43岁的赵先生平时工作很忙,饮食作息都极不规律,半年前赵先生开始感到排尿困难,甚至排尿时还有疼痛的感觉,但是当时情况并不严重,所以赵先生并没有过于重视,只是去当地的诊所开了些消炎药。
但是最近赵先生感到 体力不支、尿液不正常且排尿越来越困难,同时还伴随着剧痛 。于是连忙去医院检查,医生看着检查报告告诉赵先生,他这可能是尿道结石,严重者可能会出现 绞痛、剧烈疼痛 等情况。

前几天赵先生听从当地医生的建议来找我治疗,我告诉他可以通过手术的方法将尿道中的结石取出来,但是可能会有一些风险,甚至对其他方面也会产生一些副作用, 例如对肾脏功能的损害。 除了手术的方法之外,还可以通过一些排石的药物来进行保守的治疗,如排石颗粒等。
赵先生很疑惑,排石颗粒能够排掉体内的结石吗?对于常年反复出现的泌尿系结石,吃排石颗粒有没有作用,能起到多大的作用?
一、泌尿系结石及排石颗粒的概况
(一)泌尿系结石
泌尿系结石又称 尿道结石 ,它也是现在泌尿外科中的常见的一种结石疾病,结石常出现在 尿道、肾和膀胱 等几个部位中,会造成患者排尿困难,疼痛以及点滴形状的排尿。而且患有泌尿系结石的男性患者要多于女性,这种疾病不难治疗,一般都可以治愈,但是在治愈后复发的几率比较大。
(二)排石颗粒

排石颗粒是一种可以应对 泌尿系结石 的药物,相较于通过手术的方法取出结石,大部分的结石患者更倾向于选择服用排石颗粒使体内的结石自动排出的方法。
排石颗粒 是一种处方药,虽然其副作用比较小,但是它与其他的药物一同服用也可能会产生药物之间的相互作用,所以需要在医生的指导下购买与服用。同时,排石颗粒的作用是比较广泛的,它除了可以利水通淋外,还具有缓解因泌尿系结石引起的疼痛、点滴状排尿以及排尿时出现绞痛的病症。排石颗粒由 徐长卿、滑石、连钱草 等成分组成,是一种浅黄色或者是棕褐色的颗粒,会有微苦的气味,如果发现排石颗粒与以上情况出现偏差,则不要轻易服用。
通过服用排石颗粒可以知道其对泌尿系结石有一些治疗作用,那它对泌尿系结石究竟有什么作用呢?又是怎么起到作用的?排石颗粒的作用机理又是什么。
二、排石颗粒对泌尿系结石的作用

排石颗粒是一种中成药,它的成分包括连钱草、石伟、甘草等中药,具有非常好的 利水通淋、清热解毒、通络止痛以及通淋排石 的功效,对于多个类型的结石具有很好的治疗效果,例如对泌尿系结石和肾脏结石等的治疗。那么,排石颗粒又是怎么起到作用的呢?
(一)排石颗粒对泌尿系结石的基本功效
排石颗粒是常用的排石类药物,它的成分组成都有利于促进体内结石的排出,能够排出小一些的泌尿系结石,也能够起到软化结石、分解体内结石,从而排出体内结石的功效。所以,常年反复的泌尿系结石通过服用结石颗粒具有一定的治疗作用。
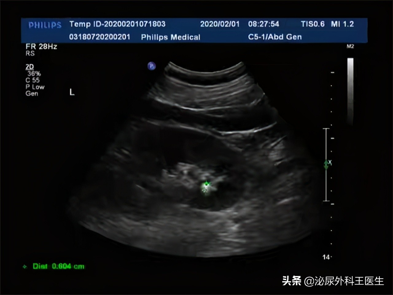
服用排石颗粒来治疗泌尿系结石虽然有用,但这是属于一种比较保守的治疗手段,对于 小于0.6厘米 的结石服用结石颗粒可以对输尿管进行局部的扩张,从而起到促进软化排出的作用,但是如果尿道内的结石大于0.6厘米,排石颗粒这种方法可能会过于温和,疗效不明显,需要辅助医生的碎石的方法。

(二)排石颗粒的排石原理
1.减少结石的产生
排石颗粒能够起到软化结石并且溶解结石的作用,它也可以溶解尿盐结晶,抑制体内结石的形成,从而减少体内的结石产生。
2.通过利尿排出结石
排石颗粒具有很好的利尿通淋的功效,小结石能够随着尿液一块排出去,而排石颗粒也能够促进体内尿液的增加,所以可以将人体内的小结石冲刷出去,因而排石颗粒的利尿作用可以促进结石的排出。
3.排石颗粒能够促进输尿管的蠕动
(三)泌尿系结石中适合服用排石颗粒的情况
虽然很多患者倾向于选择使用排石颗粒,但是排石颗粒并不是万能的,它只适用于一些比较小的尿道结石,而对于过大的结石则无法通过服用排石颗粒自行排出。那么,什么样的结石可以选择服用排石颗粒呢?

1.比较小的结石 。排石颗粒可以排出直径小于0.6厘米的结石,而对于大于0.6厘米的结石需要通过手术的措施取出。
2.结石的表面比较的光滑 。表面粗糙的结石在体内排出时受到的阻力较大,不利于排出,所以想通过服用结石颗粒排出结石的话,结石的表面最好是比较光滑平坦的。
3.患结石的时间较短 。刚开始患结石时病情比较轻,没有引起尿道的整个堵塞,所以能够自行排出,但是如果患病时间较长,结石堵塞尿道则服用药物无效。
三、泌尿系结石的治疗建议
对于常年反复的泌尿系结石除了通过手术取出结石以及服用排石颗粒使其自动排出体外等医学手段之外。 还可以通过多喝水,结石患者饮用大量的水,增加体内的尿液,从而起到冲刷结石,使其排出体外的作用 。

总之,虽然服用排石颗粒对于常年反复的泌尿系结石有一定的治疗作用,也是目前临床医学上比较常用的一种排石药物,但是也不能盲目的服用排石颗粒, 要在充分了解排石颗粒的副作用以及不可服用的人群的情况下再决定是否服用 ,例如对排石颗粒内的组成成分过敏的患者、患有胃部疾病以及孕妇这几类人群不可以吃排石颗粒。
当检查患有泌尿系结石后,要及时就医,遵从医嘱,对于是否服用排石颗粒以及应怎么服用排石颗粒需要在医生的指导下科学的、正规的服用。除了上述医疗手段外,还可以通过多喝水以及多锻炼冲刷排出体内的结石。