.D7 mAb的scFv在用作免疫原时是否能保持相应全长mAb的抗独特型特性并激活VEGF结合的抗体反应。
2.2.材料和方法 细胞培养HEK 293 T细胞(ATCC,Manassas,VA,USA)在DMEM(Thermo Fisher Scientific,Waltham,MA,USA)中培养,而B16-F10细胞(ATCC)在RPMI-1640(Thermo Fisher Scientific)中培养。两种培养基都补充了10%的胎牛血清(FBS;Thermo Fisher Scientific)。10.D7杂交瘤细胞维持在含有10% FBS和50μM 2-巯基乙醇的RPMI-1640中。11.所有细胞在37°C和5%二氧化碳的湿润环境中培养,并定期检查支原体污染。 10.D7 scFv基因的构建用TRIzol (Thermo Fisher Scientific)从106个10.D7 杂交瘤细胞中分离总 RNA。如前所述,使用高容量cDNA逆转录试剂盒(Applied Biosystems,Waltham,MA,USA)(表 1)分别用寡核苷酸A和C合成VH 和 VL 的 cDNA。 然后分别使用 A + B 和 C + D 寡核苷酸对(每个 1 μM)通过 PCR 扩增编码 10.D7 mAb 的 VH 和 VL 结构域的 DNA 片段(表1).

表 1 用于从 10.D7 mAb 分离 VH 和 VL 的引物序列抗体重链扩增条件为:94℃ 3 min;40个循环94℃1分钟,62℃30秒,72℃1分钟;最后在 72 °C 下孵育 5 分钟。轻链扩增条件为:94℃ 3 min;40个循环,94°C 1分钟,60°C 30秒,72°C 1分钟;在 72 °C 下保持 5 分钟。 动物6-8 周大的雄性 C57Bl/6 小鼠来自于“Centro de Desenvolvimento de Modelos Experimentais para Medicina e Biologia”(CEDEME/UNIFESP,巴西),并保持光暗12:12小时进行循环和水自由采食。在用氯胺酮 (100 mg/kg; Syntec, Brazil) 和甲苯噻嗪 (10 mg/kg; Syntec) 进行麻醉诱导后进行实验。小鼠因麻醉剂过量而被安乐死。所有程序均符合美国国家研究委员会关于实验室动物护理和使用的指南。 酶免疫测定 (ELISA) 研究分别进行细胞结合ELISA测定以评估 10.D7 scFv 基因转染的细胞是否被贝伐珠单抗识别,间接 ELISA 以检测血清样品中的 VEGF 结合抗体。在这两种测定中,在室温下与过氧化物酶-链霉亲和素 (Sigma) 孵育 30 分钟后,用邻苯二胺底物 (Sigma)显色孔。用 4 NH 2 SO 4 (Merck, Germany)终止反应,并在 490 nm 处读取吸光度值。 3.结果与讨论 轻链 (L) 和重链 (H) 的可变区 (Fv) 的基因从 10.D7 杂交瘤细胞中分离,测序,并用于构建 VH-VL 方向的常规 scFv。

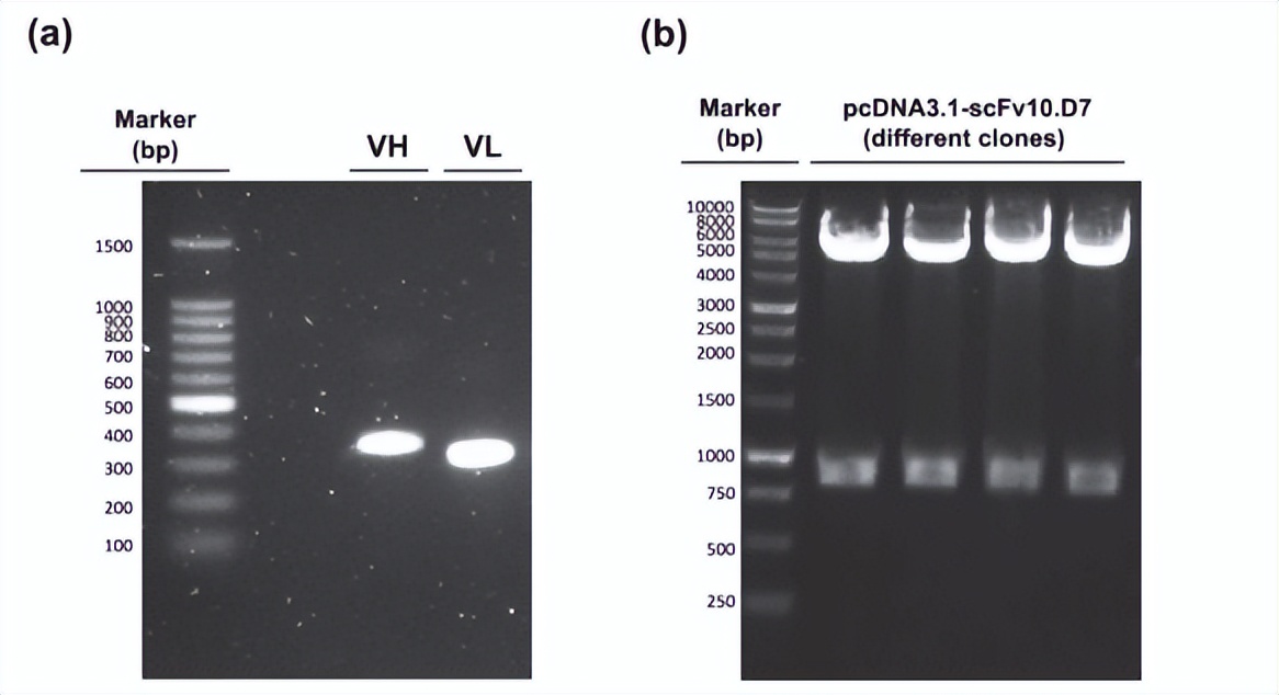
图a:显示 340-bp 和 324-bp 条带,分别指纯化的 FvH 和 FvL 产品,这些序列的 BLAST 分析显示分别与其他 FvH 和 FvL 小鼠免疫球蛋白链具有 ~94% 和 ~97% 的同源性。 图b:用EcoRI/HindIII消化构建的质粒DNA释放出约830-bp的插入片段,其可能对应于scFv基因。

设计的 scFv 可以保留亲本全长 mAb 的贝伐珠单抗结合能力,表达的 10.D7 scFv 可能模拟 VEGF 并诱导包含对 VEGF 反应的抗体的免疫反应,并且有明显的抗肿瘤活性。 4.结论综上,我们的结果揭示了一种有前景的 scFv,它可以保留先前描述的亲本 mAb 的抗贝伐珠单抗 Id 特征。基于独特型网络,设计的结构有可能在 DNA(甚至 mRNA)疫苗中探索以激活 VEGF 结合反应
01相关服务展示
本文相关重点服务推荐
1
人源scFV抗体库构建服务
Single-chain Fv (scFv)抗体文库 是指将抗体的可变区(VH和VL)基因,尤其是CDR区域(互补决定区)采用不同的策略和方式,如氨基酸突变,移码读框等形成数目庞大的不同克隆,并从这些克隆中筛选出针对目的抗原的高亲和力单链Fv抗体。
2
抗独特型抗体开发服务
治疗性抗体药物(ADC药物)一般利用分离自抗体可变区的CDR1或者CDR3结构域与药物分子进行偶联,以达到在体内特异性靶向治疗目的,如特异性的识别癌症细胞等。 抗独特型(Anti-idiotype)抗体 ,是一种能够直接识别、结合另一抗体可变区,即上述CDR区域的抗体。
3
酶免疫测定 (ELISA)
ELISA即 酶联免疫吸附反应 分析,是以免疫学反应为基础,将抗原、抗体的特异性反应与酶对底物的高效催化作用相结合起来的方法。其是将已知的抗原或抗体吸附在固相载体上,使酶标记的抗原抗体反应在固相表面进行,可对抗原或者抗体进行定性或者定量测定。