文章转载自:深圳二院介入科
专家简介:杜端明,男,深圳市第二人民医院 (深圳大学第一附属医院)介入治疗科科主任,主任医师 ,教授,硕士研究生导师,北京大学医学博士。从事介入治疗临床工作20余年,成功完成介入手术数千例,取得良好效果,成功治疗的肝癌病例已生存长达8年多时间。率先在深圳市开展了颌面部血管瘤的无水酒精注射硬化治疗、糖尿病足的介入治疗、腹腔内囊性病变的微创造瘘治疗等多项介入治疗新技术。尤其擅长原发性肝癌、肺癌、宫颈癌的综合治疗,肝脏及肺部恶性肿瘤的动脉化疗栓塞术及热消融术,各种实体肿瘤氩氦刀冷冻消融治疗,恶性梗阻性黄疸的经皮肝穿刺胆道引流术,下肢动脉硬化闭塞症的血管成形术等各种肿瘤和血管性疾病的介入微创治疗。
容易发生转移是恶性肿瘤治疗的难点之一,比如肝癌容易发生肺、骨转移,结直肠癌容易发生肝转移,肺癌容易发生骨、脑、肾上腺转移,术后经过了放疗、化疗、甚至是靶向治疗,仍有很多复发转移的情况,让病人和医生都感到无奈。面对恶性肿瘤的“迁延反复”,广州复大肿瘤医院徐克成院长很早就提出了“与癌共存”的理念,并将其融入到肿瘤的多学科综合治疗之中,对不同病情的病人拟定相应的个体化治疗方案。
氩氦刀冷冻消融只是众多手段之一,它不仅能通过局部消融杀灭特殊部位的肿瘤病灶,还能激活自身的免疫功能对全身的肿瘤细胞进行捕杀。

以下介绍一例直肠癌术后多发转移的疑难病例多学科综合治疗成效:
患者5年前因直肠癌行外科手术切除,术后完成辅助化疗,3年间因多次复发再次行2次手术并辅以化疗,2016年开始中医药调理,今年3月再次发现腹壁转移,行放疗、动脉化疗栓塞后肿瘤进行性增大,遂求治于我科。
图为MRI显示腹壁上一高信号占位(也就是红色箭头所指发白的球体):

经我科讨论后邀请到三名工程徐克成院长及其团队协助会诊,最终决定针对腹壁转移瘤行氩氦刀冷冻消融术。
图示专家会诊:


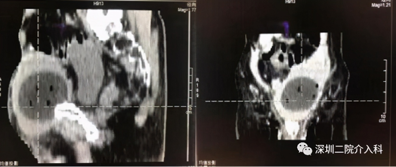
图示CT引导下,经过精密计算肿瘤大小及消融范围后,分别置入4根冷刀:


图示4根冷刀外观(患者全麻下无痛觉):

图示连接氩气氦气:

图示在数分钟内氩氦刀温度急剧下降至-150℃左右:

冷冻后进行复温彻底破坏靶区肿瘤组织,然后再次冷冻完成第2个循环巩固疗效。过程顺利。
图示复查CT见冰球范围内肿瘤组织彻底坏死:




术后患者恢复迅速,3天后即可出院。
汤钊猷院士曾说道:“癌症是长期内外失衡引起的内乱,是以局部细胞遗传特性改变为主要特征的全身性慢性疾病。”很多时候我们也许无法把癌症完全消灭掉,但至少我们能够做到与之和平共处,敌我不犯,或许这在某种程度上已经是一种胜利了吧?