作者:秦尤文、付兆强 | 上海市闸新中西医结合医院
转载自:检验医学
【 前 言 】
非特异性酯酶(NSE)有多种,根据反应所需的pH不同分为酸性,碱性及中性NSE,包括α-醋酸萘酚酯酶(α-NAE),醋酸AS-D萘酚酯酶(NAS-DAE)等。其染色结果及特点可以作为急性白血病的辅助诊断,在鉴别急性粒细胞白血病和急性单核细胞白血病时尤其有用。通常认为原始粒细胞α-NAE染色呈阴性或弱阳性,不被氟化钠抑制,而原幼单核细胞多呈阳性或强阳性,可被氟化钠抑制。而我们近日遇到的一例恰恰相反,让我们来一看究竟。
【 案例经过 】
男性,53岁,确诊急性白血病9月余,因轻度贫血,血小板减低来诊。
血常规:



尽管白细胞数正常,但白细胞散点图明显异常,需要涂片镜检。
生化:尿酸550umol/L↑,甘油三酯6.02mmol/L↑,乳酸脱氢酶2355 U/L↑,余无明显异常。
外周血涂片:可见原始细胞

骨髓涂片:


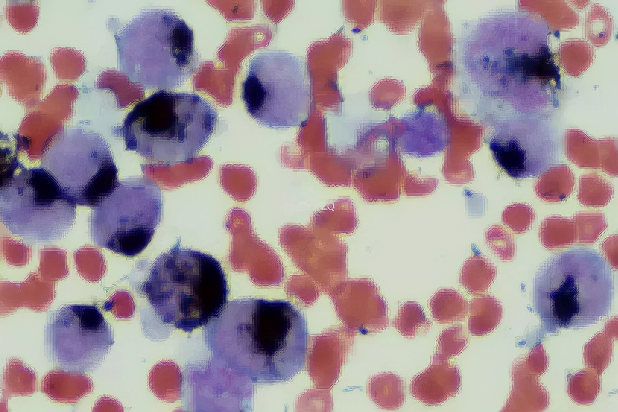
可见大量异常细胞,比例及形态描述详见后面的骨髓报告,一个突出的特点是原始细胞有核周淡染区。毫无疑问,该患者的白血病复发了。
细胞化学染色:

▲POX染色:原始细胞为阳性,多为4+,偶为3+,团块状,多位于近核凹陷处

▲CE染色:部分原始细胞阳性

▲PAS:部分原始细胞为弥漫状阳性,多位于近核凹陷处

▲NAE染色:原始细胞为阳性

▲NAE+NaF:原始细胞为阴性;重做一遍,还是一样的结果
这样的结果令笔者困惑:本例的原始细胞POX均为阳性,且阳性程度不低,CE也是阳性,均支持粒系;但本例的原始细胞NAE为阳性,且阳性可被NaF完全抑制,这又支持单系。到底是啥?
各类检查报告
骨髓细胞学:考虑为AML复发

免疫分型: 并没有单核系标志的表达。

染色体报告: 复杂核型。

分子生物学报告:


AML1-ETO融合基因为阳性


存在KIT、CALR和DNMT3A突变。
综上,患者的原发病应该是AML伴t(8;21)(q22;q22.1);RUNX1-RUNX1T1(旧称AML1-ETO)。
初诊时的报告(在其他医院):

也是原始细胞的NAE阳性,可被NaF抑制。


因此,该单位考虑的是AML-M4。

初诊时的免疫表型和现在稍有不同:初诊时CD19为阳性,这次是阴性,不过CD56均为阳性,且初诊时也没有单核系标志的表达。
【 案例分析 】
患者确诊急性白血病9月,因轻度贫血、血小板减低来诊,外周血即可见原始细胞70%,骨髓中原始细胞超过90%,按照疗效标准,毫无疑问是复发了。
由于患者的原始细胞多见核周淡染区(鱼肚白/朝阳红),笔者考虑可能是伴t(8;21)(q22;q22.1);RUNX1-RUNX1T1(AML1-ETO)的AML。
回顾一下该类疾病的细胞形态特点:核质发育显著不平衡,胞质呈橘黄色或偏碱性,含中性颗粒,常有空泡;此处引用重庆大学附属肿瘤医院血液肿瘤实验室杨再林教授的经典语录:黄沙厚土出朝阳!出现局部的鱼肚白/朝阳红表示分化不好,而出现弥漫的黄沙样则表示分化较好。
细胞化学染色:POX阳性至强阳性,呈团块状;氯乙酸AS-D萘酚酯酶(CE,粒细胞酯酶)也呈强阳性,α-NAE和α-NBE呈阴性或弱阳性,前者的阳性结果不被NaF抑制。而本例患者的细胞化学染色出现了NAE阳性且被NaF抑制的不典型表现。
免疫分型:部分原始细胞高表达CD34,HLA-DR,MPO和CD13,弱表达CD33。通常有粒细胞分化的迹象,表现为部分细胞表达CD15和CD65。有时原始细胞群显示成熟不同步的现象,如共表达CD34和CD15。常表达淋系标志如CD19和PAX5,还可表达胞质CD79a(我们遇到的这个病例在初诊时确实有CD19表达)。某些病例TdT弱阳性。还有一部分病例表达CD56,常提示预后不良。
遗传学:该病具有t(8;21)(q22;q22.1)易位和RUNX-RUNX1T1融合基因。核结合因子(CBF)是一个异二聚体,其两个成分的基因——RUNX1(也称AML1或CBFA)和CBFB的重排与急性白血病相关。t(8;21)(q22;q22.1)累及编码核结合因子亚单位α的RUNX1基因和RUNX1T1(也称ETO)基因。CBF转录因子是造血所必需的,而RUNX-RUNX1T1会使CBF发生异常转化,导致造血异常,最终引起白血病。
诊断:WHO明确提到,诊断本病无需考虑原始细胞计数;换言之,当患者被证实有克隆性重现性细胞遗传学异常t(8;21)(q22;q22.1)和/或RUNX1-RUNX1T1时,即使原始细胞<0.200,仍应诊断为AML。
预后:CD56的表达和KIT突变的存在提示预后较差(我们遇到的这个病例9个月就复发了,比较符合);伴有髓系肉瘤的患者的疗效比那些没有髓外病变的患者更差。
【 心得体会 】
其实,急性早幼粒细胞白血病以外的急性髓系白血病有着同样的治疗方案;预后则更多的取决于细胞遗传学与分子生物学的改变。因此很多时候,我们并不用过多纠结急性髓系白血病的原始细胞类型。MICM综合诊断相比于单纯形态学诊断的另一个优势是,可通过细胞遗传学和分子生物学的检查结果对疾病的治疗和预后判断提供资料,单纯的形态学在这方面有所欠缺。
不过,我们形态学工作者还是需要打破砂锅问到底的精神,这样才能不断提高。虽然本例的原始细胞NAE为阳性,且可被NaF抑制,但其他特征均符合AML-M2b或AML伴t(8;21)(q22;q22.1);RUNX1-RUNX1T1,包括:有核周淡染区的原始细胞形态,POX的高阳性程度与酶型,CE的阳性,以及免疫分型检测无单核系标记、CD19的表达等。
因此笔者认为,本例的原始细胞应该还是粒系的。由本例也能看出,在鉴别粒系/单核系原始细胞时,NAE染色+NaF抑制试验并非100%特异,还是要结合其他检查结果综合分析。
参考文献
[1]毛飞,许文荣. 临床血液检验学[M]. 北京:科学出版社,2020.2
[2]白血病分类分型讨论会关于急性非淋巴细胞白血病分型的修改建议[J]. 中华血液学杂志,1987,08(3):181
[3]沈悌,赵永强. 血液病诊断及疗效标准. 第4版 . 北京:科学出版社,2018
[4]林泽嬉, 卞寿庚, 杨崇礼, 等. M2b白血病细胞的细胞化学染色特征. 中华血液学杂志,1992,13( 03 ): 138-140
[5]Swerdlow SH, Campo E, Harris NL, et al. (Eds): WHO Classification of Tumours of Haematopoietic and Lymphoid Tissues (Revised 4th edition). IARC: Lyon 2017
[6]中华医学会血液学分会白血病淋巴瘤学组. 成人急性髓系白血病(非急性早幼粒细胞白血病)中国诊疗指南(2017年版) . 中华血液学杂志,2017,38( 3 ): 177-182.
[7]NCCN Clinical Practice Guidelines in Oncology (NCCN Guidelines®),Acute Myeloid Leukemia,Version 4.2020
[8]Kenneth Kaushansky,Marshall A. Lichtman,Josef T. Prchal,etal. Williams Hematology. Ninth Edition. USA:McGraw-Hill Education,2016
[9]急性白血病疗效标准(全国白血病化学治疗讨论会1987.11.20于苏州)[J]. 中华血液学杂志,1988,09(3):183-184.