西安网讯(记者辛源)王阿姨从家乡陕南来看望嫁到西安的女儿,到女儿家第七天,突然感觉头晕头痛,在社区诊所就诊后,头痛头晕有所缓解后就回了陕南,可没有几天,头晕头痛再次发作,同时还出现了看不清东西的症状,一家人十分担心,在当地多个医院就诊,行头颅CT,磁共振检查等却始终没有诊断清楚究竟是什么病,女儿焦急的把王阿姨又接到西安,近期于西安医学院第一附属医院神经外二科就诊。
医师杨洋仔细询问了王阿姨的发病情况和诊治情况,得知王阿姨已经头痛头晕两周并加重三天,查体发现双侧视野缩小,视力减退,双侧鼻腔通气不畅,头痛发作时呈胀痛伴有恶心,头晕,还有怕冷、食欲减退等症状。
田钧副主任医师根据症状考虑脑垂体腺瘤可能性大,行头颅增强磁共振、头颅CT、视力视野检查、垂体激素化验。

(头颅CT可见鞍区巨大占位性病变 颅底骨质结构破坏)
检查结果显示为巨大侵性垂体腺瘤,肿瘤生长向上突入鞍上池,向下突破鞍底蝶窦进入鼻腔破坏颅底斜坡骨质,大小约31×38×32mm,属于罕见的巨大型侵袭性垂体腺瘤。

(手术前MR显示鞍区巨大肿瘤侵犯双侧颈内动脉 向上挤压第三脑室,下突入鼻腔)
神经外二科主任金林立即组织全科进行病例讨论,研究治疗方案,焦点主要在手术治疗方式和术后综合治疗两方面。
金林指出,传统的治疗手段是进行开颅手术,但患者瘤体巨大,开颅手术对患者损伤很大,手术风险高,且一次无法完全根除,患者痛苦大。
最后,经综合分析决定采用神经内镜下经鼻蝶肿瘤切除术,术后内分泌补充及放射治疗,于延玲护士长就围手术期护理方面特别强调了术后严密观察鼻孔渗漏,保持半坐卧位,防止鼻腔塞填物脱出,术后注意保持安静和镇静。

手术由金林主任主刀、田钧医师为助手,历时7小时10分钟,圆满完成了神经内镜下经鼻碟巨大侵袭性垂体腺瘤切除。
田钧介绍,“我们在手术中发现患者的肿瘤已经由颅脑向下侵犯生长进入鼻腔,也就是说,我们的内镜一进入鼻腔就看到了肿瘤,且肿瘤严重破坏颅底骨质结构,最重要的是肿瘤已经侵犯了双侧颈内动脉,这就需要我们在术中非常谨慎的使用内镜操作格外小心仔细,否则极易触碰颈动脉引起出血,后果不堪设想。不过还好,手术很顺利,患者未发生任何并发症。”

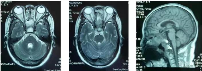
(手术后MR显示鞍区巨大肿瘤切除彻底,占位效应消除,双侧颈内动脉完好)

经过后期精心的治疗和护理,王阿姨术后恢复很快,几天后就下地活动了,而且看不出手术瘢痕。
据介绍,经鼻蝶内镜下垂体肿瘤切除术是目前治疗垂体肿瘤的最推崇的手术方式,具有很多优点——手术视野清晰,神经内窥镜抵近观察解剖结构细致,创伤小,机体干扰轻,精准切除瘤体,术后恢复快,面部无疤痕,美容效果好。但是手术技术难度大,对医生技术要求较高。
编辑:刘辉