炎症性肌纤维母细胞瘤手术费 (炎症性肌纤维母细胞瘤需要放疗吗)

【定义和特征】

炎症性肌纤维母细胞瘤(inflammatory myofibroblastic tumor, IMT)是由分化的肌纤维母细胞性梭形细胞组成,常伴大量浆细胞和/或淋巴细胞浸润的一种间叶性肿瘤。其特征是肌成纤维梭形细胞增殖,浆细胞、淋巴细胞、嗜酸性粒细胞和组织细胞等炎性浸润。

病因不明。以往多认为是一种良性病变,曾被认为是炎性假瘤或浆细胞肉芽肿的同义词,或被认为是炎性纤维肉瘤的一种变体。但近年来诸多报道证明其具有侵袭生长、局部复发和转移的特点,并且发现约50%的患者存在ALK(anaplastic lymphoma kinase, 间变性淋巴瘤激酶)表达和基因重排,这更支持了IMT是一种真正意义的肿瘤。2002年WHO重命名,并归类为交界性,少数可复发甚至转移的真性肿瘤。

【部位】

可发生在几乎所有器官系统中,包括肺、肝、肠系膜系统、胃肠道、腹膜后、膀胱、上呼吸道、纵膈。最常见的部位是肺(浆细胞肉芽肿)。中枢神经系统IMT极其罕见。

【年龄】

可发生在任何年龄,最常见于儿童和年轻人。60%在40岁以下发病,首次发病时中位年龄36岁,最年轻的发病年龄为3个月(范围3个月-82岁)。无明显性别差异。

【临床表现】

取决于发病部位。起病多较隐匿,临床症状多由肿块本身及其压迫周围组织引起。另外可有发热、体重下降、疼痛、贫血、血小板增多、血沉加快等。临床症状与恶性肿瘤相似,但缺乏特异性,症状和体征往往在肿瘤切除后消失。

【诊断】

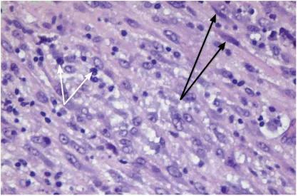
诊断以组织病理学诊断为主。显微镜下可见增生的肌纤维母细胞,并伴有不同程度的炎性细胞浸润,多为淋巴细胞、浆细胞浸润。肌纤维母细胞呈梭形, 可见核仁,核分裂数量较少,无不典型核分裂,胞浆染色呈嗜酸性,组织细胞有不同程度的异型性。

中间型肌纤维母细胞瘤,小孩炎症性肌纤维母细胞瘤

黑色箭头代表肌成纤维细胞(具有长细胞质突起的梭形细胞,是IMT的特征)。白色箭头表示浆细胞。

免疫组化染色均表达波形蛋白(Vim),Vim呈强阳性,常弥漫于梭形细胞胞质。此外,肌源性标记物平滑肌肌动蛋白(SMA)和特异性肌动蛋白(MSA)表达不一,常呈灶性或弥漫阳性。部分IMT局灶性表达CK,阳性率为33%-77%,这使得发生于实质脏器的IMT与梭形细胞癌很难鉴别。另有1/4的IMT表达CD68,36%-60%的病例表达ALK。有趣的是,有转移的病变似乎ALK多为阴性。

基因检测,约有50%含有ALK基因重排和ALK过度表达。与ALK基因融合的有TPM3和TPM4基因,少见的有CLTC、CARS、ATIC和RANBP2基因,不同的融合模式会导致免疫组化上ALK表达模式不同,有的弥漫表达,有的胞浆内颗粒状表达,有的膜表达,有的核表达。涉及其他激酶的基因融合也与炎性肌成纤维细胞瘤的发病机制有关,包括ROS1、PDGFRB和RET。

中间型肌纤维母细胞瘤,小孩炎症性肌纤维母细胞瘤

【治疗】

首选治疗是手术,手术切除对多数患者有效。尽早完整切除及长期随访至关重要。

而对于不能切除的病变,切除不彻底或者术后复发的患者: ① 选择皮质激素和非皮质类固醇抗炎药治疗,部分患者病情得到缓解,可以通过抑制 COX-2 酶及血管内皮细胞内的 VGEF 信号通路来抑制肿物增长。② 化疗治疗,给予阿霉素+长春新碱+环磷酰胺联合化疗,一些患者病情缓解。卡铂和紫杉醇在某些病例有效,但不适用于所有。③ 放射治疗,Alongi F 等认为对IMT术后患者进行 PET-CT 引导下放疗可降低复发率以及减少放疗带来的肺部并发症。④ 靶向药物治疗,对于 ALK 检测阳性患者,克唑替尼对于治疗具有积极的意义。另外因为 ALK 阴性的患者具有高转移率,ALK 阳性的 IMT 预后明显比 ALK 阴性的 IMT 患者预后更好。克唑替尼对于复发转移或者无法切除以及术前进行治疗的 IMT 患者具有重要的意义。