点击上方蓝色小字↑↑↑ ------ “ 干细胞者说 ”,选关注,即可订阅本科普号。本刊号部分资料来自网络。
人生小哲理 干细胞者说
前路漫漫,我们一直在路上。干细胞行业一定会牢记那些披荆斩棘,为了人类医疗健康不轻言放弃的人们。
---致所有迷茫的小伙伴
正文
研究人员发现只有从肺 部支气管来源的成体干细胞才具有再生肺脏的功能。而其它部位来源的干细胞,无论是上皮组织干细胞还是间充质干细胞,都不具备再生肺组织的功能。
肺、心、肝、肾等人体大型器官损伤后的再生修复一直是现代生物医学的重要难题。统计数据表明,肺部损伤性疾病在导致人类死亡原因中排名第三位。中国每年有数以千万计的肺部疾病患者忍受着巨大的痛苦,甚至受到严重的死亡威胁,而传统的药物或手术治疗的疗效和安全性并不令人满意。干细胞,或许是这些患者的最后希望。
国家重点研发计划干细胞项目首席科学家、同济大学左为教授团队近日发表了题为“Regenerationof functional alveoli by adult human SOX9+ airway basal cell transplantation” 的研究论文,在国际上率先报导了利用成年人体肺干细胞培养和移植技术再生肺脏的突破性工作。该成果以封面文章的形式发表在最新一期的Protein & Cell杂志上。在同期配发的评论文章(highlight)中,美国德州医学中心的Jun Wu助理教授和中国科学院生物物理研究所刘光慧研究员对这一成果给予了积极的评价:“该项研究所展示的基础及临床数据具有重大的价值,展现出了再生医学令人激动的前景”。

事实上,早在三年前,左为与美国教授Frank McKeon一起工作时,就已在小鼠肺内发现了p63+/Krt5+的成体干细胞具有再生肺脏的潜能。
其部分成果发表在Nature期刊上,引起了业界的震动【1】(下图)。2015年以青年“千人计划”身份回国到同济大学任职后,左为带领的课题组改变方向,专注于鉴定寻找人类肺干细胞的工作。按他的说法是“小鼠和人肺脏的结构及发育过程差别非常大,只有直接研究人体才能接近真相并最终解决疾病问题”。

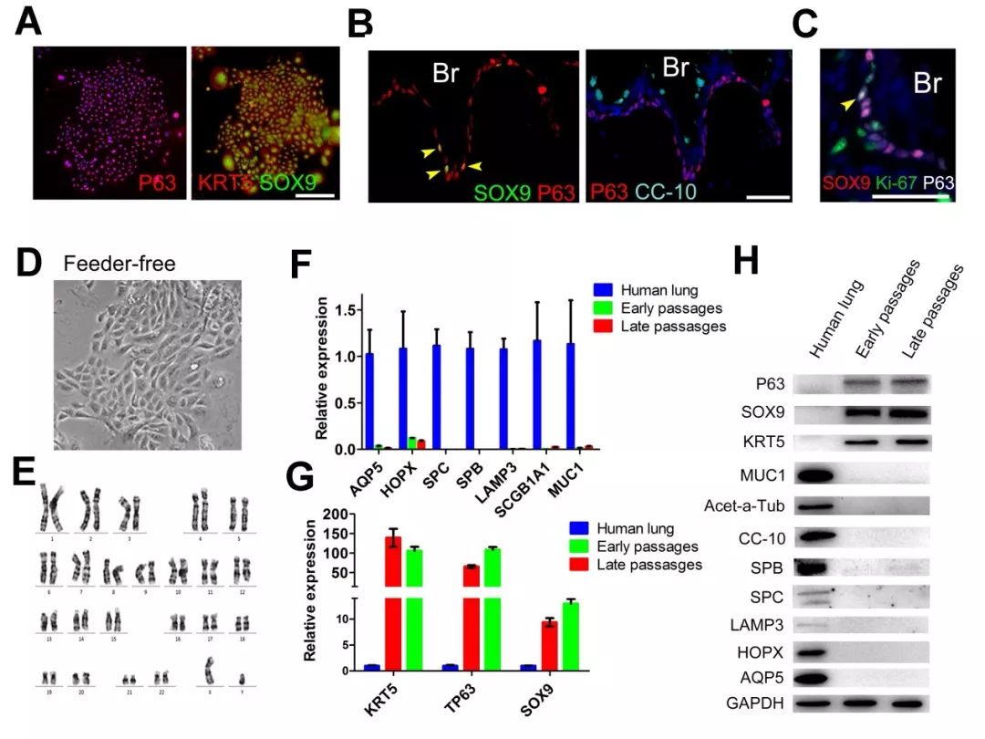
功夫不负有心人,经过持续不断地探索,左为团队终于在肺部支气管上皮的凹陷皱褶位置,发现了零星的SOX9+标记的基底层细胞(SOX9+ Basal Cell, BC)具有肺干细胞的潜能。通过与时任上海市东方医院呼吸科任涛教授合作,他们运用支气管镜刷检的方法,从微量的成人活体样本中尝试分离扩增这类肺干细胞(下图)。每一次刷检取得的细胞中,大约有0.2%的细胞是肺干细胞。经过不断尝试,最终建立起一套完善的体系,可以从少至单个干细胞起始,对细胞进行大规模克隆样扩增。扩增多个代次之后的干细胞依然保持遗传性状和分子表型的稳定。

从此之后,无论针对健康人还是肺病患者,都可以运用这套功能强大稳定的系统对其肺干细胞进行分离扩增。该论文的共同第一作者、斯坦福大学海归马煜博士还亲手培养了自己的肺干细胞。

SOX9+标记的基底层细胞的培养与分析
为了检验肺干细胞再生肺组织的能力,左为团队将肺病患者的肺干细胞标记上GFP荧光之后,经气管移植到免疫缺陷小鼠受损的肺内。移植之后三周,可以看到人的肺干细胞大面积整合到小鼠的肺内,形成了“人-鼠嵌合肺”。进一步的组织学分析表明,干细胞移植成功地在小鼠肺内再生出了人的支气管和肺泡结构。更重要的是,人的肺泡周围还募集了小鼠的毛细血管。通过纳米金追踪技术显示,这些新生的肺泡和毛细血管是有功能的。接受干细胞移植之后的小鼠肺内纤维化损伤区域被新生的人体肺泡替代。动脉血气分析表明小鼠的肺功能也得到了恢复。

值得一提的是,研究人员发现只有从肺部支气管来源的成体干细胞才具有再生肺脏的功能。而其它部位来源的干细胞,无论是上皮组织干细胞还是间充质干细胞,都不具备再生肺组织的功能。由此可见,成体干细胞在组织再生功能方面,是非常“专一”的。此外,研究人员还发现如果将一种临床上抗肺纤维化的药吡菲尼酮与肺干细胞一起应用到动物身上,可以进一步提升移植效率——这一过程与TGFβ/Smad信号转导通路有密切关联。
一系列动物试验的成功引起了呼吸科医生和肺病患者的密切关注,他们迫切希望将这一新的肺干细胞移植与再生技术用到临床上。经过前期对细胞生产制备工艺流程的充分验证和动物试验数据的长期观察,左为团队联合解放军陆军军医大学附属西南医院呼吸科和吉美瑞生公司递交了开展自体支气管基底层细胞(肺干细胞)移植治疗支气管扩张的临床研究申请。经医院学术和伦理专家委员会审议修改后通过,于2016年3月启动了第一批患者入组。从而正式启动了世界首个基于干细胞的肺脏再生临床试验。
支气管扩张是肺部结构的一种永久性损伤,其病因主要是气道细胞受损导致支气管结构的塌陷扩张变形。该论文中描述的两位支气管扩张患者是最早接受自体肺干细胞移植的,距论文发表已有超过一年半的时间。移植一年之后两位患者均自述咳嗽、咳痰和气喘等症状出现改善。CT影像学显示其中一位患者的支气管扩张结构一年之后呈现局部修复情况(下图)。肺功能检测提示移植干细胞一个月之后肺功能并未好转,而三个月之后各项肺功能即开始出现好转并保持到一年之后。具体主持临床研究的西南医院戴晓天教授介绍:“总体来看,这次干细胞移植效果是很成功的。作为全球首例探索,一开始我们心里也有点担心,毕竟没有前人经验可以参考。现在临床效果能观察到,病人和我们医生都很开心。当然,我们后续还要继续扩大样本量,增加对照组,进行长期持续的观察。”

此项治疗的安全性和有效性很大程度上都是取决于细胞本身。“细胞质量就是生命,我们目前是按照中国CFDA的标准加上美国FDA标准来严格执行质量管理”,临床级肺干细胞质量管理负责人王立峰介绍到。在加入团队之前,王立峰曾是药明康德与美国Juno合资CAR-T项目的质量部负责人。如今移植到肺病患者人体的所有细胞均需经他签字方可放行。
据悉,该论文成果由同济大学附属上海市肺科医院、解放军陆军军医大学、浙江省江南干细胞研究院、上海交通大学医学院附属第六人民医院和吉美瑞生公司的科研团队合作完成。此外据了解,左为教授团队目前已与多家干细胞备案医疗机构开展多中心合作研究,其中包括北京协和医院、上海瑞金医院、上海东方医院和广州医科大学附属医院等,同时还引入了第三方合同研究组织(CRO)。包括呼吸病学泰斗钟南山院士在内的专家对此项目的深入开展寄予了厚望。此外,由江西省政府批准建设的江南干细胞与再生医学资源库也有望在年内投入使用。截止目前团队总共开展了超过80例临床干细胞移植,涉及支气管扩张、慢阻肺和间质性肺病等不同的病种,并计划在2018年内启动细胞治疗产品新药申报(IND)流程。
我们欣喜地看到,中国的肺脏再生技术已经走到了世界的最前列。
参考文献:
1、Zuo, W., Zhang, T., Wu, D. Z. A., Guan, S. P., Liew, A. A., Yamamoto, Y., ... & McKeon, F. (2015). p63+ Krt5+ distal airway stem cells are essential for lung regeneration.Nature, 517(7536), 616.