籽骨、副骨、永存性骨骺可发生于人体全身骨关节,而四肢关节最多见且最复杂, 加之对其分布认识的不足和临床经验的欠缺,平时工作中易误诊为撕脱骨折。有鉴于此,今天通过对一些案例的分析,初步归纳他们相互鉴别的要点。
分析对象
-
撕脱性骨折
-
籽骨
-
永存性骨骺
-
副骨
-
其他
病理生理与形成机制
撕脱性骨折
机理为起止于某些骨骼上的肌腱和(或)韧带由于肌肉的突然、快速、猛力的牵拉作用下造成的附着处小块骨骼的撕脱。

籽骨
籽骨是由肌腱骨化而成,有改变压力消除肌腱与骨面之间的摩擦、变换肌的牵引力方向加大肌及稳定关节的作用。


永存性骨骺
又称生理性骨块分离、椎缘骨、锥角离断体边缘骨等。在骨的生长发育过程中,当骺板发育到成熟阶段,其软骨的增殖和成骨活动停止,骺板因某些因素未被骨化,使骨干与干骺端融合障碍而形成。

副骨
副骨是由于某一块骨的多个骨化中心在发育过程中没有融合、以致形成多出一块或几块的小骨,也可以是由一个额外的骨化中心发育而来。

撕脱性骨折的影像学特征
-
具有典型的好发部位,如肱二头肌肌腱附着处撕脱引起的肱骨大结节撕脱骨折。
-
具有骨折的直接、间接征象,例如撕脱后的游离骨及所对应的受损骨,其骨皮质不连续或缺损,且其边缘锐利、清晰(CT更能清楚显示);MRI可示局部软组织肿胀、积液或积血等改变;最有利的证据是伤后一段时间,上述征象发生了如边缘骨质吸收、有骨硬化、骨痂生长、局部软组织肿胀消退等动态改变。
-
撕脱骨块脱离后位移方向与其损伤机制密切相关。
-
撕脱性骨折多病情急、病程比较短。
鉴别要点:
-
虽然撕脱性骨折与永存骨骺、籽骨和副骨在影像学上均有游离的小骨块影的表现,但前者具有骨折的影像学一般特征,而后三者不具有。
-
永存骨骺、籽骨和副骨的发生与其特有部位及典型特征紧密联系。
-
常见案例均具有骨块边缘钝圆、骨皮质连续、局部软组织无明显肿胀以及伤后该骨的连续摄片无明显变化等非撕脱性骨折的共同特点。
-
鉴别重点:独立的骨结构(游离骨)若与相对骨的缺损缘相吻合,是撕脱,如有外伤,更支持。
常见案例:
case1
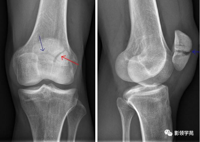
先天性髌骨畸形,有髌骨缺如、小髌骨、二分髌骨、三分髌等类型。髌骨是人体中最大的籽骨 ,在出生时完全为透明软骨构成 ,2~5 岁时出现骨化中心 ,17~18 岁骨化完成 ,髌骨一般只有一个骨化中心 ,但有时可以有一个或数个次级骨化中心 ,在 10~14 岁时出现,次级骨化中心一般在 15 岁左右即愈合。二分髌骨乃少年阶段髌骨发育异常 ,出现1 个或 2 个副骨化中心 ,常见于髌骨外侧髌骨上1/ 4、外1 /4, 且常呈双侧对称发生, 而发生在中部的, 分左右或上下贯通的较为少见,个别在骨发育成熟后仍不与主骨融合。

二分髌骨
二分髌骨常位于髌骨外上角
透亮线边缘略显宽而不锐利、不移位。
侧位见透亮线位于髌骨后缘不是前缘(一般骨折多在前缘)。

髌骨骨折, 根据外伤史、局部压痛、髌骨异常活动、骨擦音及x 线辅助检查, 较易鉴别。
临床上应注意:
1、临床仔细查体, 触摸髌骨是否有裂隙, 有无异常活动及骨擦音;
2、清晰的高质量的x 线片是关键, 观察髌骨间的裂隙是否光滑、整齐、骨质是否完整, 必要时还应摄对侧x线片对比或者行CT扫描加以确诊。
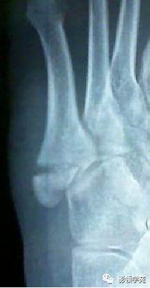
case2
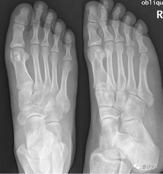
男 26岁 外伤,X线诊断第5跖骨基底部骨折,未排右足骰骨撕脱骨折




三角骨
-
三角骨是常见的变异,也被误称为距骨副骨。呈三角形, 与距骨后缘相切,三角骨与距骨后突外侧结节腓侧隐窝相对应。
-
三角骨可以成对存在,还可以与外侧结节融合,形成单一的突起,并可与距骨融合或形成关节。
-
三角骨与其它副骨一样,可妨碍足的运动,同时本身亦可受外界影响发生无菌性坏死。

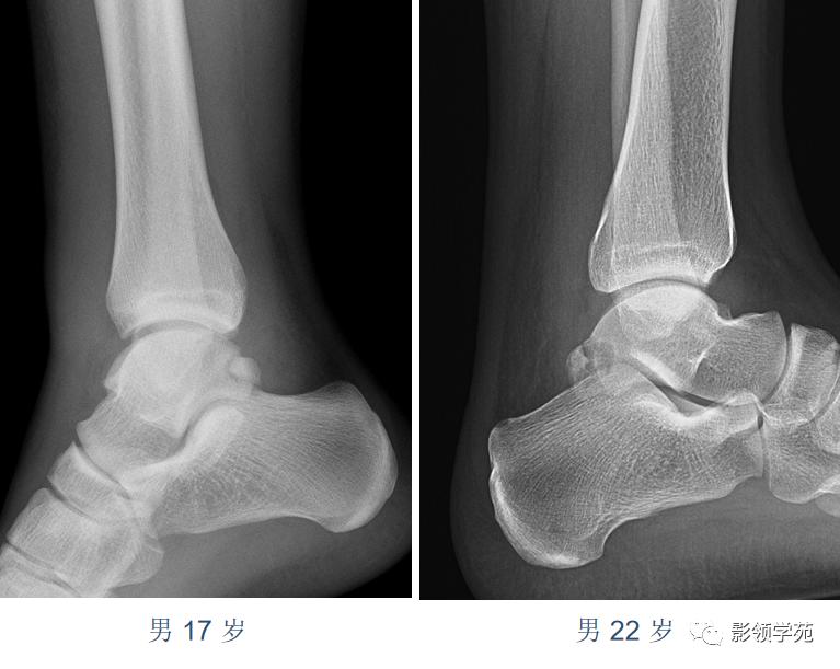
正常变异:距骨三角骨














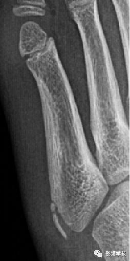
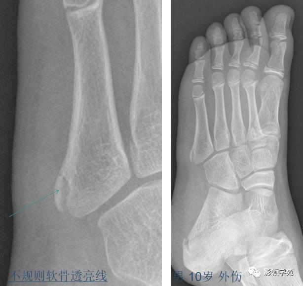
第五跖骨粗隆
第五跖骨基底部骨折,常为横行骨折,即骨折线垂直于跖骨骨干,它是由于腓侧短肌肌腱应力所引起的撕脱骨折,也称“JONES骨折”。该骨折应与第五跖骨粗隆突起鉴别,尤其是9-15岁的儿童,常常可以出现第五跖骨基底部的骨骺,常表现为纵行透亮线,骨片边缘一般规则光滑,周围软组织无明显肿胀。

第五跖骨粗隆存在独立的骨化中心,并且可有一个或多个骨化中心,常见于10~15岁儿童。一般25岁左右与第五跖骨其余部分融合。

我们所常见的第五跖骨基底部骨折的骨折线一般都是垂直于长轴的,平行于第五跖骨长轴的骨折非常罕见。从外力方向、方式来发现,很难使第五跖骨基底部发生纵形骨折,而该处确实存在骨骺,大量的误诊就是把骨骺当骨折。

常见变异



其他常见变异





总结与鉴别要点
籽骨、副骨与永存骨骺一般边缘光滑, 周围皮质密度较高, 皮质光整, 附近骨质结构完整, 具有对称性, X线随诊形态及位置不会发生改变, 一般不会引起疼痛。但个别患者由于一些局部肌肉的扭伤而引起副骨的移位, 或由于机械外力的作用使副骨摩擦软组织导致滑囊炎和肌腱炎, 甚至由于长期慢性磨损可与附近正常骨质形成假关节从而产生创伤性关节炎可引起疼痛。而骨折一般具有明确的外伤史, 附近软组织肿胀明显, 疼痛症状明显, 断端锐利, 皮质断裂, 不具有对称性, X 线随诊形态及位置可发生移位。而籽骨、副骨与永存骨骺本身也可在外伤的情况下发生骨折, 但极罕见。
总之, 人体四肢关节易误诊的籽骨与副骨具有一定的好发部位及X线特征。全面了解对于降低临床误诊率有重要的意义。
鉴别重点:独立的骨结构(游离骨)若与相对骨的缺损缘相吻合,是撕脱,如有外伤,更支持。
来源:影领学苑
【版权声明】本平台属公益学习平台,转载系出于传递更多学习信息之目的,且已标明作者和出处,如不希望被传播的老师可与我们联系删除