【导读】今天上午,我们用微创手术为一例重度桶状胸患者实施了治疗,手术通过两个2.5cm的小切口完成,术中置入三条钢板,不使用胸腔镜,不进入胸腔,不插任何管道(包括气管插管)和尿管,手术历时一小时完成。

今天(2018年6月6日)上午,我们为一例重度桶状胸患者实施了微创手术。患者男,28岁,因发现胸壁前突20年入院。患者儿时胸部未见明显异常,读小学开始,逐渐发现胸壁前突,青春期加重,并逐渐成桶状。2年前,患者被查出“红斑狼疮”,开始服用激素等药物,此后体重逐渐增加。身体其他部位逐渐较肥胖,胸部外表桶状胸外观加重。由于胸壁外观异常,患者有严重的心理负担,渴望手术治疗。患者于昨天入院,经充分术前准备,今天上午实施手术治疗。
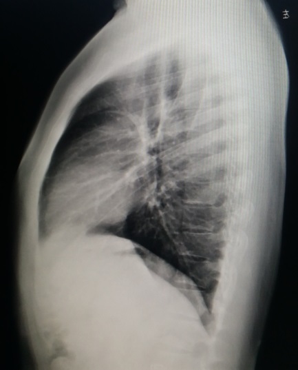
患者入院后,体检发现,其身体较为肥胖,胸廓整体外观为桶状,体表脂肪较多,但前胸壁骨性结构明显前突(图1,2,3)。X线检查,正位片提示肋间隙宽度正常,肺野肺纹理正常,无肺气肿征象(图4),侧位片提示前胸壁整体前突(图5)。行CT检查,胸廓整体呈现桶状,胸壁前后径增加,截面外观接近圆形,肺野无异常(图6)。胸廓顶部桶状不明显(图7),但从心底部水平开始(图8),前胸壁前突逐渐加重,一直延续到肋弓水平(图9,10)。三维重建显示桶状外观(图11,12)。
图1,前胸壁整体前突。
图2,胸壁前后径明显增宽.
图3,外观呈桶状。

图4,X线正位片未见明显异常。

图5,X线侧位片提示桶状胸。

图6,CT截面图,胸廓呈圆形,肺野无异常。

图7,胸廓顶部前后径增加不明显。

图8,心底水平前胸壁前突明显。

图9,胸廓中部前胸壁前突明显。

图10,胸壁于肋弓水平依然前突。

图11,三维重建显示桶状外观。

图12,胸廓整体呈桶状胸改变。
今天的手术在全麻下完成。麻醉成功后,平卧位,于侧胸壁做切口,切口长3cm(图13)。分离切口内的软组织,与切口肋显露相关肋骨,置放6条固定钢丝导线,做3条隧道,将3条钢板放入做塑形(图14)。经反复调整相关材料和结构后,妥善固定钢板,以软组织包埋钢板及钢丝,缝合皮肤,手术结束。术后畸形完全消失,胸廓恢复正常结构(图15,16)。
图13,只用两个小切口,切口长2cm。

图14,术中使用3条钢板。
图15,术后畸形消失,胸廓外表恢复正常。
图16,前后径明显缩短,畸形消失。
桶状胸是胸壁整体前突畸形。由于范围涉及整个前胸壁,致使外观呈桶状而得名。临床上桶状胸多继发于慢性肺部疾病,是一种代偿性结构改变。但是,一些青少年患者同样可能患此种畸形。这类患者肺部一般没有任何病理改变,其主要的危害来自外表,患者多对胸壁过度前突不满意,因此治疗愿望强烈。
但是,到目前为止,国内国际上没有任何其他医生做过桶状胸的矫形手术,这使得大量患者得不到治疗,很多人因此而患上心理疾病。
我们开展桶状胸手术已经有5年的历史,至今已经完成该手术超过30例。我们的经验表明,该畸形其实是一种非常容易矫形的疾病。只要手术的要领把握妥当,手术没有丝毫的难度。
桶状胸手术的要点如下:(1)必须有合适的塑形材料;(2)材料必须放置于理想的位置;(3)材料必须牢固固定;(4)医生必须具备整体胸廓畸形矫形素质。有了这些要点,桶状胸就不再是不可能完成的手术了,而会成为名副其实的“小手术”(图17)。
(王文林,广东省第二人民医院胸壁外科主任,主任医师,博士后,工作微信:wangwenlindaifu,公众号《胸廓畸形手术专家》:wangwenlinyishi )