前列腺囊肿分为先天性和后天性两类,先天性前列腺囊肿包括苗勒管囊肿和真性前列腺囊肿,后天前列腺囊肿包括炎症性前列腺囊肿、寄生虫性前列腺囊肿和前列腺癌退行性变形成的囊肿。
苗勒管囊肿是因胚胎时期中肾管残留在前列腺中形成前列腺小室贮积分泌物而形成,真性前列腺囊肿其发生原因是由于胚胎发育期间腺体生长受到阻碍,引起前列腺导管狭窄,造成管腔阻塞,内容物逐渐潴留而成。炎性囊肿是由于慢性前列腺炎症引起结缔组织增生,造成前列腺导管狭窄,分泌物潴留形成囊肿。寄生虫性囊肿主要由于寄生虫原因使得前列腺管及周围组织慢性炎症,出现肉芽肿增生,逐渐形成囊肿。

临床表现
一般小的前列腺囊肿无症状,较大的囊肿伴压迫尿道则引起排尿困难,出现排尿时间延长,排尿淋漓不净,严重者可引起尿潴留。若压迫射精管,可导致精道梗阻,造成男子不育症的发生。
超声表现
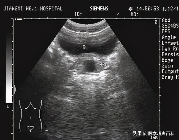
前列腺大小无改变或变化不大;包膜清晰、完整,左右对称;前列腺内见无回声区,壁较薄,后方回声增强,大小不等,可位于前列腺内部,也可位于前列腺包膜上,先天性多位于后叶,后天性囊肿可位于前列腺任何部位,前列腺囊肿较大时可突入膀胱内。前列腺囊肿可与前列腺炎、前列腺增生、前列腺结石同时存在。经直肠前列腺超声可提高诊断率。
苗勒管囊肿:超声声像图表现为前列腺基底部、尿道后上方中线处扫及囊性病灶,形态规则呈圆形、椭圆形或水滴状,囊壁光滑,囊内无分隔,边界清楚,透声性良好或后方回声增强,未见精囊和输精管扩张及其相关征象。
射精管囊肿:属于后天性前列腺囊肿,超声声像图表现为前列腺中央出现泪滴样或椭圆形的无回声结构,一侧与同侧精囊相连,另一侧延伸至精阜。纵切面表现为囊肿尖端指向精阜的倒置泪滴状,囊肿与后尿道之间存在前列腺组织,底部与精囊腺相连。横切面呈圆形。精囊增大,长泾大于15mm。
治疗
囊肿小、无症状的患者可不必治疗,继续观察即可;
囊肿较大,有症状的患者则需适当治疗,治疗方式有手术、电切、穿刺注射硬化剂等。
最终的治疗方案医生会结合患者的年龄、临床症状、囊肿大小、囊肿部位等综合决定。
对于未婚未育者,医生可能会倾向保守治疗为主,避免影像性功能或生育功能。
对于有生育要求的、射精管梗阻性前列腺囊肿引起的无精子症患者,经尿道射精管切开术是首选的治疗方法。术后约百分之五十患者精液内可发现精子,约百分之十的患者配偶怀孕。
对于囊肿突向尿道或膀胱引起尿道受压时,可进行经尿道囊肿去顶术来治疗。