#每日医聊#
岳阳汨罗的郑师傅是一名大货车司机。
一天路途中,货车的油箱坏了,急坏了的郑师傅就直接用嘴从油箱口吸取油箱内柴油。
一不小心柴油溜进了肺部,随后郑师傅出现高热、胸痛、呼吸困难。
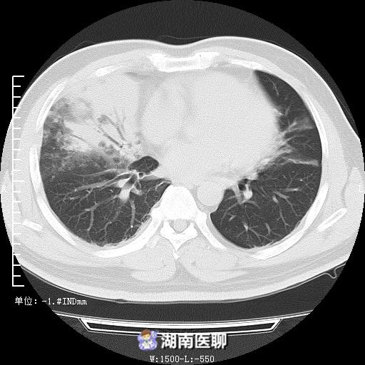
被紧急送往湖南省职业病防治院,检查显示血气提示氧分压59mmHg(正常值80 mmHg),肺部CT:双肺渗出病变及实变。

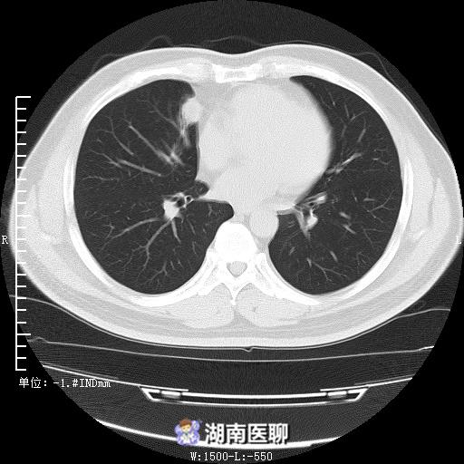
经过我们肺灌洗、抗感染等综合治疗,患者胸痛、呼吸困难症状逐渐缓解并治愈出院。

(起病时肺部CT)
湖南省职业病防治院中毒科赖燕主任医师介绍,柴油(汽油)是一种含烷烃、芳香烃、烯烃等组成的脂溶性有机溶剂,不溶于水,易挥发易燃。
@中毒科赖医生

(出院时肺部CT)
柴油(汽油)液体吸入呼吸道后进入血液循环,分布到各个器官,然后以原型很快从肺部呼出,对肺泡有直接烧灼刺激和腐蚀作用,造成肺泡充血、水肿、坏死。
从而临床表现咳血、胸痛、呼吸困难。
由于柴油(汽油)有很好的去脂作用,吸入高浓度柴油(汽油)蒸汽后能使细胞内脂平衡障碍,对中枢神经系统具有麻醉作用。
临床上表现头晕、头痛、步态不稳、 震颤、心悸、意识丧失等;柴油(汽油)进入消化道后可表现频繁呕吐、腹泻及胸骨后烧灼感。
所以告诫各位司机朋友,若在驾驶过程中发现油箱坏了,切不可用嘴去虹吸油箱,否则可能将柴油(汽油)吸入胃内或误吸肺内,造成消化道或肺部损伤,严重者危及生命。
(编辑Max。部分图片来源网络,仅供参考)
湖南医聊特约作者:湖南省职业病防治院 中毒科 黄春桃
关注@湖南医聊,获取更多健康科普资讯!