最近一段时间,后台私信很多朋友都在询问关于孩子脊柱侧弯的事儿。比如下图这位朋友,觉得女儿弯腰驼背,担心是脊柱侧弯,但是又不是很确定,不知道下一步该怎么办。

除此之外,还有很多朋友,是已经去医院看了的,而且确诊孩子有脊柱侧弯,但是轻重不一,有的医生要观察,有的建议戴支具,还有的直接建议尽快手术。家长们一边摸不着头脑,不知道到底什么样的可以观察,什么样的必须手术,另一方面也很担心自己的孩子的未来。
所以,今天我想就先简单说一下,如果我们怀疑自己的孩子有脊柱侧弯该怎么办?以及,如果真的确诊脊柱侧弯了,大致该怎么治疗。以后有时间,我还会较为详细的介绍下到底什么样的情况可以保守治疗,什么样的就必须手术,以及何时手术最佳。
1、什么是脊柱侧弯?
脊柱侧弯,我们骨科医生更习惯叫脊柱侧凸,其实就是指:
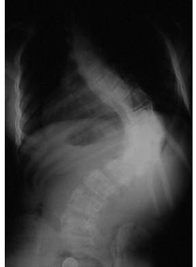
我们背后正中间,原本应该笔直的脊柱,变的向一侧弯曲突出,而呈现出类似字母“C”或“S”型。这种改变可以是比较轻微的,也可以是非常明显的(如下图)。

实际上,脊柱侧弯的改变不仅仅是笔直的脊柱变弯了,脊柱里面的骨头之间还会发生异常的旋转,像拧毛巾一样,这就使得脊柱侧弯患者除了脊柱不笔直外,整个背部都是不平整的,所以你会发现脊柱侧弯患者的背部往往都是一侧比另一侧更为突起。
很多人都会好奇,为什么我的孩子好端端的会脊柱侧弯呢?实际上,的确有部分脊柱侧弯是和遗传、出生缺陷、基础疾病及外伤有一定关系,但很大一部分脊柱侧弯发生的病因如今仍不清楚。而且,未成年人的脊柱侧弯可以发生在孩子的任何阶段,从婴幼儿期到青春期都有可能出现。
而比较麻烦的一点是:脊柱侧弯本身在刚开始时,几乎不会引起孩子的任何不适,加上孩子们都贪玩不懂事儿,所以往往很容易被忽视掉,需要家长们细心观察,因此我们家长很有必要学会如何辨别脊柱侧弯。
2、如何识别孩子有没有脊柱侧弯
正如前文所说,脊柱侧弯会导致孩子的后背变得不那么笔直,且有高低不平的视觉感。因此,作为家长,我们平时可以专门的去观察下,比如有没有以下几种情况:
(1)一边的肩胛骨显得比另一边突出;
(2)一边的肩膀,肩胛骨,大胯或乳房高于另一边;
(3)一遍的腰部有明显的皮褶(如下图)。

具体的实施办法是:
让孩子自然站立,背向父母,父母观察孩子的肩膀、肩胛骨、骨盆等各个突起部位是不是两侧对称,看看有没有不对称的地方,如果有就得小心了。
而后让孩子站立做体前屈,弯腰低头双手垂下,弓出后背。父母在后面仔细观察弓起的腰背部是不是对称的,有没有一边高起来。如果有,就得小心了。
3、怀疑孩子有脊柱侧弯,怎么办?
非常简单,只要有任何异常,不要犹豫直接逮孩子到正规医院的骨科就诊。越早发现,越早干预,治疗越简单,效果也就越好。
当然,我相信大部分父母非常关心,到了医院后医生会怎么做,我就简单也介绍下。
(1)检查,明确有没有侧弯,以及侧弯有多严重。
是的,正规专业医生一定不会上来就说怎么治,因为不同的病情、不同的严重程度、甚至不同的畸形细节,都决定了完全不同的治疗效果。因此,医生一定会在接诊孩子后,做诸如脊柱全长X光片检查、磁共振检查等各项评估,以确诊孩子有没有脊柱侧弯,以及侧弯到底是什么类型的,有多严重。这样,才能谈后面的治疗。
(2)治疗方案,主要取决畸形的严重程度,还有孩子的年龄生长情况。
我们评估侧弯有多严重,有个专门的测量方法,即Cobb角,这是在X光片上可以测量出的,如下图。这个角度越大,意味着脊柱侧弯的角度越大,畸形越严重,病情也越复杂。

比如,一般如果cobb角度超过50度,那么即便是再小的孩子,也需要尽快手术矫正。而一般对于角度在20-40度左右的孩子,可以考虑根据年轻酌情选择佩戴支具矫正。而20度以下,尤其是不到10度的侧弯,大多可以密切观察。
关于治疗的选择细节,我也将在后面的文章中继续发布,欢迎大家持续关注。