
概 述
▪ 急性阑尾炎是成人最常见的需要手术的急性腹痛原因。
▪ 临床: 典型症状包括右下腹痛 (右下象限、RLQ)、厌食、恶心和呕吐发热。
▪ 最常用检查方法: 螺旋CT和腹部超声.CT检查敏感性91-98%;特异性75-93%,MRI检查应用于小儿和妊娠期妇女
▪ 临床诊断率70%-80%,延误诊断导致穿孔高达16%-40%,影像阴性而行阑尾切除发生率高达20%-30%,随着螺旋CT的广泛使用,影像阴性阑尾炎切除率下降至3-7.9%。MRI诊断阑尾炎有更高的敏感性和特异性。
◉ 病因、临床
◉ 解剖复习、正常影像
◉ 检查方法、扫描技术、观察技巧
◉ 影像学分类 (结合病理和临床)
◉ 影像学表现
◉ 鉴别诊断
◉ 并发症
◉ 治疗原则
病 因 (etiology)
◆ 阑尾管腔阻塞,细菌入侵。梗阻的来源包括类便淋巴增生、钡剂残留、蛔虫病、类癌或摄入的异物管腔阻塞导致肿胀、管腔内压力升高,随后由腔内细菌引起粘膜损伤,静脉回流受阻,发生穿孔
◆ 临床: 典型症状包括右下腹痛 (右下象限、RLQ)厌食、恶心和呕吐,发热等。

















检查方法 (method)
▪ 选哪一种检查方法: CT和MRI敏感性特异性均较US高
▪ 是否增强
▪ 是否低剂量扫描
▪ 推荐: US适用于婴幼儿,儿童,孕妇和偏瘦病人,以及有基础病的;CT在US无法显示的情况下使用,平扫即可,情况允许可增强:MRI孕妇、儿童适用。
CT扫描技术 (technology)
▪ 扫描层厚: 层厚越薄,正常和异常阑尾的显示率越高
▪ 螺旋CT高于普通CT
▪ 增强扫描或经直肠注入对比剂法检查时,回盲部解剖结构清楚阑尾显示率高
▪ 阑尾3D重建可提高阑尾显示率
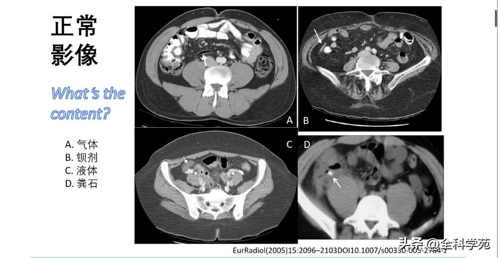
CT上观察阑尾的技巧 (tips)
▪ 沿着结肠,从直肠到右半结肠,找到回盲部复合体,在回盲瓣下方2-3厘米处寻找一个盲管状消化道结构
▪ 如果阑尾可以显示,应用曲面重建技术,沿阑尾中心走行,重建CPR图像
▪ 膀胱充盈有助阑尾显示,阑尾充气有助显示
▪ 应用窄窗位观察阑尾壁厚度和粪石;应用宽窗位观察阑尾周围脂肪渗出情况

二、病理-临床-影像分类
▶ Normalappendix(正常阑尾,Type 0)
▶ Nonvisualised appendix(阑尾未找到或未完全显示Type X),
▶ Uncomplicated AA(非复杂型/单纯型阑尾炎,Type 1)
▶ Complicated AA without perforation(无穿孔的复杂型阑尾炎,Type 2),
▶ Complicated AA with perforation(阑尾炎合并穿孔Type 3).

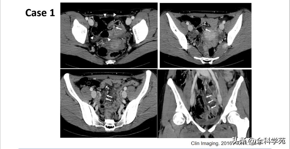
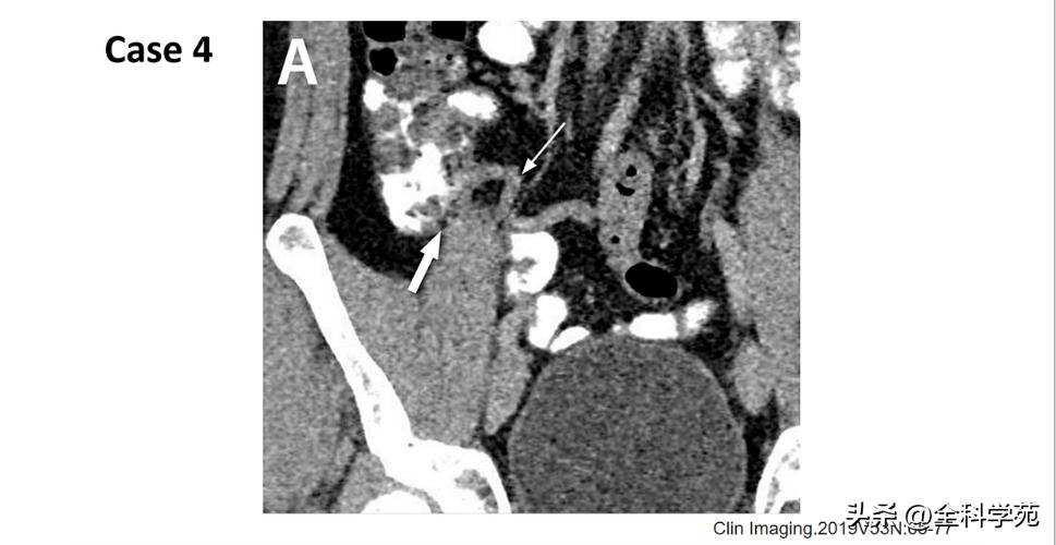
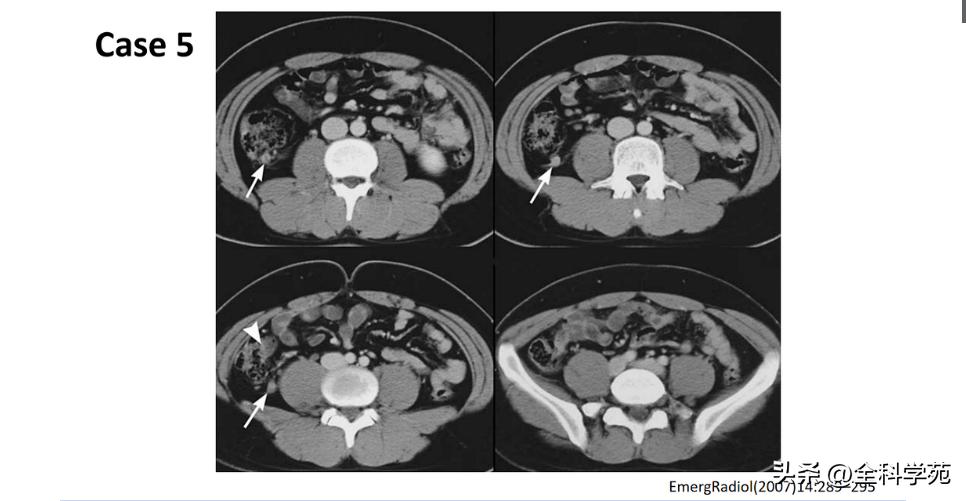
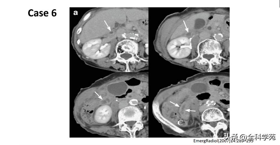
影像学表现 (imaging modalities)
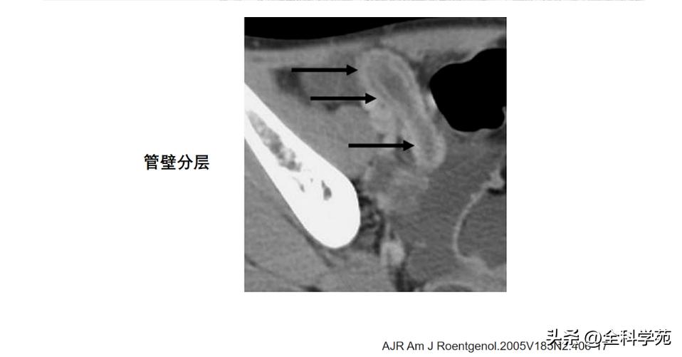
◆ 阑尾壁增厚
>3mm
CT: 阑尾壁明显增强
MRI: T1低信号,T2高信号,DWI: 扩散受限
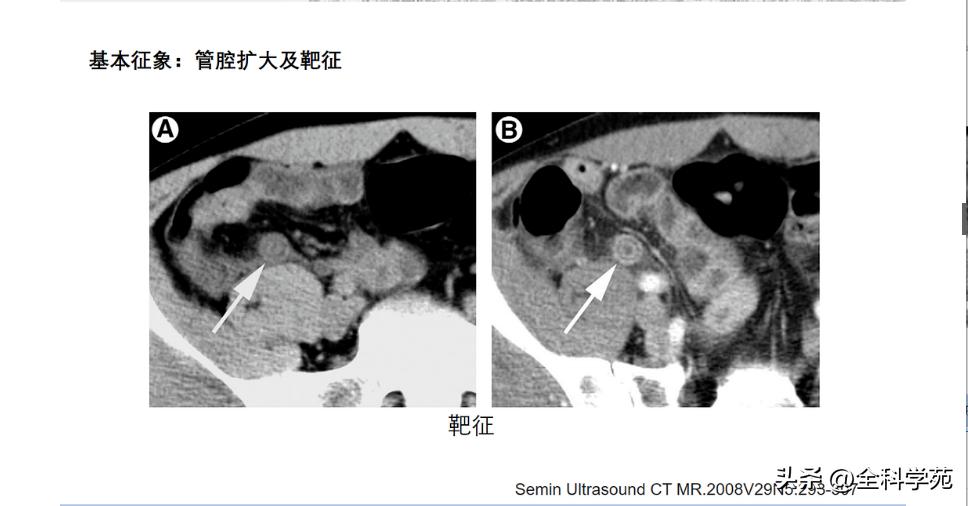
◆ 阑尾的内径增宽
> 10 mm
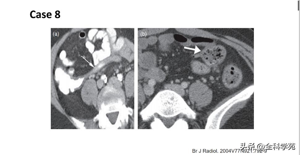
6-10 mm 伴阑尾壁增厚、壁明显强化,周围脂肪间隙模糊或分层(靶征或牛眼征,表明粘膜下水肿的液体含量vs 气体含量
◆ 阑尾周围脂肪密度增高/模糊与腹腔其他部位的脂肪比较,CT表现为脂肪密度增高,T2压脂为高信号
影像学表现 (imaging modalities)
◆ 肠系膜淋巴结
>5 mm,周围伴有肠系膜炎症性改变
◆ 假阴性
尖端阑尾炎、臀部阑尾炎(残余阑尾组织大于5mm,0.15%),右下腹脓肿
◆ 假阳性
阑尾反应性炎症,阑尾肿瘤,阑尾子宫内膜异位症 ( 0.4%-1%)
CT 表 现










MRI 表 现







影像学表现 (imaging modalities)
CAA分类




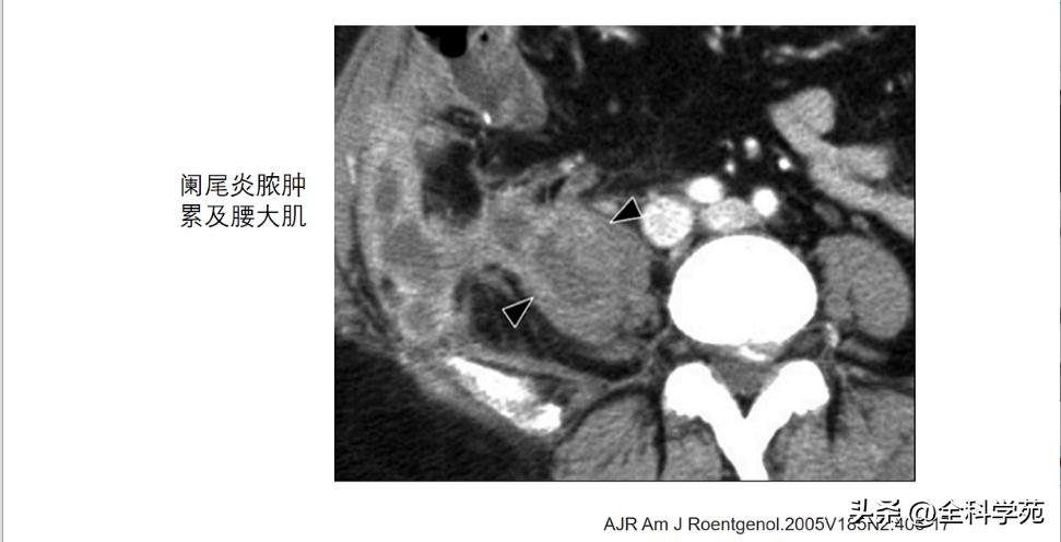
并发症( complications)
◆ 穿孔 (Perforation)
◆ 局部低强化是穿孔征象
◆ 蜂窝织炎和脓肿 (Phlegmon and abscess
◆ 门静脉炎 (Pylephlebitis)
◆ 小肠梗阻 (Small bowel obstruction)











来源| 广州医科大学 蓝日辉 , 以上内容仅供分享学习交流,文章所有权归原作者所有,如有侵权,请联系我们进行删除 。