
第九期
作者 | 莫大鹏
北京天坛医院介入神经病学科
前 言

颈动脉闭塞在慢性开通时,有时会遭遇到颈动脉闭塞近端存在血栓,此时的血栓处于半机化状态,甚至与颈动脉分叉处破裂斑块混在一起,给颈动脉闭塞开通时,因处理不但带来血栓脱落入颅内的风险。
病例详情

基本信息
患者,男性,50岁。
主诉:发作性右侧肢体无力伴言语不清约1月。
现病史
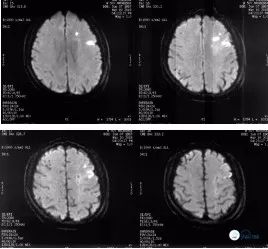
该患缘于入院前1月余无明显诱因出现发作性右侧肢体无力伴言语不清症状10余次,表现为言语笨拙,右上肢抬举无力、右手抓握能力下降,行走拖曳,向右侧倾斜,需人搀扶,每次持续约1-2分钟不等后,上述症状完全缓解。病程中患者无头晕、头痛,无恶心、呕吐,无视物模糊及视物旋转,无耳鸣及耳聋,无抽搐及意识不清。2018年5月6日就诊于北京某医院,完善头颅MRI:DWI示左侧基底节、放射冠、半卵圆中心、顶叶见点片状异常高信号(图1),诊断为“脑梗死”,住院静点药物(具体不详),治疗后患者未遗留症状;住院期间行头颈CTA提示:左侧颈内动脉闭塞(图2)故来诊。
既往史
高脂血症。
个人史
吸烟史30余年,约20支/日,已戒1个月;饮酒史30余年,白酒约5两/日,已戒1个月。
查体
左侧Bp 136/83mmHg,右侧Bp 123/85mmHg,心肺腹未见明显异常,双侧足背动脉搏动正常。神经科查体(-)。
化验检查
血常规、凝血四项均未见异常;生化全项:丙氨酸氨基转移酶(60.8 U/L),甘油三酯(2.6 mmol/L),低密度脂蛋白(3.37 mmol/L);(阿托伐他汀钙改为瑞舒伐他汀后复查丙氨酸氨基转移酶45.6U/L)血栓弹力图:AA 100%,ADP 90.4%。
入院后给予双抗血小板(拜阿司匹林100mg Qd+氯吡格雷75mg Qd)、降脂(瑞舒伐他汀10mg Qn)。
入院前检查
头颅MRI(2018-05-10): DWI示左侧基底节、放射冠、半卵圆中心、顶叶见点片状异常高信号。(图1)

头颈CTA(2018-05-16):左侧颈内动脉闭塞(图2)

入院后检查
头部CTA(2018-06-08):左侧颈内动脉未见显示,走行区可见多发钙化;右侧颈内动脉岩骨段、海绵窦段管壁可见钙化,管腔多发狭窄。右侧大脑前动脉水平段纤细。左侧大脑中动脉显示纤细。左侧后交通动脉未见明确显示(图3)

头CTP(2018-06-08):左侧大脑半球MTT、TTP明显延长,CBV略升高,CBF降低(图4)

DSA(2018-06-11):右颈内动脉C4-C6段管壁不光滑,多发斑块形成,存在多发串联狭窄;右侧大脑前动脉A1纤细,显影浅淡,右侧大脑中动脉通过软脑膜支向右侧大脑前动脉代偿供血,前交通动脉开放欠佳;左颈内动脉C1段长节段闭塞,局部可见血栓影,左侧颈内动脉C6段以远经眼动脉代偿供血,可见浅淡显影,左侧大脑中动脉、左侧大脑前动脉未见显影;左锁骨下动脉造影可见左侧大脑后动脉通过软脑膜支向左侧大脑中动脉、左侧大脑前动脉代偿供血,左侧后交通未见开放(图5)

颈部高分辨磁共振(2018-06-13):双侧颈总动脉分叉部管壁略厚;左侧颈内动脉起始处以远闭塞(图6)

诊断
-
1.左颈内动脉闭塞;
-
2.右颈内动脉C4多发串联狭窄;
-
3.脑梗死恢复期;
-
4.高脂血症。
介入指征
患者表现为发作性右侧肢体无力伴言语不清;MRI提示左侧基底节、放射冠、半卵圆中心、顶叶新发梗死;CTA、DSA提示左侧颈内动脉闭塞,代偿欠佳;CTP示左侧大脑半球灌注较对侧差。
治疗过程简述
在局麻下右股动脉置入8F动脉鞘,沿常规泥鳅导丝携带5F多功能导管、8F球囊导管在路径图下送至左颈内动脉开口处,造影提示:左颈内动脉C1段可见不规则残端,考虑血栓形成可能(图7)

将球囊导管固定于左颈总动脉远端,充盈球囊阻断前向血流(图8)

并反复抽吸多功能导管,抽出一2*3mm致密斑块(图9)

抽瘪球囊,再次多功能导管手推造影:未见明显游离血栓影,仍无明显前向血流(图10)

Pilot 50微导丝(190cm 0.014″)携Echelon 10微导管多次尝试通过左颈内C1闭塞段,但未成功,遂撤出。经8F球囊导管送入普通加长泥鳅导丝(260cm 0.035″)沿加硬泥鳅导丝路径小心通过左颈内C1闭塞段至C4远端,撤出加硬泥鳅,并沿普通加长泥鳅导丝送入多功能导管至C2末段(图11)

再次沿多功能送入Pilot 50微导丝(190cm 0.014″)携Echelon 10微导管,导丝头端置于左侧大脑中动脉M1远端,跟近Echelon 10微导管,微导头端置于左侧大脑中动脉M1远端,撤出Pilot 50微导丝,微导管内造影可见左侧大脑中动脉M2以远显影,证实微导管在真腔内(图12)

沿微导管送入Transend微导丝(300cm 0.014″),头端至左侧大脑中动脉M1远端,撤出微导管及多功能导管,沿Transend微导丝送入Ultra-soft球囊(2.0mm*20mm)至左颈内动脉C5段,沿左颈内动脉C5-C1段由远及近重叠扩张局部血管(图13)

撤出Ultra-soft球囊,经8F球囊Guiding导管于左颈C1段近端手推造影提示左颈内动脉管腔不光滑,前向血流较前改善(TICI分级2a级)(图14),并观察5分钟后再次造影提示管腔无明显回缩。

沿Transend微导丝送入自膨式Wallstent(7mm*50mm 135cm)支架,支架头端至左颈内C1远端,准确定位后释放支架(图15)

再次造影提示:支架内血流通畅,左颈C3至C4段显影浅淡,晚期左侧大脑中动脉显影,考虑海绵窦段闭塞血管,球囊扩张不充分,管壁仍有塌陷,造成血流不通畅(图16)

遂沿Transend微导丝送入Tazuna球囊(2.5*20mm),沿左颈内C4至C2段由远及近重叠扩张狭窄血管(图17)

再次造影提示左侧大脑前动脉显影,但左颈C3至C4段仍显影浅淡,考虑海绵窦段血管局部仍有弹性回缩(图18)

静脉替罗非班8ml缓慢静脉推入,并经球囊Guiding导管动脉推入4ml替罗非班。沿Transend微导丝送入Select导管及自膨式Enterprise(4.5mm*37mm)支架于左颈内动脉C4段,准确定位后缓慢释放(图19)

撤出Select导管,再次手推造影提示支架贴壁欠佳,遂再次沿Transend微导丝送入Tazuna球囊(2.5*20mm)扩张Enterprise(4.5mm*37mm)支架,再次手推造影提示左侧大脑前显影,前交通开放,但左颈内动脉C3段显影浅淡(图20)

再次经球囊Guiding导管动脉推入4ml替罗非班。遂再次沿Transend微导丝送入自膨式 Enterprise(4.5mm*28mm)支架,准确定位后缓慢释放,再次手推造影提示支架贴壁欠佳,再次以同样方式送入Tazuna球囊(2.5*20mm)扩张支架后,造影提示:左颈内动脉管壁较前改善,前向血流较前改善(TICI分级2b级),无急性血管闭塞征象(图21)

术后患者无不适主诉,血压130/80mmHg,心率72次/分,神经系统查体较前无明显变化,术后即刻行头CT检查未见出血(图21),安返病房。
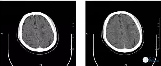
术后头颅CT(2018-06-14):左侧半卵圆中心散在陈旧性梗死灶(图22)

术后情况
术后积极预防支架内血栓的形成,继用替罗非班泵入,泵完后加用那曲肝素0.4g Q12h两天,并将阿司匹林调整为200mg Qd。双抗期间,注意有无呕血、黑便和胃部不适等症状,注意有无皮肤黏膜出血情况,术后患者自诉视物较前清晰,余未诉特殊不适,神经系统查体(-),术后4天平稳出院,出院后建议一月后复查支架情况。

问题&思考

1.颈动脉闭塞的近端出现“血栓”影像,可能是尚未完全机化的血栓,在介入开通操作的过程中,有可能将血栓碎花,脱落经过其他代偿途径,进入颅内或视网膜中央动脉,造成颅内栓塞事件,或眼部视野缺损。本例患者采用球囊导管的保护下进行了局部血栓抽吸来清除血栓,但单一的球囊仍难以做到确切的保护,若采用复合手术的方法应该可以更安全清除血栓。
2.本例患者在采用微导管和微导丝通过闭塞病变段的尝试过程中失败后,使用260cm泥鳅导丝“探察”通过病变,多功能导管跟进到颈动脉岩段的操作,为微导管微导丝开辟一条进入颅内通道,但该法相对“粗暴”有可能造成较大的局部夹层,手术无法再进行下去。
3.本例患者海绵窦段反复球囊扩张,动脉壁反复闭塞或显影不良的原因,有可能是导丝在海绵窦段内的血管夹层里,或者该段闭塞的机化血栓弹性回缩性能大,必须支架支撑才能保持动脉管腔通畅。术前如何对这段血管的评估,需要好好研究。
4.本例患者长段的闭塞血管都有支架,术后采用短时间内强化药物如肝素,替罗非班等,患者安全度过围手术期。如此长段闭塞血管,如何维持血管通畅,不继发新的血栓造成新的血栓事件,或闭塞血管急性闭塞,术后如何安全的使用药物还需要进一步明确。