医脉通编译整理,未经授权请勿转载。
患者男性,74岁,因排尿困难就诊,你考虑什么诊断?

图1 患者下腹部X光片
1.骨肉瘤
2.骨软骨瘤
3.慢性前列腺炎
4.膀胱癌
5.膀胱结石
参考答案:膀胱结石
膀胱结石简介
膀胱结石通常与尿液潴留、复发性膀胱感染有关。由于人群饮食改善,感染得到控制,膀胱结石的发病率一直在下降,但在发展中国家的儿童中仍然很常见。
膀胱结石最常影响年龄50岁以上,因前列腺增生而导致膀胱出口梗阻的男性。肾结石患者并不容易出现膀胱结石。成人膀胱结石最常见的类型是尿酸结石;儿童膀胱结石最常由尿酸铵或草酸钙组成。慢性膀胱结石与膀胱鳞状细胞癌有关。
病因
膀胱出口梗阻是最常见的病因,在女性中,膀胱膨出、膀胱憩室均可导致膀胱结石。尿路感染、神经源性膀胱、血吸虫病、异物(如Foley导管)也可导致膀胱结石。大多数结石在膀胱内形成,在膀胱内自由活动,可单发也可多发。
临床表现
患者可无症状表现,也可有疼痛、尿频、排尿困难、排尿犹豫、末梢肉眼血尿等表现。患者常出现排尿突然停止,伴会阴疼痛,此为特征性表现。体检可发现患者耻骨上充盈。
影像学表现
膀胱结石是在空腔脏器(膀胱)中形成的,通常会有层状钙化,由严重钙化和基质材料的交替层组成。
膀胱结石首选常规的KUB(肾脏、输尿管和膀胱)X光片检查。在X光片上,尿酸和尿酸铵结石不透明。结石边缘呈锯齿状,类似“Jacks”游戏中的棋子,所以也称作“Jackstone结石”。

图2 Jackstone膀胱结石。骨盆X光片显示层状结石(黑色箭头显示稍致密的钙化层),膀胱软组织阴影内(白色箭头)有多个不规则边缘(红色箭头)。这些锯齿状边缘被认为是由于慢性出口梗阻,导致小梁形成,如良性前列腺增生(BPH)
目前,非增强螺旋CT在诊断尿路结石方面具有较高的敏感性,已在很大程度上取代静脉肾盂造影和膀胱造影。此外,膀胱镜检查也是确认膀胱结石最常用的检查方法。

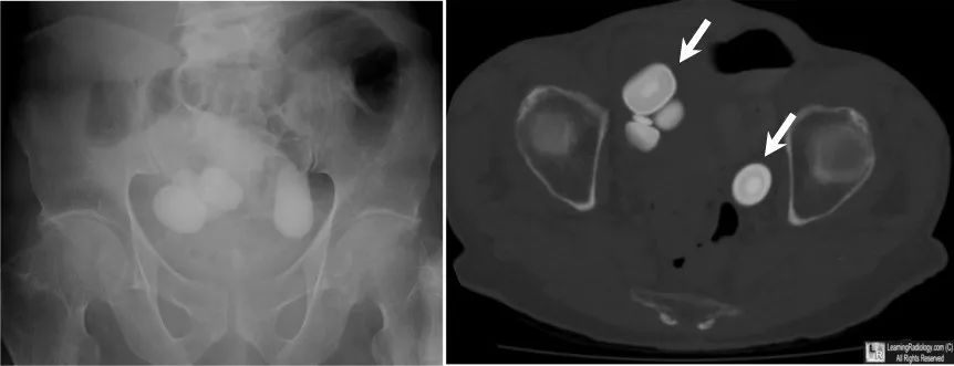
图3 膀胱结石。左图常规X光片,显示膀胱内几处非常大的椭圆形钙化灶。右图CT扫描骨窗,再次显示膀胱内多处大的层状钙化(白色箭头)
治疗
当出现急性尿潴留、肉眼血尿或复发性感染时,应采取干预措施。大多数结石可通过膀胱镜取出,包括使用碎石术碎裂结石,较大的结石可能需要耻骨上开放手术。
医脉通编译整理自:http://learningradiology.com