
恶性肿瘤分期的目的之一是指导按分期治疗,恶性肿瘤某一期别的治疗有其规范或指南,但治疗方案不是一成不变。当治疗到某一阶段再评估疗效和再分期,有可能下降到另一期别或分型,此时,必须对治疗进行适时调整,以让患者尽可能获益,甚至达到根治。
随着原发性肝癌治疗手段增多,治疗效果提高,降期治疗得到重视,尤其是配合外科手术的降期治疗,有相当一部分患者可以从姑息走向根治。降期治疗分为新辅助治疗和转化治疗,新辅助治疗是在初始能手术切除的基础上,通过非手术手段,使肿瘤进一步缩小或降期或降型,获得根治性手术切除的概率更大,根治更彻底。转化治疗是初始不能手术切除,经过积极治疗后,有可能转变为可手术切除。
本文从外放疗的角度论述不同分期的原发性肝癌特别是肝细胞癌的降期治疗。降期治疗可使肝细胞癌的姑息治疗走向根治,使不可治愈向可治愈转化,甚至带来治疗结局的飞跃。
1 不能手术切除的Ⅱ期肝细胞癌降为Ⅰ期,或Ⅰb期降为Ⅰa期,部分转化为根治性手术切除
局限在肝内但不能手术切除的肝细胞癌患者,给予经肝动脉化疗栓塞(TACE)后结合外放疗,虽然受限于全肝的放射耐受剂量,达不到完全控制肿瘤,但放疗后肿瘤缩小,达到部分缓解,外科医生认为可以手术时,应该尽可能给予手术切除。笔者[1]曾报道,外放疗后,不能手术切除的肝癌患者转化为二期手术,手术切除率23%(8/35),手术标本有残存的癌细胞;接受手术的患者,较未能手术切除者的生存期长。同期临床资料[2]显示,单纯TACE获得二期手术切除率为12.8%(19/149),TACE结合外放疗二期手术切除率为20.4%(11/54)。病例1是大肝癌转化为小肝癌,获得手术切除机会(图1)。

注:a,介入后3周复查CT,肿瘤10.6 cm×5.8 cm,超过一半的肿瘤无碘油沉积;b、c,介入后1个月开始放疗,50 Gy/25次;d,放疗结束后7周复查CT,肿瘤缩小到5 cm,外科医生考虑降期手术;e,手术切除标本,可见鱼肉样残存癌组织;f, 术后50 d随访CT,切缘术后改变;g,术后1年随访MRI,未见肿瘤。迄今存活6年。
图1 不能切除的大肝癌降期后手术
2 Ⅲa期术前新辅助放疗,或部分降为Ⅱ期或Ⅰ期,转化为可手术切除或肝移植
2.1 新辅助放疗
肝细胞癌伴门静脉癌栓(Ⅲa期)患者,经过积极手术切除,只有小部分患者获得长期生存,大部分患者在短期内出现肝内复发或转移,导致死亡。对门静脉癌栓进行单纯放疗,只是姑息手段。日本学者[3]报道,肝细胞癌合并癌栓的患者,接受术前新辅助放疗,较单纯手术的疗效好,对门静脉一级分支或主干癌栓先给予放疗30~36 Gy/10~12次,放疗结束后2周内手术取栓及肝内病灶切除,术后根据情况予介入、射频、无水酒精注射等治疗。结果显示:手术结合外放疗的患者中位生存期为19.6个月,不手术者为9.1个月,两组生存期有显著差异(P=0.036);手术标本病理显示,83%的癌栓完全坏死(病理完全缓解)。因此,手术的主要目的是提高原发灶的控制率和疏通门静脉。对于合并癌栓的患者,术前放疗结合外科手术切除取栓是综合治疗的有效模式。
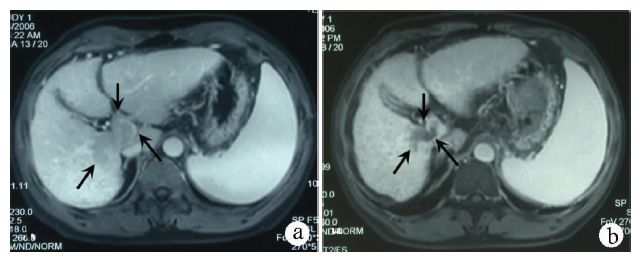
上海东方肝胆外科医院进行一项随机前瞻多中心的临床研究[4],比较肝细胞癌伴门静脉癌栓患者的术前新辅助放疗与不放疗的生存情况,放疗组82例,给予18 Gy/6次的新辅助外放疗;对照组82例,未行新辅助放疗。结果显示:新辅助放疗组的1、2年生存率分别为75.2%、27.4%,对照组分别为43.1%,9.4%,两组生存率有统计学差异(P<0.001)。新辅助放疗明显提高肝细胞癌患者的术后生存期。病例2是门静脉主干癌栓,经过新辅助放疗,癌栓从程氏Ⅲ型降为Ⅱ型,最后获得手术切除(图2)。

注:a,放疗前MRI检查,发现门静脉主干和右后支癌栓(箭头所示);b,放疗后3个月随访MRI,癌栓明显缩小,血供减少(箭头所示),患者获得切除机会。
图2 新辅助放疗后门静脉癌栓程氏Ⅲ型降为程氏Ⅱ型
2.2 转化治疗
韩国Yonsei大学的Kim等[5]回顾性分析了同步放化疗对肝细胞癌患者的疗效,入选264例患者,因门静脉癌栓或残肝体积不足,不能行手术治疗而接受三维适形放疗,大部分患者接受单次剂量1.8 Gy,总剂量45 Gy的放射治疗,同时在放疗的第1周、第5周静脉输注5-氟尿嘧啶(5-FU)。放疗结束1个月后,静脉输注5-FU和顺铂,每4周1次,共3~12个周期。其中18例患者转化为可手术切除,术后病理显示,4例(22.2%)肿瘤完全坏死,7例(38.9%)肿瘤70%~99%坏死。接受手术的18例患者,中位生存期和中位无疾病进展期分别为40和24个月,4例肿瘤完全坏死的患者中位无病生存期为54.6个月。因此,不能手术切除的肝细胞癌患者,接受适形放疗后,部分患者转化为可手术切除。
2.3 移植前窗口期观察
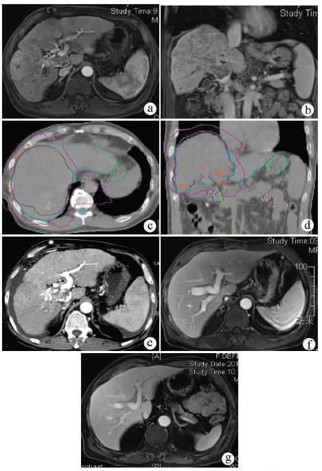
对超出肝细胞癌移植标准的患者,接受外放疗可以缩小病灶,特别是作为窗口期,筛选出生物学行为好的肝癌患者,即使超出标准的肝细胞癌患者,也可能纳入肝移植标准,获得肝移植机会。而生物学行为差的肿瘤,在治疗过程中,向肝外转移,从而失去肝移植机会。笔者已经运用介入治疗结合外放疗,使得10余例肝癌伴门静脉癌栓患者获得肝移植机会,最长1例已存活11年。病例3是癌栓患者接受放疗后,肝内病灶缩小,长达5个月的窗口期观察,无远处转移,从而给予原位肝移植(图3)。类似研究在其他国家有所报道,但均是个例[6]。如,17例肝细胞癌伴门静脉癌栓患者,接受介入治疗结合放疗,随后接受肝移植,1、3年的生存率分别是87%和60%[7]。5例门静脉癌栓接受介入和介入后放疗,降期后再接受肝移植,其1、3年生存期为100%和80%,同一时期配对的10例(1∶2匹配)门静脉癌栓患者,单纯放疗,1、3年生存期仅50%和30%[8]。由于供体来源短缺,国内外这类研究尚处于起步阶段,需要进一步摸索。

注:a、b,MRI见门静脉主干、分支癌栓,肝内弥漫性病灶;c、d, CT扫描制定放疗计划,给予TOMO放疗50 Gy/25次,包括右叶及其门静脉主干;e,放疗后3周随访CT,门静脉癌栓明显缩小,但是腹水增多。于2011年9月28日接受肝移植。术后病理:肝内肿块14枚,最大位于肝右叶,5.5 cm×7.4 cm×3.5 cm,门静脉癌栓;f、g,移植术后5个月和6年随访MRI,无肝内复发,迄今存活8年。
图3 门静脉癌栓放疗后原位肝移植
3 T1或T2肝癌肝移植前的桥接放疗
对于符合肝移植适应证的肝细胞癌患者,原位肝移植是最有效的治疗手段。但是,由于肝脏供体数量有限,不少患者在较长的肝源等待中发生肿瘤进展,从而丧失最佳的肝移植治疗机会。因此,在肝源等待期,延缓肿瘤进展的桥接治疗非常重要。
立体定向放疗(SBRT)可以作为肝癌患者等待肝移植前的一种桥接治疗,既不属于新辅助放疗,也不属于转化放疗。由于SBRT属于根治性治疗,T1 或T2的患者,绝大部分可以降为T0。肝移植的目的是把失代偿的肝脏更换为肝功能正常的肝脏。放疗的目的是在特定的时期(缺乏供肝)控制肿瘤的进展。
美国Rochester大学医学中心和密西根William Beaumont医院报道了18例移植前接受SBRT的肝癌患者,中位放疗剂量为50 Gy/10次,没有严重的胃肠道不良反应和放射性肝炎发生[9]。放疗后中位等待期为6.3个月,12例患者成功接受了肝移植术,10例患者病理显示肿瘤完全坏死。术后中位随访期19.6个月,所有患者均存活[10]。因此,SBRT是肝癌患者等待肝移植前一种安全有效的衔接治疗措施,能够在移植前控制肿瘤,利于缓解肝源压力,已经越来越受到重视。
研究[11]报道,379例患者接受肝移植的移植前桥接治疗,其中36例接受SBRT,99例接受介入栓塞化疗,244例接受射频消融。最终有312例患者获得肝移植,SBRT组30例,介入栓塞化疗79例,射频消融203例,3组获得肝移植的概率相似。1、3、5年生存率分别为:SBRT组83%、61%和61%,介入栓塞化疗组86%、61%和56%,射频消融组86%、72%和61%,3组间无明显差异(P=0.4)。SBRT作为肝细胞癌移植前的桥接治疗,和介入栓塞、射频消融一样安全有效。对伴有腹水、凝血酶原时间延长的肝细胞癌患者的移植前桥接治疗,相比介入栓塞、射频消融,SBRT更有优势。病例4为肝功能为Child-Pugh C 级的小肝癌患者,在22个月的等待肝源期间,接受SBRT,最终获得肝源,成功移植(图4)。

注:a,放疗前增强CT,右后叶病灶2 cm,箭头所示,动脉期强化,中等量腹水;b,CT 和MRI融合确定靶区,制定SBRT计划,肿瘤50 Gy/5次;c~e,分别为放疗后2、5、9个月随访的MRI,肿瘤消失,放疗区域(瘤床)充血,系放疗后改变,少量腹水;f,放疗后22个月等到肝源,接受肝移植,移植后1年随访CT。
图4 肝细胞癌肝移植前的桥接放疗
还有研究[12]报道,符合米兰或旧金山肝移植标准的肝细胞癌69例,随机分为36例介入,33例接受质子放疗,其中,介入组10例(10/36)获得肝移植机会,质子组12例(12/33)获得肝移植机会。术后病理检查发现,介入组完全缓解率10%,质子组为25%。两组患者移植后的生存率无显著差异。因此,质子放疗和介入治疗一样,可以使肿瘤降期,赢得等候时间,不影响肝移植成功率。
4 大肝癌(T2)经介入栓塞化疗降期为小肝癌(T1),再予以SBRT,达到根治性放疗
如果肝肿瘤较大,SBRT容易带来肝损伤。经过介入栓塞化疗后,肝肿瘤明显缩小,直径一般小于5 cm,特别是单发肿瘤,则给予SBRT,从而使不能根治的肝内肿瘤转化为可根治。我国香港报道[13]显示,49例患者接受介入治疗后给予SBRT, 较98例(1∶2配对)接受单纯介入治疗的对照组,SBRT者肿瘤局控率和生存期都远有优势。病例5是局限肝内的大肝癌患者,肿瘤靠近肝门不能手术,介入后肿瘤降期,调整为SBRT,获得完全缓解(图5)。

注:a,MRI显示肝门部7.5 cm病灶,动脉期明显增强,肝细胞癌的影像学表现;b,6次介入后PET-CT示肿瘤缩小,部分碘油沉积,瘤内糖代谢较高,SUV值4.7 g/ml;c,7次介入和7次FOLFOX4化疗,SBRT前,MRI示下腔静脉旁病灶1.8 cm,动脉期无强化;d,CT上勾画的靶区制定放疗计划,SBRT肿瘤等剂量分布曲线,55.5 Gy/15次;e,SBRT后11个月,PET-CT显示肿瘤无糖代谢;f,SBRT后16个月随访MRI,与放疗前(c)比较,病灶缩小到0.9 cm,无血供;g,SBRT后4年随访MRI,病灶大小稳定,无血供;h,整个治疗过程中的AFP变化。SBRT后,AFP降至最低点。
图5 不能手术切除大肝癌接受介入后转化为小肝癌,接受SBRT
5 总结
综上所述,肝癌放疗降期的目的是为进一步达到根治创造条件。手术、SBRT和射频消融均是局部治疗,均能达到根治性治疗。这三者中,手术切除是最常用的手段。降期后的局部治疗,可以让患者从姑息走向根治。表1列出肝癌放疗降期的分类管理。

降期是相对的概念,分期的标准也是相对的,根治才是目的。病例1所示,放疗前肿瘤10.6 cm,单发,属于Ⅰb期,经过放疗后,肿瘤缩小到5.0 cm,此时属于Ⅰa期,可以顺理成章地认为降期。但是,如果此时的肿瘤5.1 cm,是否为降期?其实,此时5.0 cm和5.1 cm没有本质上的差别,放疗的目的就是缩小肿瘤,达到根治性手术切除。病例2合并门静脉癌栓,通过放疗后,癌栓虽然缩小了,但仍然存在,再分期仍然属于Ⅲa期,但是以程氏癌栓分型[14],已经从Ⅲ型降到Ⅱ型。病例3和4都是移植前的桥接放疗,但是放疗目的各不相同。病例3放疗目的不是降期,而是作为窗口期,观察是否出现远处转移,甄别恶性肿瘤的生物学行为;病例4则无需降期也可以手术,只是等待供肝,与时间赛跑。降期后即使不能外科治疗才能根治,如果大肝癌转化为小肝癌,SBRT或射频消融,部分患者也可能达到根治。病例5就是降期后用SBRT获得根治。
最引人争议的问题是,能不能手术,均由肝胆外科医师决定。一般是Ⅰ期肝细胞癌,只要没有手术禁忌证,技术上可行,都可以手术;Ⅱ期则取决于外科医生;有些外科医生甚至Ⅲa(癌栓)都可以直接手术。现在缺乏手术切除适应证的统一标准,不同级别的肝胆外科掌握手术的原则不同,国内外肝癌手术适应证也存在很大差异,对降期后的手术治疗存在争议属于正常的学术讨论。虽然肝癌放疗降期治疗的病例数较少,但相关研究报道逐渐增多,循证级别逐渐提高。希望本文提供的临床研究数据和临床病例能抛砖引玉,对于肝细胞癌这一难治疾病,在临床实践中借鉴探索。
参考文献:
[1]ZENG ZC, TANG ZY, YANG BH, et al. Comparison between radioimmunotherapy and external beam radiation therapy for patients with hepatocellular carcinoma[J]. Eur J Nucl Med, 2002, 29(12): 1657-1668.
[2]ZENG ZC, TANG ZY, ZHOU J, et al. A comparison of chemoembolization combination with and without radiotherapy for unresectable hepatocellular carcinoma[J]. Cancer J, 2004, 10(5): 307-316.
[3]KAMIYAMA T, NAKANISHI K, YOKOO H, et al. Efficacy of preoperative radiotherapy to portal vein tumor thrombus in the main trunk or first branch in patients with hepatocellular carcinoma[J]. Int J Clin Oncol, 2007, 12(5): 363-368.
[4]WEI X, JIANG Y, ZHANG X, et al. Neoadjuvant three-dimensional conformal radiotherapy for resectable hepatocellular carcinoma with portal vein tumor thrombus: A randomized, open-label, multicenter controlled study[J]. J Clin Oncol, 2019, 37(24): 2141-2151.
[5]KIM J, LEE I, KIM J, et al. Clinical features of hepatocellular carcinoma patients undergoing resection after concurrent chemoradiation therapy[J]. Int J Radiat Oncol Biol Phys, 2012, 84(Suppl 3): s336-s337.
[6]WIGG A, HON K, MOSEL L, et al. Down-staging of hepatocellular carcinoma via external-beam radiotherapy with subsequent liver transplantation: A case report[J]. Liver Transpl, 2013, 19(10): 1119-1124.
[7]JEONG Y, SHIN MH, YOON SM, et al. Liver transplantation after transarterial chemoembolization and radiotherapy for hepatocellular carcinoma with vascular invasion[J]. J Gastrointest Surg, 2017, 21(2): 275-283.
[8]CHOI JY, YU JI , PARK HC, et al. The possibility of radiotherapy as downstaging to living donor liver transplantation for hepatocellular carcinoma with portal vein tumor thrombus[J]. Liver Transpl, 2017, 23(4): 545-551.
[9]KATZ AW, CHAWLA S, QU ZH, et al. Stereotactic hypofractionated radiation therapy as a bridge to transplantation for hepatocellular carcinoma: Clinical outcome and pathologic correlation[J]. Int J Radiat Oncol Biol Phys, 2012, 83(3): 895-900.
[10]O’CONNOR JK, TROTTER J, DAVIS GL, et al.Long-term outcomes of stereotactic body radiation therapy in the treatment of hepatocellular cancer as a bridge to transplantation[J]. Liver Transpl, 2012, 18(8): 949-954.
[11]SAPISOCHIN G, BARRY A, DOHERTY M, et al. Stereotactic body radiotherapy vs. TACE or RFA as a bridge to transplant in patients with hepatocellular carcinoma. An intention-to-treat analysis[J]. J Hepatol, 2017, 67(1): 92-99.
[12]BUSH DA, SMITH JC, SLATER JD, et al. Randomized clinical trial comparing proton beam radiation therapy with transarterial chemoembolization for hepatocellular carcinoma: Results of an interim analysis[J]. Int J Radiat Oncol Biol Phys, 2016, 95(1): 477-482.
[13]WONG TC, CHIANG CL, LEE AS, et al. Better survival after stereotactic body radiation therapy following transarterial chemoembolization in nonresectable hepatocellular carcinoma: A propensity score matched analysis[J]. Surg Oncol, 2019, 28: 228-235.
[14]Chinese Society of Liver Cancer, Chinese Medical Doctor Association. Chinese expert consensus on multidisciplinary diagnosis and treatment of hepatocellular carcinoma with portal vein tumor thrombus (2018)[J]. J Clin Hepatol, 2019, 35(4): 737-743. (in Chinese)
中国医师协会肝癌专业委员会. 肝细胞癌合并门静脉癌栓多学科诊治中国专家共识(2018年版)[J]. 临床肝胆病杂志, 2019, 35(4): 737-743.
引证本文:曾昭冲, 孙建国, 郎锦义. 肝细胞癌放疗降期——从姑息走向根治[J]. 临床肝胆病杂志, 2020, 36(2): 258-262.
本文编辑:王莹公众号编辑:邢翔宇