龙园园(审校),郑州大学第一附属医院口腔修复科;
朱来宽,上海交通大学医学院附属第九人民医院牙体牙髓科;
朱嵩维,上海市黄浦区第一中心小学
维维吃好晚饭后又来催爸爸了:“爸爸总说“小洞不补,大洞吃苦”,那爸爸能不能讲讲补牙洞是用什么补的呀?”
爸爸笑着回答:“那爸爸就把从工作二十多年来经历过的补牙材料挨个给你念叨一遍。”
“实际上呢,关于补牙洞的材料也是病人在补牙的时候经常问牙医的一个问题。每个病人的需求不同,结合自身多方面因素(比如 经济 条件、 美观 需求、材料是否 耐用 等等)对材料的选择也不尽相同。
牙医也会尽量用通俗易懂的语言让患者了解所选补牙材料的不同,比如我刚上班的时候会听到有牙医非常直白地问病人选择“ 白的 材料”还是“ 黑的 材料”,作为病人,对这位牙医过于直白地安利第一反应就是选择“白的材料”,进而直接忽略掉了材料的其它属性。”
“那我们来看看“ 黑的材料 ”到底是啥?这些材料一般都是 金属合金类 的补牙材料,大多数情况下刚补好牙洞的时候并不是黑色的,只是随着 使用时间的延长 ,合金类的补牙材料发生了 氧化 就呈现出来黑色的状态。这类材料中最有名气的就是 “银汞合金 ”,这也是国内十多年前 最常见 和 最常用 的补牙材料,这是因为其 抗压强度好、耐磨性强、性能稳定、可塑性大、操作方便 ,而且另外一个主要因素是 价格低廉 ,因此在当时银汞合金的使用群体特别广泛。
我国在 唐代 就有关于 银膏补牙 的记载,其配方类似于现在的银汞合金。但是银汞合金是通过 汞 和 银合金 粉混合才能形成,在混合的过程中可能会造成汞的泄漏,造成环境的污染,危害人体的健康,因此 越来越多 的牙科医生 摈弃 了银汞合金作为补牙材料。
科学家认为,当人体内吸收任何化学形式的汞达到足够高的剂量时,就可能 损害大脑、神经系统、肾和其他器官 ,这在 幼婴 和 儿童 身上表现得尤为明显。
加拿大卡尔加里大学医学院的研究人员证实, 孕妇 在龋牙填补水银粉后几天内,即可从她的血液与体内组织中测出水银。
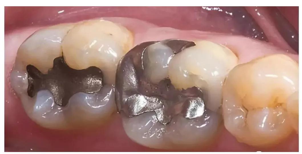
我国牙体牙髓病学专委会的专家们去年推动了一项关于国内银汞合金补牙情况的问卷调查,旨在 尽快禁止银汞合金 补牙材料的继续使用。我们通过第一张图片来看看银汞合金补牙是什么样的情况”

图1. 银汞合金补牙后的情况(图片来自网络)
“还有一种金属类的补牙材料是 嵌体 ,这在我接诊过的在 日本 有补牙经历的病人中比较常见。主要分为 贵金属 及 非贵金属合金 嵌体,其中贵金属合金嵌体以金合金嵌体比较常见,而非贵金属嵌体多为铸造合金嵌体,主要有 镍铬合金、钴铬合金、钛合金 等。
嵌体是根据制备好的 牙洞的模型 在人体外 制作好后再粘接 到口腔的牙洞内。这些材料 具备金属优良的机械性能和良好的耐腐蚀性能 ,适合使用在口腔里。但因其 颜色 影响美观性能而且制作过程 繁琐 从而在实际的临床使用中受到限制,多用于口腔内后面牙齿的修复。
我们通过第二张图片看看金属嵌体是什么样子的,可以看到嵌体非常 光滑 。因为嵌体在体外制作的过程中可以 充分抛光 后再 粘接 到牙洞内,其明显比银汞合金补牙材料 光洁密合 ,能明显降低充填体和牙体之间继发龋的发病率。”

图2. 金属嵌体补牙后的情况(图片来自网络)
“随着科学技术的进步,接近天然牙颜色的牙色材料越来越多的被研发应用到牙洞的修补上。目前应用 最广泛 的牙色材料就是 光固化复合树脂 。光固化复合树脂物理机械性能优越、颜色选择范围宽、美学表现稳定、操作性能好,牙医操作方便,病人对牙齿龋损修复后的效果满意度高。但是,复合树脂固化的过程中会出现 聚合收缩 的问题,导致充填材料和牙体组织之间出现微 渗漏 ,不但会容易出现继发龋坏还会导致牙洞充填后牙齿敏感。
另外,复合树脂表面跟其它材料相比更容易堆积牙菌斑生物膜,从而引起充填后的 牙齿继发龋坏 。有研究表明,复合树脂修复体的临床寿命较银汞合金修复体的短,充填后的 十年内 因继发龋坏导致修复失败的比例达到了 百分之五十以上 。对失败的患牙再修复不仅耗费牙科医生的操作时间,同时也会给患者造成严重的经济负担。作为目前最主流的补牙材料,科学家们一直在尽力改良复合树脂的性能,延长复合树脂的使用寿命,降低病人的经济负担。我们可以通过第三张图来见识一下光固化复合树脂修复牙体缺损的效果。”

图3.光固化复合树脂补牙后的情况
“ 玻璃离子水门汀 是另外一种跟牙齿颜色比较接近的充填材料。其最大的优势就是在牙洞充填修复后的一段时间内能够 持续释放氟 。 氟可以增强再矿化、减少脱矿、干扰生物膜和菌斑的形成、抑制微生物的生长和代谢,从而具有良好的防龋功能 。此外,这种补牙材料还有对牙体组织 黏附性高 、对牙髓 刺激性小 、 价格低廉 的优势。
但是,玻璃离子水门汀在机械性能及美学性能上相比复合树脂劣势明显,临床使用受到限制, 主要用在儿童牙科和暂时性修复,在成人的应用多局限在非咬合接触区或者作为洞衬垫底材料 。我们通过第四张图看到玻璃离子美观性能要比复合树脂差很多。但是,科学家们仍在致力于玻璃离子水门汀性能改进的研究。”

图4. 玻璃离子水门汀补牙后的情况(图片来自网络)
“刚才说到了 金属嵌体 ,随着科学技术的发展,现在又出现了跟牙齿颜色接近的 瓷嵌体 和 树脂嵌体 来修复缺损牙齿。对于缺损比较大的患牙,光固化复合树脂直接修复耗时费力而且不容易恢复牙齿的正常形态,而此时嵌体便是一个很好的选择。通过 数字化技术扫描 缺损牙齿的形态,采用计算机辅助设计和辅助制造技术制作成形嵌体,再通过粘接系统粘接于牙体缺损区域,其理化 性能非常稳定、机械性能良好、耐磨耐腐蚀、美观性好 ,缺点是价格 昂贵 ,需要 数千元 ,增加了患者的经济负担。我们通过第五张图片看一下瓷嵌体修复牙洞的效果。”

图5. 瓷嵌体补牙后的情况
“我们今天讲了各种补牙材料,各有优缺点,选择补牙材料时需要医生和病人详细充分沟通才能取得满意的修复效果。”
参考文献
- 周学东主编. 《牙体牙髓病学》. 第5版.
- 浙江中医杂志,2001(10).
- 武忠圆,王航,付静. 防龋性牙科光固化复合树脂的研究进展. 口腔颌面修复学杂志,2022,23(5):385-389.
- 寿宇珂,任彪,程磊. 释氟充填材料在龋病防治中的研究进展. 口腔疾病防治,2023,31(4):303-304.

上海交通大学医学院附属第九人民医院牙体牙髓科