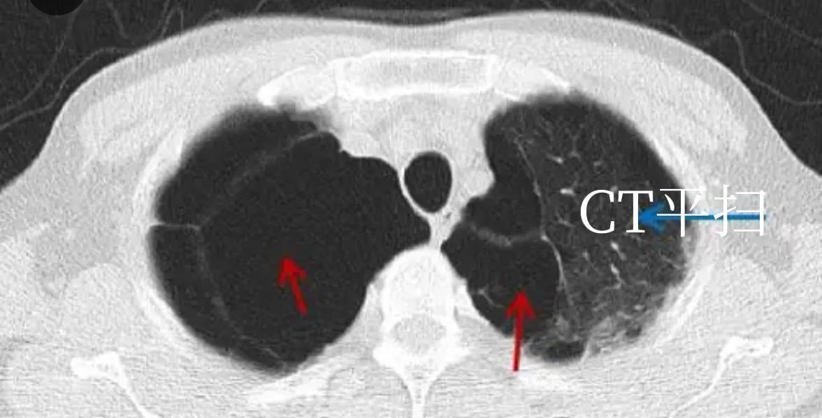
肺大泡常见于青年(先天性发育异常)和老年人(继发性肺部病变)中, 少年因气胸发作时 CT 发现肺大泡。老年人(吸烟者 主)及部分粉尘从业人员因体检发现。肺大泡严重者大多有呼吸困难等症状。胸腔镜微创手术,是最佳选择。薄层 CT 能够很好区别肺大泡和气胸。#创作#













肺大泡常见于青年(先天性发育异常)和老年人(继发性肺部病变)中, 少年因气胸发作时 CT 发现肺大泡。老年人(吸烟者 主)及部分粉尘从业人员因体检发现。肺大泡严重者大多有呼吸困难等症状。胸腔镜微创手术,是最佳选择。薄层 CT 能够很好区别肺大泡和气胸。#创作#












