网络问诊病例:
患者提交的信息
疾病描述:
20年9月某一线城市著名医院体检薄层胸部CT发现双肺小结节。21年6月体检随诊CT,其中左下肺基底段的1个小结节增大2倍(从2mm为5mm)。未予重视,未予治疗。平常有痰,晨起明显,多为白粘痰。咳嗽少。偶有午后潮热出汗。22年3月底体检复查CT较前无明显变化,口服拜复乐0.4g qd一个月,5月复查CT 3个肺结节均有变化。无其它疾病。 1.基因检测的必要性?如有突变,看您的科普,好像不建议靶向治疗? 2. 我妈妈没有结节,有个弟弟25岁,还没去体检过,我爸爸前年5mm层厚有个胸膜下结节,还没去复查。 我是内科某专业在读博士。 该医院胸外的主任,一位建议切了左下肺基底段那个,其他随访。另一位建议左肺切3个。还有一位建议切左下肺2个。影像科科主任看了22年5月CT,说不一定是密度增大,因为我此次做CT时吸气不足,肺未完全膨胀,建议随访4个月复查。
疾病:
体检发现双肺多发小结节1年8个月
希望得到的帮助:
1. 多原发? 2. 左下肺基底段的,空泡征(反晕征?),分叶,血管,微浸润?建议切除时机及术式?
图像展示:
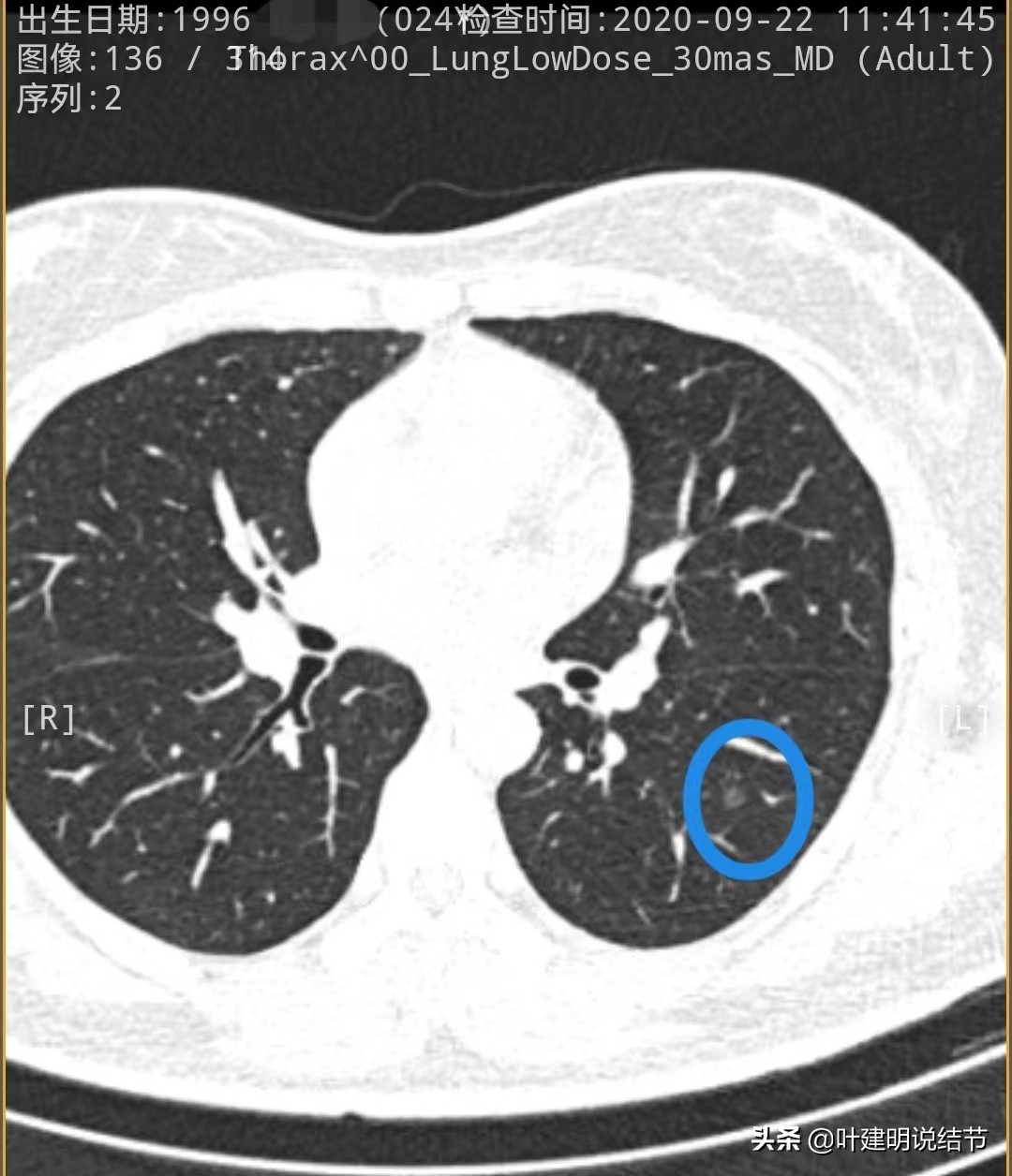
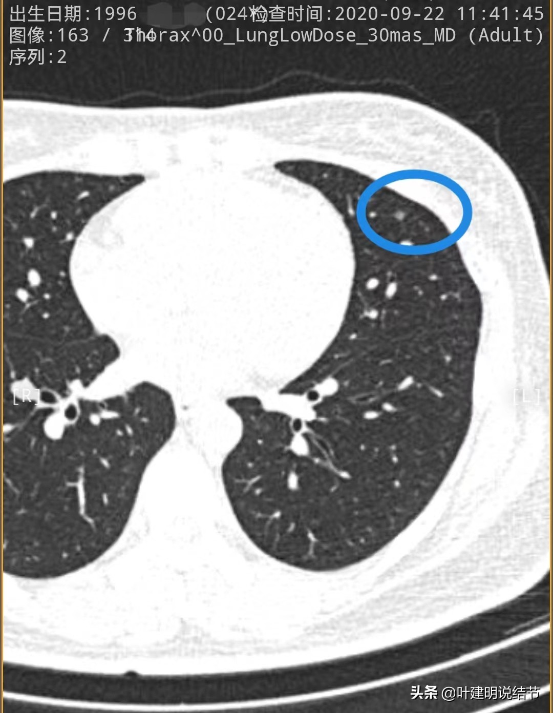
先来看2020年时的CT图像:

左下叶淡磨玻璃结节,轮廓较清,没有实性成分,以不典型增生可能性为大些

左上叶舌段密度偏高结节,边界较清,原位癌可能,也可以是良性结节,边缘膨胀性略差

左下叶另一结节,密度低,轮廓 也清,考虑腺体胶驱病变,不典型增生或原位癌可能性大些
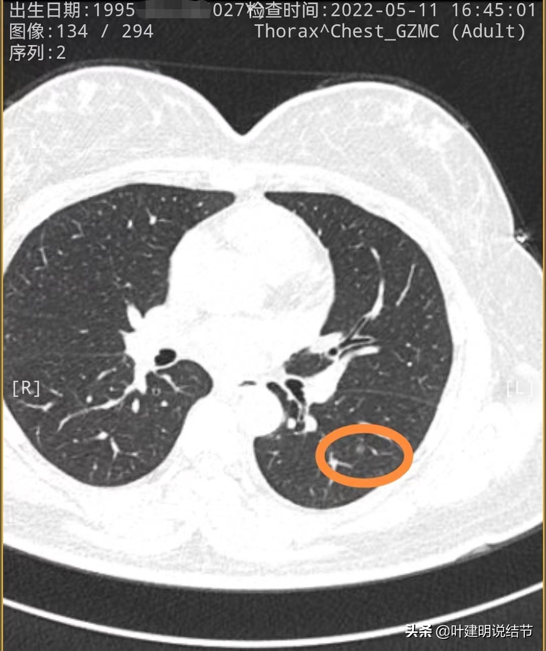
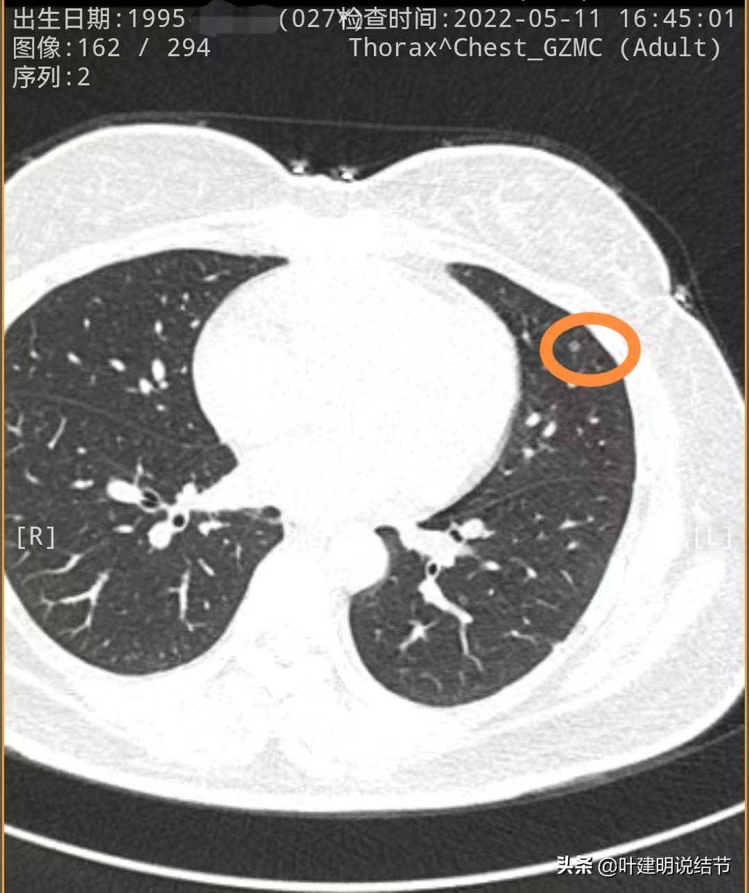
再来看今年2022年的片子:

左下第一处结节几乎没有明显变化

左上舌段结节感觉略圆起来一点,但大小说不上显著增大进展,轮廓清

左下另一处结节感觉略有进展,但总体应该仍是原位癌可能性大些。
我的意见:
我觉得你才27岁,反正多发、微小结节,以不典型增生或原位癌可能性大,有的也不能除外良性的纤维增生结节,密度感觉稍高了点。反正目前风险不高,不应该过于积极手术干预。先随访,有风险再说。
感悟:
我也常怀疑是不是我的理念不对,她所就诊的医院是国内最著名的医院之一,应该是最权威、最正确的吧!可是我想如果手术,左下基底段这枚略有进展,不知道医生是建议其楔形切除还是肺段切除,一般大医院是喜欢肺段的;如果基底段的切了,反正已经进胸,是不是靠背段这枚也切?如果切,是切背段吗?那上叶舌段的呢?楔切还是舌段切除?如果上叶舌段+下叶背段+下叶外基底段(我现在是毛估估,具体还要术前三维重建才能最后确认在哪个段)。一位年仅27岁的女博士,这么小的3枚结节,如果真的均是不典型增生或原位癌,现在都不叫做早期肺癌了,是腺体前驱病变。却可能接受左侧这么多肺段的切除,肺功能损失得多少?对以后的影响该多大?我总觉得下不了手,开不了这口。知道有结节,能定期复查对比,真若达微浸润或快要考虑浸润了,再切也不迟呀!难以理解,也学不会!
(此处已添加医疗卡片,请到*今条头日**客户端查看)