专家简介:张勇,复旦大学附属中山医院呼吸科副主任医师、博士。擅长肺部结节的人工智能(AI)良恶性鉴别、疑难肺部结节的鉴别诊断、肺部磨玻璃结节(GGN)的定性与分级(腺瘤增生-原位癌-微浸润-浸润性腺癌)、肺部磨玻璃结节的浸润风险评估,手术时机的选择、肺部结节的磁导航支气管镜活检及微创消融、肺部肿瘤的诊治(靶向,免疫,放化疗)。
质子重离子治疗,是放疗的一种,即马来西亚羽毛球名将李宗伟用于治愈鼻咽癌的治疗方法,被认为是最先进的放疗技术。
质子重离子优势是副作用极小,治疗精准,但是比较昂贵。这也是上海质子重离子医院成立5年以来,我们的第一个接受质子重离子治疗肺鳞癌结节的患者。
回顾下他的诊疗经过:
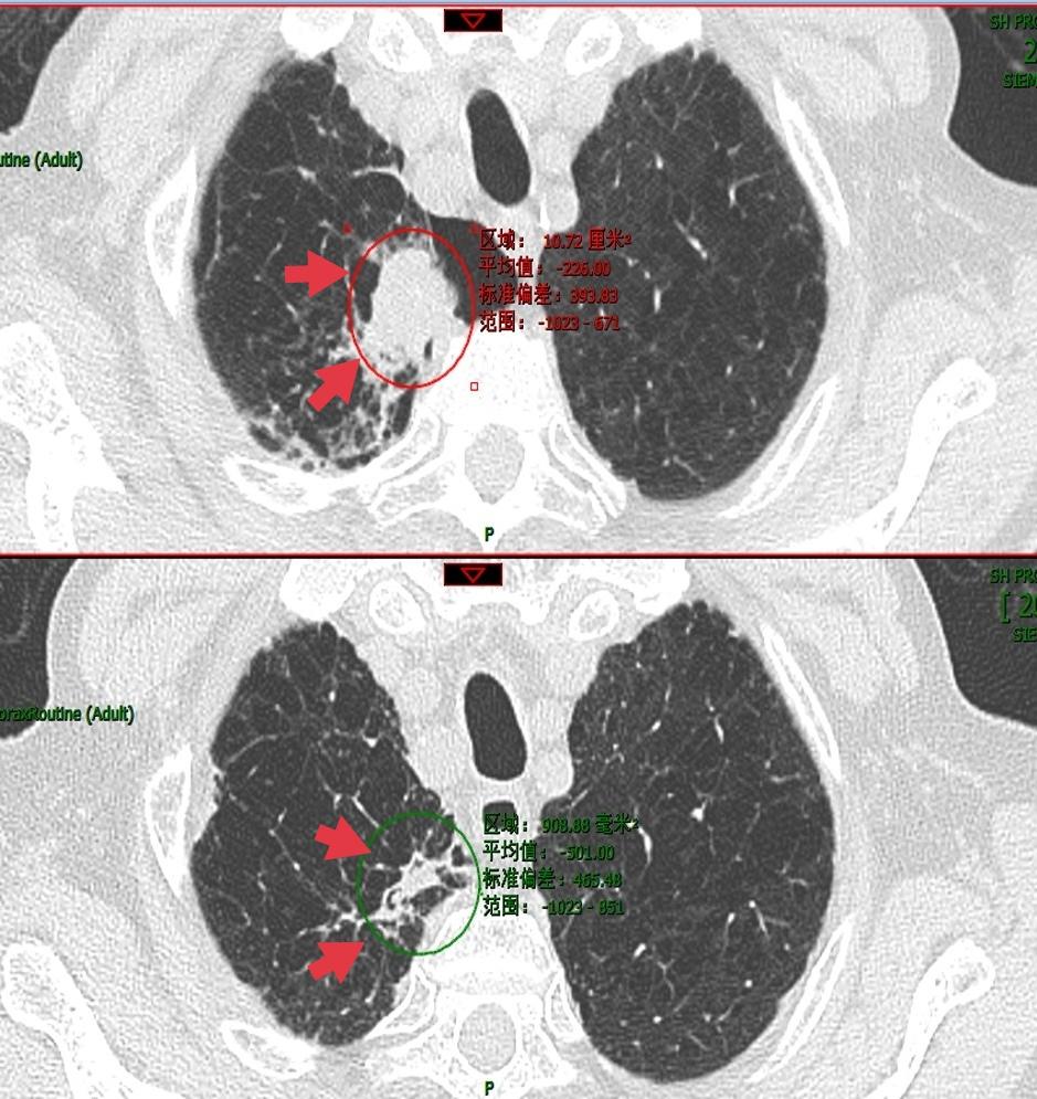
重度肺气肿患者,发现右上肺肺结节一个月。一个月后复查即有增大。肺气肿患者,肺结节形态不典型,但疑似肿瘤。

PETCT:明显高代谢,考虑肺癌。

患者肺功能:FEV1:1.14。肺气肿严重,无法耐受手术。那么下一步诊治就需要活检获得病理结果。
患者肺气肿严重,结节位置比较深,靠近纵隔,肺穿刺风险较大,因此选择风险小的全麻下磁导航支气管镜活检。


入院行磁导航气管镜下,顺利到达病灶,活检病理结果为鳞癌。低分化,肿瘤恶性程度较高。
磁导航气管镜活检后,患者还是出现了少量的气胸,轻度气胸未处理,较快自行吸收了。
接下来治疗。这个患者为什么不选择消融?是由于期位置靠胸膜边,而且低分化恶性程度比较高。有消融后复发的可能。
那么立体定向放疗SBRT,也可以考虑。但这个患者肺功能较差,肺气肿严重,有放射性肺炎的风险。因此最终推荐患者至上海市质子重离子医院接受治疗。

质子重离子由同步加速器加速至约70%的光速,这些离子射线被引出射入人体,到达病灶后,瞬间释放大量能量,形成名为“布拉格峰”的能量释放轨迹,破坏肿瘤细胞,同时对正常组织的损害极小。
患者经过质子重离子医院的精准治疗后,三个月复查,肿瘤明显缩小,仅遗留少许纤维灶,达到根治效果。效果很惊艳。而且没有任何放射性肺炎的并发症。
