
来源: 医学界骨科频道
商务合作:2519330936@qq.com
01
腕关节解剖
腕关节解剖范围可以分成狭义和广义两种概念:狭义指桡腕关节,广义指旋前方肌远侧缘平面-腕掌关节平面,包括尺桡骨下端及8块腕骨、掌骨基底部。话不多说,详情看图,更直观:

腕关节解剖图
02
腕关节脱位类型、损伤机制、临床表现
1、常见的腕关节脱位类型
腕关节脱位离不开“月骨脱位”四个字,究其原因,还是和它的解剖位置有密切关系。常见的有7种类型,分别为:月骨脱位、经茎突和舟状骨的月骨脱位、月骨周围脱位、经舟状骨月骨周围脱位、经茎突和舟状骨的月骨周围脱位、三角骨月骨周围脱位、舟状骨脱位。
2、损伤机制
当伤者的手腕在背屈时腕部受重压、高处跌落或摔倒时手掌支撑着地,传导*力暴**集中于头月关节,致使头月骨周围的掌背侧韧带发生断裂,使之产生腕关节脱位。
3、临床表现
一般患侧桡骨远端隆起并有明显压痛,正中神经分布区有麻木感,手指呈半屈位,腕关节活动功能丧失,腕间关节脱位多伴有严重的软组织撕裂伤。
03
腕关节X线阅片及技巧
损伤后,除了常规体格检查,X线通常是第一个完善的辅助检查,因此腕关节X线正常和异常影像的掌握对骨科医生来说很重要。
1、腕关节X线下的正常形态
( 1)正位片上:前后排腕骨后缘形成光滑的弧线;前后排腕骨不重叠;头、钩、月、三角骨间形成十字间隙。月骨于正位片上为楔形、侧位片上为月牙形,窝状关节面朝前、且与头状骨紧贴。

1.舟骨 2.月骨 3.三角骨 4.豆状骨 5.大多角骨 6.小多角骨 7.头状骨 8.钩骨 9.桡骨茎突 10.尺骨茎突 11.第一掌骨基部
(2)侧位片上:桡骨纵轴通过月骨和头骨;前排腕骨自下而上分别为大、小、头、钩骨,后排自下而上为舟、月(豆)、三角骨。

1.舟骨 2.月骨 3.三角骨 4.豆状骨 5.大多角骨 6.小多角骨 7.头状骨 8.钩骨 9.桡骨茎突 10.尺骨茎突 11.第一掌骨基部
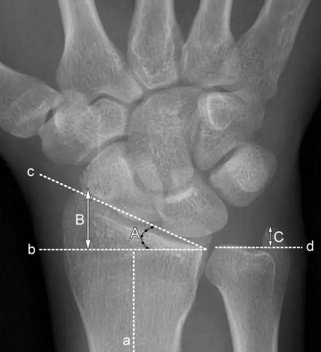
2、腕关节常用测量数据
A.桡骨内倾角:正常为15°-35°。若此角度改变,提示桡骨远端骨折或腕关节脱位;
B.桡骨茎突长度 :正常为8-18mm,且桡骨茎突较尺骨茎突低1-1.5cm。若此长度改变,提示桡骨远端骨折;
C.尺骨茎突长度:正常为2-8mm。若此长度改变,提示尺骨茎突骨折或尺骨茎突过长,易引发尺骨茎突撞击综合征。

a.桡骨纵轴线 b.桡骨纵轴线垂线 c.桡骨远端关节面切线 d.尺骨远端关节面水平线 A.桡骨内倾角 B.桡骨茎突长度 C.尺骨茎突长度
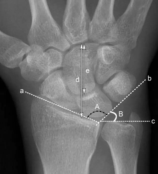
A. 腕骨角:约130°,腕关节骨折、脱位时此角增大。
B.尺腕角:正常为21°-51°,若此角度改变,提示腕骨骨折或腕关节脱位。

a.舟骨、月骨切线 b. 月骨三角骨切线 c.尺骨远端关节面切线 d.腕骨总高度 e.头状骨长度 A.腕骨角 B.尺腕角
此外,腕关节关节面间弧线的连续性也是判断是否存在脱位的重要线索。如下图,若显示腕骨弧线不连续或各弧线不平行,或腕掌线M形结构消失,应高度怀疑腕关节不稳或脱位。

a. M形腕掌线 b. 腕骨弧线(Gilula线)
3、如何判断是否有月骨脱位
有人提出这样一种观点:我们可以把月骨看做是香蕉,把头状骨看做是苹果,香蕉下面的桡骨关节面是盘子,盘子上面有香蕉,香蕉上放个苹果,苹果被咬了一口,在前面 是三角骨骨折,香蕉歪了是月骨脱位,苹果向后是月骨周围脱位。

1.舟骨 2.月骨 3.三角骨 4.豆状骨 5.大多角骨 6.小多角骨 7.头状骨 8.钩骨 9.桡骨茎突 10.尺骨茎突 11.第一掌骨基部
以下是几种常见脱位类型的阅片技巧:
(1)月骨脱位:正位片示月骨由四边形变成三角形或橘瓣状,并向尺侧移位。侧位月骨前移、旋转,窝状关节前空虚。

月骨脱位影像特点
(2) 经舟骨月骨脱位:除月骨脱位外,同时伴有舟骨骨折,且骨折近段随月骨一起向前脱位,骨折远段仍处于原位置。

经舟骨月骨脱位影像特点
(3)月骨周围脱位:表现为腕关节缩短,头骨与桡骨距离变近,头骨、钩骨与月骨部分重叠,月骨形态及位置基本正常。

月骨周围脱位影像特点
(4)经舟骨月骨周围脱位:表现为月骨周围脱位伴舟骨骨折,且骨折远段随头骨向后脱位,而骨折近段与桡骨、月骨关系保持正常。

经舟骨月骨周围脱位影像特点
【版权声明】本平台属公益学习平台,转载系出于传递更多学习信息之目的,如有图片、内容等不想转载传播可与我们联系删除。
【国际经典影像诊断学丛书】
中文版
新书发售 全场8.5折
限时优惠 预购从速
点击下方“阅读原文”立即购买!