
痔(俗称痔疮)是一种位于肛门部位的常见疾病,任何年龄都可发病,但随着年龄增长,发病率逐渐增高。在我国,痔是最常见的肛肠疾病,素有“十男九痔”、“十女十痔”的说法。痔疮治疗方法多,内科治疗对部分患者效果欠佳,外科治疗痛苦较大,并发症较多。

痔疮示意图
痔疮的发病基础
以前对痔疮病因的认识是来自于静脉高压假说(1983年),认为是局部的静脉压力过高造成的痔疮发生。而最近的研究提示可能是来自于直肠肛管周围直肠上动脉末梢分支的直径和血流量的增加,造成局部血管增生是痔疮形成的重要原因,而不是痔疮形成后发展的结果。也就是说可以不开刀通过栓塞痔疮的供血血管达到治疗的目的。

痔疮栓塞想法的来源
最近的一些治疗已经认识到直肠上动脉对痔疮形成的重要作用,目前流行的“Circular stapled anopexy”手术,在国内又叫做PPH手术(Patent Prosecution Highway), 即吻合器痔上黏膜环切术,PPH手术方法的机理是在脱垂内痔的上方近内痔上缘的地方环形切除直肠下端肠壁的粘膜和粘膜下层组织,并在切除的同时对远近端粘膜进行吻合,使脱垂的内痔及粘膜被向上悬吊和牵拉,不再脱垂。同时由于位于粘膜下层来自直肠上动脉供给痔的动脉被切断,术后痔血供减少。因此外科也意识到直肠上动脉对痔疮的影响,从而用外科手段进行离断。介入医生也可以通过介入微创的方法在血管内进行直肠上动脉的栓塞来达到治疗的效果。

直肠周围的动脉血供

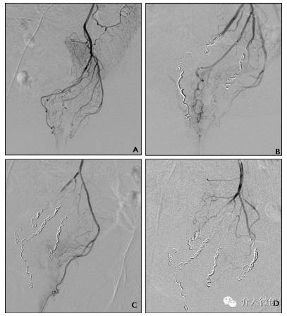
痔疮的责任血管直肠上动脉来自于肠系膜下动脉的分支
解剖图像显示,通过栓塞直肠上动脉达到治疗痔疮的目的是绝对可行的。
临床工作总结
法国Vidal V医生最近的发表的文章已经有过14例的人体痔疮栓塞治疗总结。这个技术适用于初发不愿意接受外科手术治疗、外科治疗术后复发、有严重凝血功能异常无法进行外科手术治疗的患者。痔疮栓塞手术取得了100%的技术成功率,一个月后随访的临床成功率为72%(10/14),疗效不满意的患者中有2例又实施了补充栓塞,获得了满意的效果,绝大多数患者没有疼痛、缺血坏死等严重并发症(13/14)。总体来说痔疮栓塞手术简单、易行、安全、副作用少,而且价格便宜,病人痛苦少,是可以作为痔疮治疗的一个发展方向。

对可能引起痔疮的直肠上动脉分支进行了栓塞
与PPH手术的区别
介入栓塞手术最大的优势在于创伤小,恢复快,安全无痛苦,尤其适合痔疮合并严重出血者。但目前不适用于4期(即痔块脱出不能还纳或者还纳困难)的患者。
