点击“北大肿瘤肝胆外一”关注我们
想了解肝胆胰肿瘤领域最新进展吗?
想让更多的人也能看到这些进展吗?
您的关注和转发是我们最大的动力!

←
本期讲者
闫晓峦
北京大学肿瘤医院肝胆外一科
主治医师
OPTILIV:肝动脉灌注化疗联合西妥昔单抗在肠癌肝转移转化治疗的多中心临床试验
背景
在世界范围内,每年有约140万人罹患结直肠癌,其中近一半患者最终会出现肝脏转移,并因此死亡。既往研究表明,强力的术前化疗使肝转移肿瘤体积缩小,联合肝切除可以为患者带来长期生存。然而仅有15%初始不可切除的肝转移患者能够完成整个治疗计划。因此,笔者设计了这个欧洲多中心II期临床试验,检测在既往接受转化治疗失败的人群中,肝动脉灌注(HAI)三药方案化疗联合西妥昔单抗静脉化疗能否将转化率提高至30%。
方法
研究纳入了2008-5至2012-3来自法国、比利时、葡萄牙和意大利共9家肿瘤中心,入组患者均为KRAS第2外显子野生型初始不可切除结直肠癌肝转移患者,(患者一般情况,见表一)主要排除标准为:不可切除的肝外转移灶,既往接受过三药方案肝动脉灌注治疗和3级感觉神经病。
给药方式:伊力替康(180mg/m2),奥沙利铂(85mg/m2)和5-氟尿嘧啶(2800mg/m2)通过一根预置的HAI输液港进行肝动脉持续灌注,同时联合西妥昔单抗(500mg/m2)静脉滴注,14天为一周期。每3周期复查一次供多学科讨论是否行手术切除。记录患者接受上述治疗后的肝转移灶切除率(R0+R1),无进展生存期和总生存期。

结果
共计囊括64例患者,其中男性42例,女性22例,年龄33-76岁,平均肝转移数目10枚,平均受累肝段6个,在41%的患者中可见多至3个<1cm的肝外转移结节。患者平均接受HAI治疗6周期。整组患者客观有效率40.6%(28.6-52.3)。中位无进展生存期9.3月(7.8-10.9),中位总生存期25.5月(18.8-32.1)。在64例患者中,19例行R0-R1切除,手术率达到29.7%(18.5-40.9),术后中位生存期35.2月(32.6-37.8),4年累计生存率37.4%(23.6-51.2)。常见并发症为: 42.6%出现3-4级骨髓移植,26.2%出现腹痛,18%出现乏力,16.4%出现腹泻。

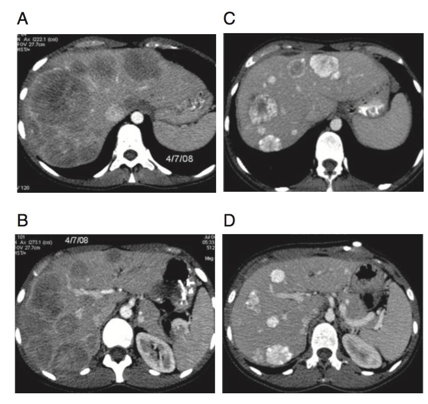
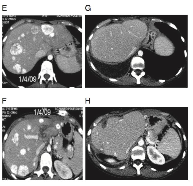
病例

(A&B)上腹部CT显示多发、不可切除、同时性肝转移,原发灶来源自乙状结肠。
(C&D)在一线FOLFIRI方案9周期化疗后,复查CT评价为影像学略缓解(缩小幅度明显降低)。行乙状结肠癌切除术,术中留置HAI导管。

(E&F)4周期三药方案HAI+西妥昔单抗治疗后,复查CT评价为显著影像学缓解。行分期肝切除术。
(G&H)术后3年复查未见肿瘤复发,PS评分=0。
讨论
OPTILIV研究是迄今为止世界上首个对于初始不可切除肠癌肝转移应用肝动脉灌注联合手术的前瞻性临床试验,试验结果达到本研究的主要终点,即经术前肝动脉灌注三药方案联合静脉西妥昔单抗治疗后,手术切除率接近30%。
在既往接受转化治疗失败的人群中,本研究所提出的给药方案显示出目前为止最高的客观有效率,并且克服了对同种静脉化疗方案的耐药性。事实上,40.6%的客观有效率,9.3月无进展生存期和25.5月总生存的结果,与现有最高效的二线、三线静脉化疗方案相比毫不逊色。
OPTILIV研究进一步改变了人们对HAI的传统印象,即仅作为全身静脉化疗的附属、使用单药方案(氟脲苷或奥沙利铂),转变为使用联合方案(例如本研究的伊力替康、奥沙利铂、5-氟尿嘧啶),并联合静脉靶向药物以便于提高手术率。本研究所使用的强力的肝脏特异性化疗联合手术这一治疗策略,为患者提供了更高的治愈可能和更好的术后生存,尽管入组患者病期较晚(既往曾经接受过化疗或手术治疗、既往治疗失败肝脏病灶快速进展、同时存在肝外转移病灶等),患者在加入本研究作为二线治疗方案后,得到了极大的生存获益。近一半患者获得R0-R1手术切除机会,其中超过半数在术后4年存活。

Intent-to-treat progression-free (PFS) and overall survival (OS) curves. (A) PFS and (B) OS in the 64 patients.

(C) PFS and (D) OS according to R0–R1 liver resection. Estimated 4-year survival rate according to R0–R1 resection in the ITTP: ‘yes’, 37.4% (95% confidence limit 23.7–51.1); ‘no’, 3.0% (0.0–0.6) .
总结
OPTILIV研究为我们展示了肝动脉灌注三药方案化疗联合静脉西妥昔单抗,在初始不可切除肝转移转化治疗中极高的客观有效率及手术切除率。远期生存结果中,HAI的无进展生存期和总生存期也优于目前最有效的2线或者3线系统化疗。其真实的优效性值得进一步随机对照研究来证实。

品读之后,
愿享同感。

12
转载敬请后台留言
更多精彩内容请关注我科室公众号
作者: 闫晓峦医师

北大肿瘤肝胆外一
ID:pkucancerhpb
结直肠癌肝转移最新进展
长按二维码关注
科室简介

出诊信息
