“得了肝癌后,以为自己活不了多久了,尤其是化疗后没有什么改善,且毒副作用明显差点失去了治疗的信心。但真没有想到,通过介入治疗后,人也相对轻松,原有的肿瘤都坏死了,多次复查,也没有复发,现在感觉又充满了希望”!今年62岁的肖先生,看着自己的检查报告单,开心的说着。
肖先生,62岁,因“上腹部疼痛1周,加剧1天”,在当地医院就诊发现肝癌,但由于无手术指征,不能进行外科手术切除,于是选择了化疗,但化疗了6次后,病情并无明显改善,而且副作用明显,心力交瘁的肖先生一度对生活失去了信心。

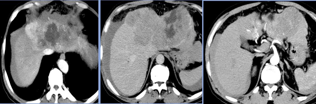
肝中、肝左静脉,门静脉左支受侵;诊断性腹腔穿刺,抽出不凝固血液 Child-pugh*级A**5分,AFP 914.10 ng/ml
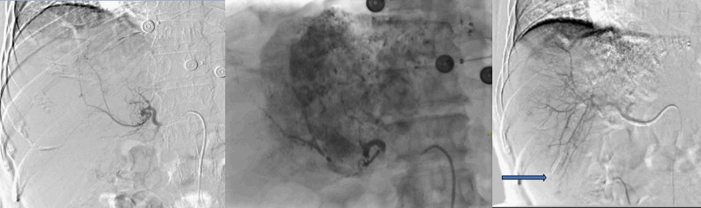
后来家属打听到有一种微创介入的方法,副作用相对较轻,可以治疗肝癌。为了寻求进一步的治疗,患者找到了唐田主任。入院后经会诊后,决定对肖先生采用介入综合治疗,也就是在影像设备的引导下,经左侧手臂肱动脉入路,将特制的导管、导丝等精密器械对体内肿瘤进行针对性的诊治。

肝左动脉供血 碘化油:20ml+THP:50mg栓塞微球(300um) 肝右叶子灶形成

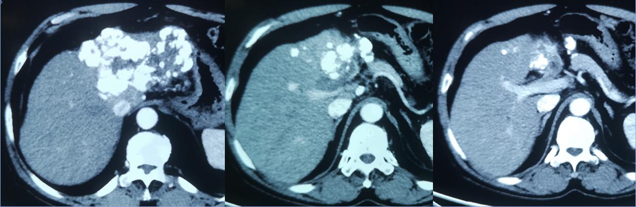
3个月后复查CT显示碘化油沉积效果好 AFP: 16.9ng/ml
最终,通过肝动脉栓塞化疗、消融、中医调理等,成功控制了肿瘤的生长,在随后的复查中,肿瘤逐渐减小,肖先生的生活质量明显改善。
什么是介入治疗?
介入治疗指的是临床医生在核磁、超声、X线等影像诊断的监视和引导下,将微小导管介入到患者肿瘤血管处并注入高浓度抗癌药物,能够杀死或饿死肿瘤细胞,也可以通过先进的氩氦冷冻技术冻死肿瘤细胞。

介入治疗的优势有哪些?
介入治疗是以高科技为基石且治疗以微创性为特点,目前临床将其和内科、外科并称为三大诊疗技术。与传统的治疗手段相比介入治疗的优势体现在四个方面。
1、创伤小:介入治疗可以避免传统外科手术开刀的风险,作为微创技术最后也只会在患处部位留下1-2mm左右的伤口。另外外科肿瘤切除手术后可能需要卧床休息三天后才能正常活动,而微创介入手术后半小时内即可起身活动,甚至短短八小时即可恢复到术前的水平,因为创伤小而不会影响患者日常的生活,特别适合年纪大或对手术不耐受的肿瘤患者。
2、针对性强:虽然介入治疗也是使用药物但却不同于内科的“吃药打针”,高浓度的抗肿瘤药物可以通过微小导管作用于局部的肿瘤组织,可以针对性的消灭肿瘤,也可以缩小肿瘤并为患者争取再次手术的机会。
3、副作用小:介入治疗可以有的放矢的消灭肿瘤组织,即使大剂量药物也不会对正常组织造成伤害,毒副作用低和并发症少是介入治疗的最大优势。
4、准确性高:介入治疗是在影像学的帮助下进行的,因此能准确的定位到患者的肿瘤部位且偏差小。
如果您想了解肿瘤相关问题需要咨询,可以通过后台私信。