

从照片看首先考虑幼年黄色肉芽肿。
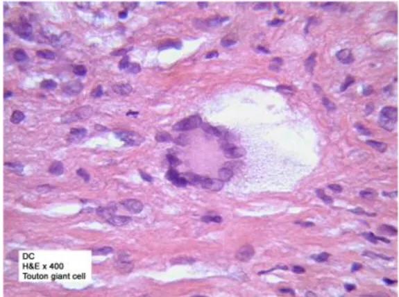
要明确诊断,需要进行组织病理检查!组织病理切片呈现出典型的组织学改变。见图。

幼年黄色肉芽肿是什么样的?
通常表现为光滑的、粉红色、或棕色或黄色的肿物,大小不一。多数人只有一个病变,约20%的病例有多个病变。

大多数病变在头颈部,在躯干上少见。个别人也会出现在其它器官中,眼睛是最常见的地方。
这个病主要出现在婴儿期或儿童期,但可以出现在任何年龄!因此去掉幼儿,称黄色肉芽肿。
这个病男性多于女性。
除皮肤外,眼睛也会有,需要眼科检查。眼睛累及多见于2岁以下多发皮肤疹子的儿童,非常罕见!
是什么原因导致幼年黄色肉芽肿?
原因不明。可以非特异的损伤导致组织细胞增多。
幼年黄色肉芽肿还会发生其他问题吗?
极少数与1型神经纤维瘤病或慢性粒细胞性白血病有关。
眼睛虹膜上的病变可导致出血、青光眼、弱视。
如何诊断?
通常根据外观可以诊断,不需要进行检查!如确诊,则需活检,组织病理学检查。
如何治疗?
病变通常在数年内自发消退!除非眼睛受累,否则不需要治疗。
这个病预后如何?
这个病会自发消退,并且不会复发!也没有任何进一步的并发症。
如果眼睛有皮疹,疹子不会自发消退,需积极治疗。有可能继发性青光眼、弱视或失明。