
肱骨髁上骨折是儿童最常见的骨折之一,占儿童肘部损伤的50%~60%。肱骨髁上骨折的治疗方法有手法复位、小夹板或石膏外固定、闭合复位经皮克氏针固定及切开复位内固定。血管、神经损伤和后遗肘内翻畸形是其常见的并发症。GartlandⅢ型肱骨髁上骨折断端移位较大,容易发生多种并发症,多采用手术治疗。在微创技术日渐成为现代外科的主流的今天,手术切开复位内固定虽能获得较满意的复位,但不能防止肘内翻的发生,且其术后并发关节粘连、骨化性肌炎、骨感染等造成的关节损害发生率高且多难以恢复,闭合复位克氏针内固定术虽是目前治疗GartlandⅢ型肱骨髁上骨折的金标准,但也存在麻醉意外、尺神经损伤、内固定松动、针道感染等风险与并发症。
一典型病例1
下面用一例典型的Gartland三型肱骨髁上骨折患者来详四步法的治疗方法,供大家参考。
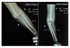
GartlandⅢ型肱骨髁上骨折患者,患肢畸形、肿胀明显。肘前方可见皱褶,典型的难复型肱骨髁上骨折。
外院拍片情况如下:

四步复位法:一摆、二牵、三挤、四屈
一摆:将患肢摆放于屈肘九十度,前臂旋后位,这样基本可以纠正旋转移位,术者拇指及中指应分别置于内、外上髁处,即使是患肢肿胀十分严重,甚至已经出现水泡,肱骨内、外上髁的突起仍可触及,肱骨干下1/3两侧的骨嵴处于屈肘、伸肘肌之间,也可清楚触及。

二牵:屈肘九十度持续牵引可以纠正重迭移位,同时牵引后通过肘关节周围软组织内夹板作用可以相应部分纠正侧方及前后方移位。可以看到通过牵引手法后肘前方的皱褶消失。

三挤:在维持牵引情况下通过前后方及侧方的挤压复位纠正前后及侧方移位

四屈:完成上述手法后应尽量将患肢屈肘到位,屈肘应小于九十度,采用极度屈肘手法可利用肘后部完好的骨膜及肱三头肌的牵张力,纠正骨折断端前后残余移位并使其对合紧密;在屈肘的同时尽量将骨折远端桡偏,手法可使骨折断端桡侧嵌插产生桡偏,同时利用尺侧软组织的牵张力纠正尺侧骨皮质塌陷或压缩。从而达到彻底纠正尺偏、尺嵌、尺倾和内旋移位的目的,降低肘内翻畸形的发生率。

外敷药及固定方法
我院常规采用自制的蜂蜜绷带及三黄散外敷,如果没有外敷药建议用普通绷带均匀包扎患肢,有利于预防张力性水泡。

采用小夹板固定,有利于防止骨折再移位及预防肘内翻畸形。如果没有小夹板及对小夹板的运用不熟悉,可以在整复后直接用石膏托固定患肢于屈肘70°位,但应密切观察患肢血运情况及肿胀消退情况,及时更换石膏托。
以下为小夹板的准备及固定方法:
自制小夹板,两块宽夹板分别放置前后方,两块窄夹板分别放置内外侧

垫以棉垫,绷带包裹,既干净又整洁

自制锐角托板

外敷蜂蜜绷带及三黄散后绷带包扎

棉垫放置位置图

放置后方棉垫及夹板

放置侧方棉垫及夹板,肱骨内上髁处放置1个方形垫,可有效预防远折端尺侧移位,在骨折近折端外侧放置方形垫,放置小夹板对向挤压固定

三根扎带固定四块小夹板

用长约20厘米、宽约5厘米胶布自内经前臂近端后侧包绕至外侧夹板上固定,足以保证骨折固定牢靠

最后安放锐角托板,固定完毕。

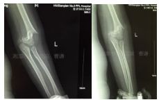
复位固定后拍片情况如下:

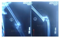
治疗一个月后复查情况如下:

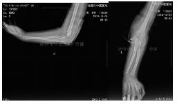
治疗近两个月复查情况如下:

治疗五个月的功能恢复及外观情况:

二典型病例2
患者性别:男
患者年龄:3岁
简要病史:跌倒致右肘部畸形、肿痛、活动受限,就诊于我院,拍片诊断为右肱骨髁上骨折。
治疗经过:入院行四步复位法手法整复,小夹板外固定
入院拍片如下:

患肢外观明显畸形、肿胀

采用四步复位法整复后拍片复查

整复固定后外观

治疗一月拍片复查

治疗三个月后拍片复查

治疗三个月后的外观与功能情况

三典型病例3
患者性别:女
患者年龄:6岁
简要病史:玩耍时跌倒致左肘部畸形、肿痛、活动受限,就诊于当地医院,拍片诊断为肱骨髁上骨折,转来我院。
治疗经过:入院行四步复位法手法整复,小夹板外固定
外院片如下:

杨氏四步复位法整复后拍片复查

治疗两月余拍片复查

治疗两月余功能恢复情况,无肘内翻畸形,功能恢复良好

四典型病例4
患者性别:男
患者年龄:4岁
简要病史:跌倒致右肘部畸形、肿痛、活动受限,就诊于我院,拍片诊断为肱骨髁上骨折。
治疗经过:入院行四步复位法手法整复,小夹板外固定
入院拍片如下:

入院时外观照

四步复位法整复后拍片复查

治疗三周后拍片复查见骨痂生长

治疗一个月功能恢复情况及外观,无肘内翻畸形,功能良好

患者21个月后随访拍片复查情况如下:

可以看到外观无肘内翻,肘关节屈伸功能恢复正常。

五典型病例5
患者性别:男
患者年龄:6岁
简要病史:跌倒致左肘部畸形、肿痛、活动受限,就诊于当地医院,拍片诊断为肱骨髁上骨折,行手法复位,石膏固定,对位欠佳,转来我院。
治疗经过:入院行四步复位法手法整复,小夹板外固定
外院片如下:

入院后行四步复位法整复骨折,小夹板外固定,拍片复查

伤后近一个月拍片复查见骨痂生长明显

伤后两个半月拍片复查

外观无肘内翻畸形,功能恢复良好

总结:
四步复位法具有创伤小、并发症少、功能恢复快的优点,特别适合患者家属坚决要求非手术治疗及缺少C型臂透视机难以开展闭合复位克氏针内固定术的基层单位,值得临床借鉴及推广。